

お悩み
前歯が飛び出しガタガタしている。
年齢
26歳
性別
男性
治療に用いた装置
マルチループワイヤー
治療期間
11ヵ月
治療にかかった費用
治療詳細

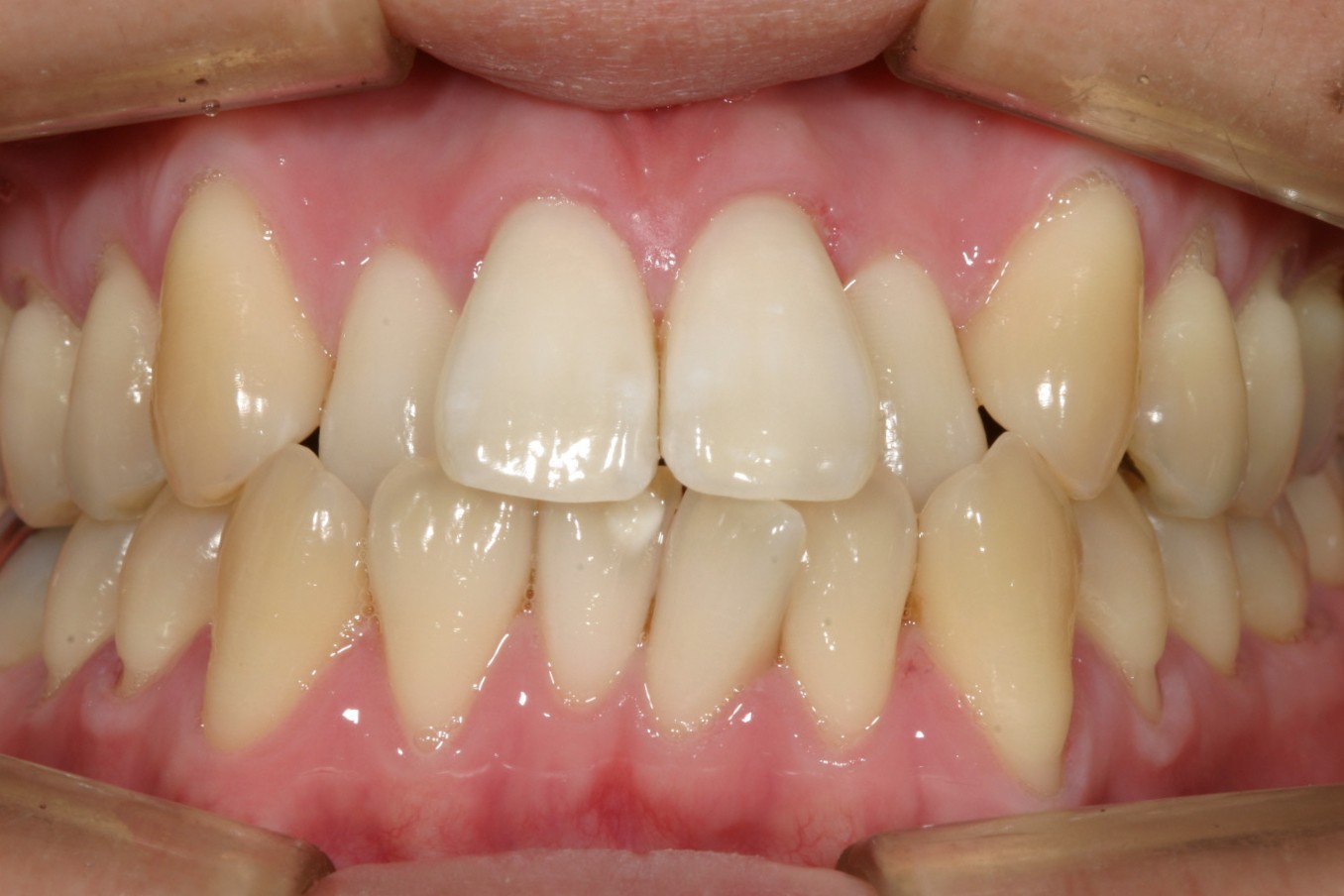
