

お悩み
でっぱを改善したい。
年齢
37歳
性別
女性
治療に用いた装置
インビザライン
治療期間
1年3ヵ月
治療にかかった費用
治療詳細

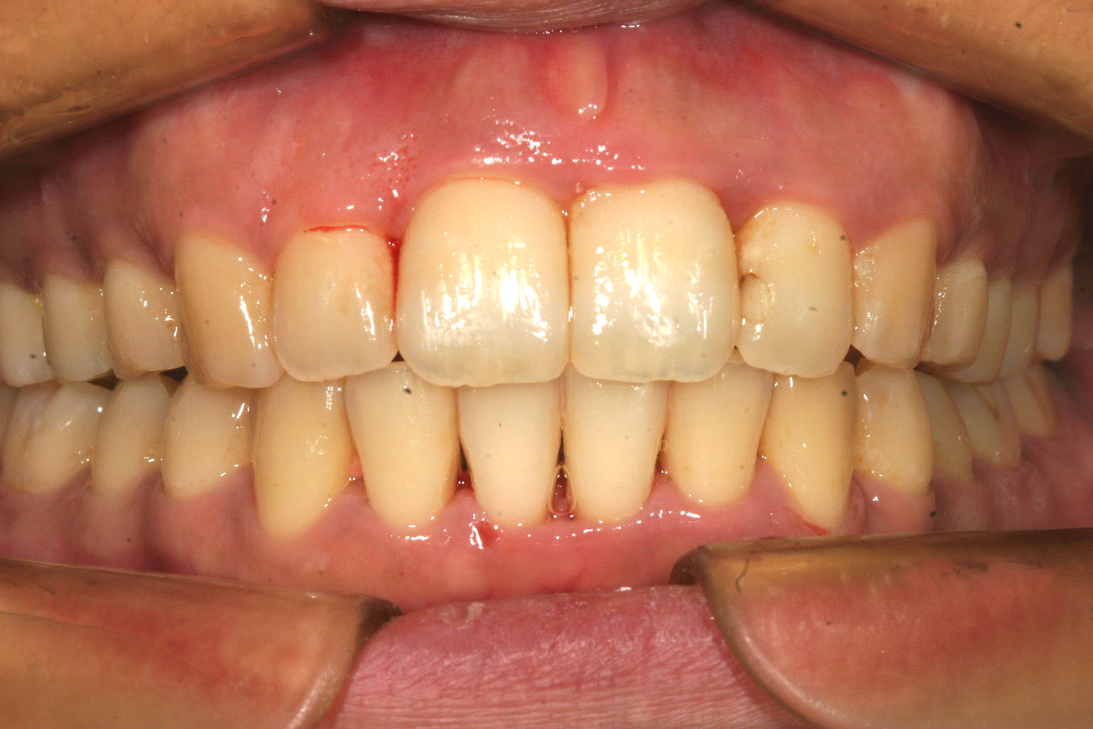
アーチが狭いお陰で前歯が前突しています。

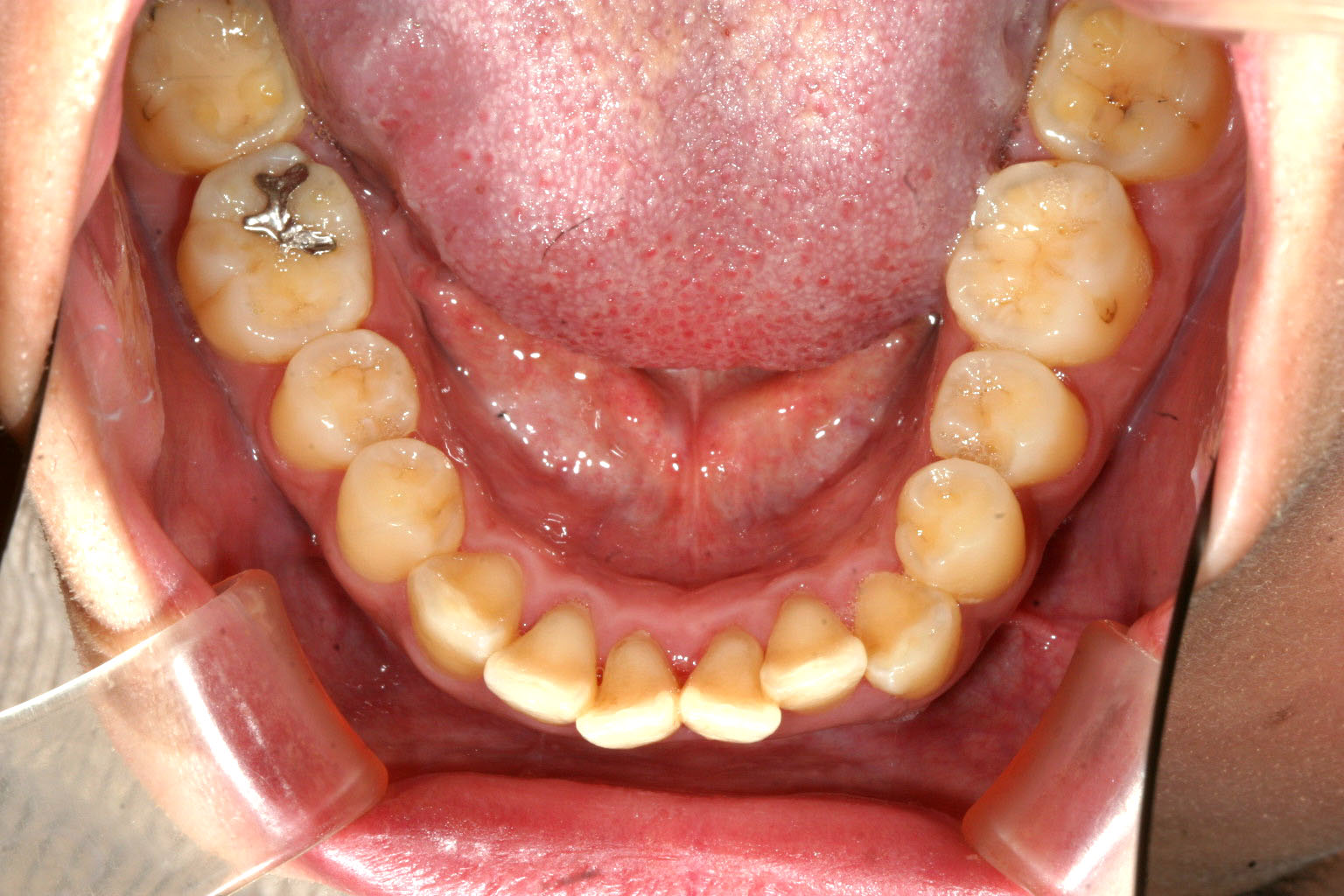
下顎にも少し叢生が見られます。

側面観は少し出っ歯が目立ちます。

今回は非抜歯でと希望の為何処まで入るかやってみました。

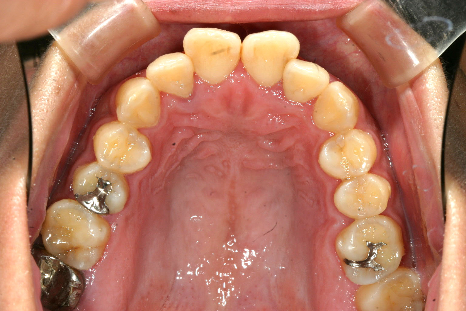
下顎も綺麗に並びました。

完全に出っ歯が改善しました。
当院からのコメント
ご覧ください!
前回の写真と比較しますと分かると思うのですが抜歯しなくてもここまでの改善が出来ます。
これはインビザラインの機能であるIPR(歯と歯の隙間を削る)と言う方法を使う事によりでっぱをここまで改善致しました。
でっぱが気になっておられる患者様が居られましたら一度相談にお越しください。