前歯がすご出て又犬歯も飛び出しています。

下顎もアーチが狭い為にガタガタしています。

側面観も叢生が目立ちます。

半年後です。右側の2番目の歯の叢生がだいぶ取れてきました。

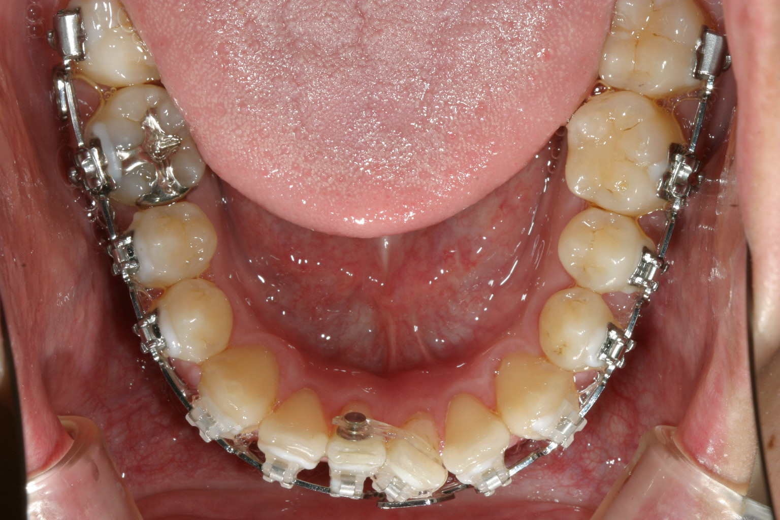
下顎もかなり綺麗になって来ましたが左下1番の歯の回転で手こずっています。

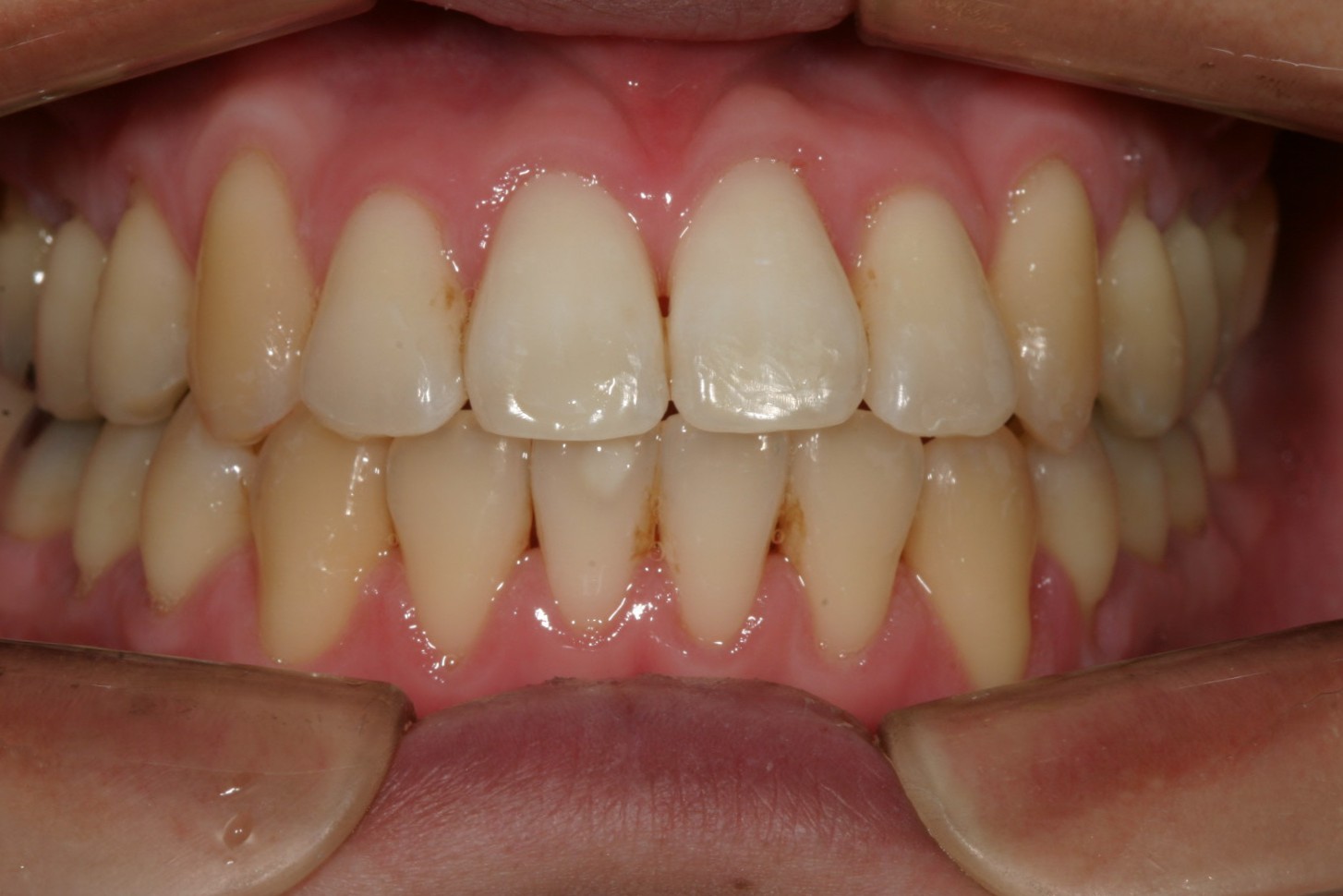
かなり綺麗になって来ました。

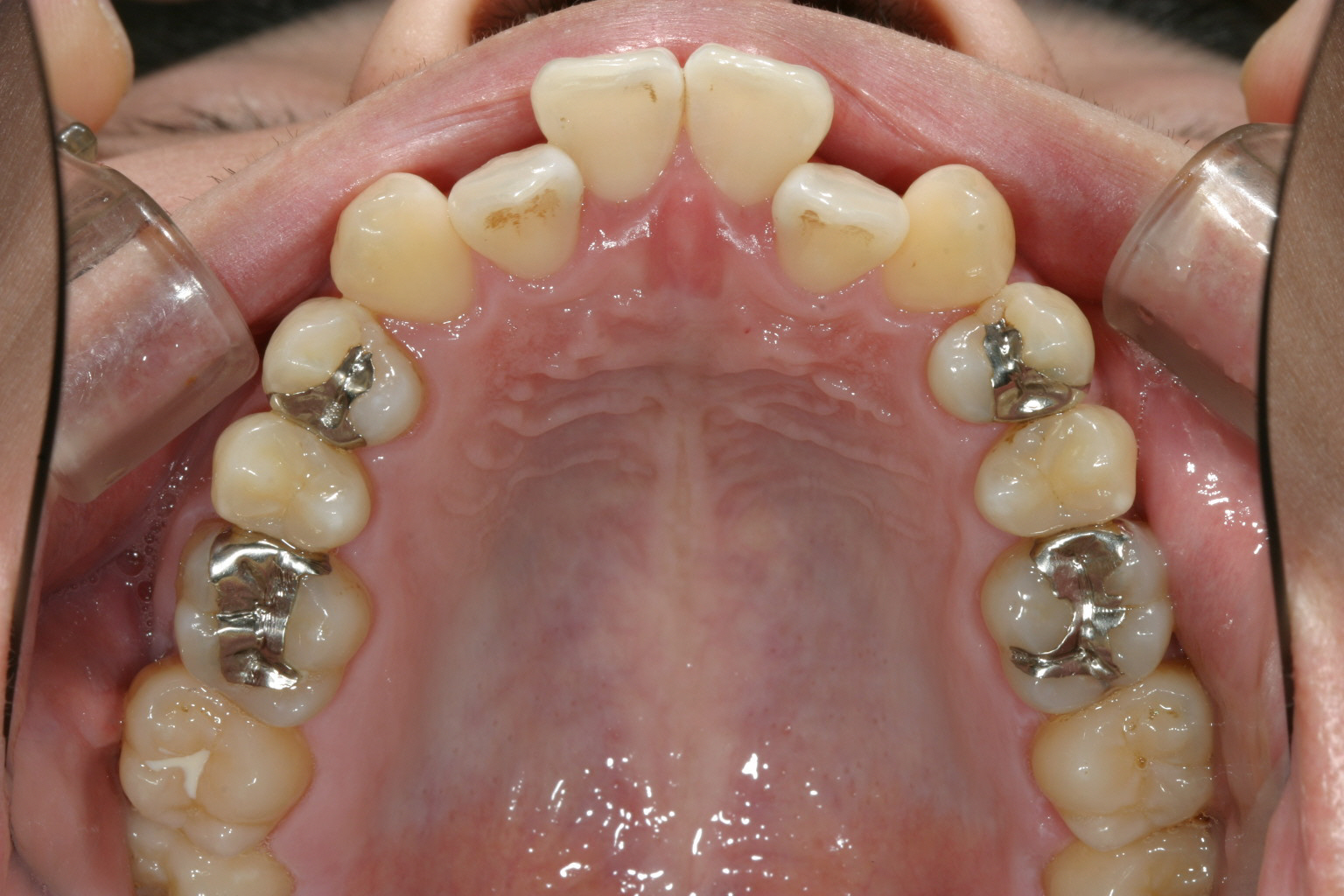
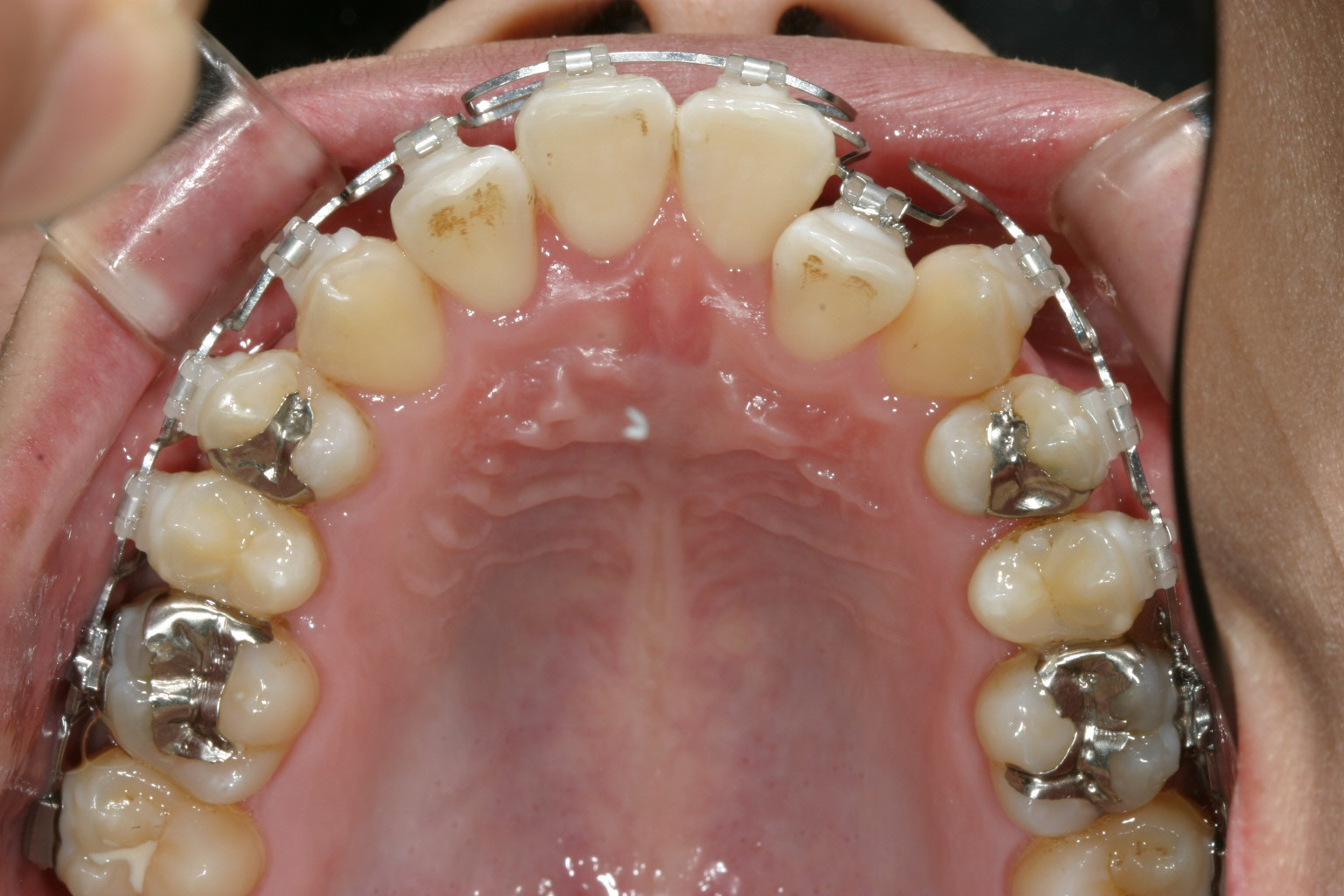
11か月後です。 綺麗なアーチに改善しました。

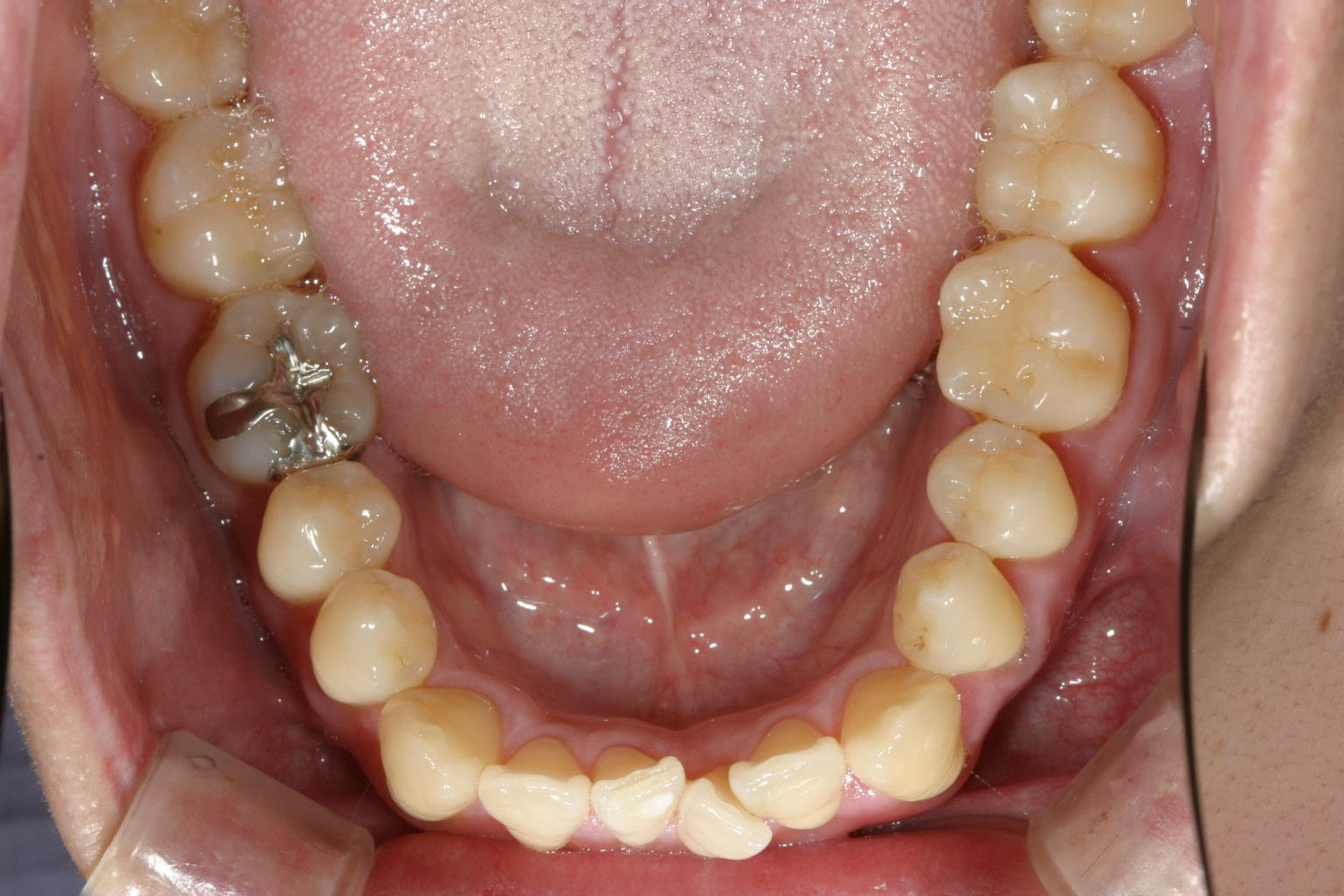
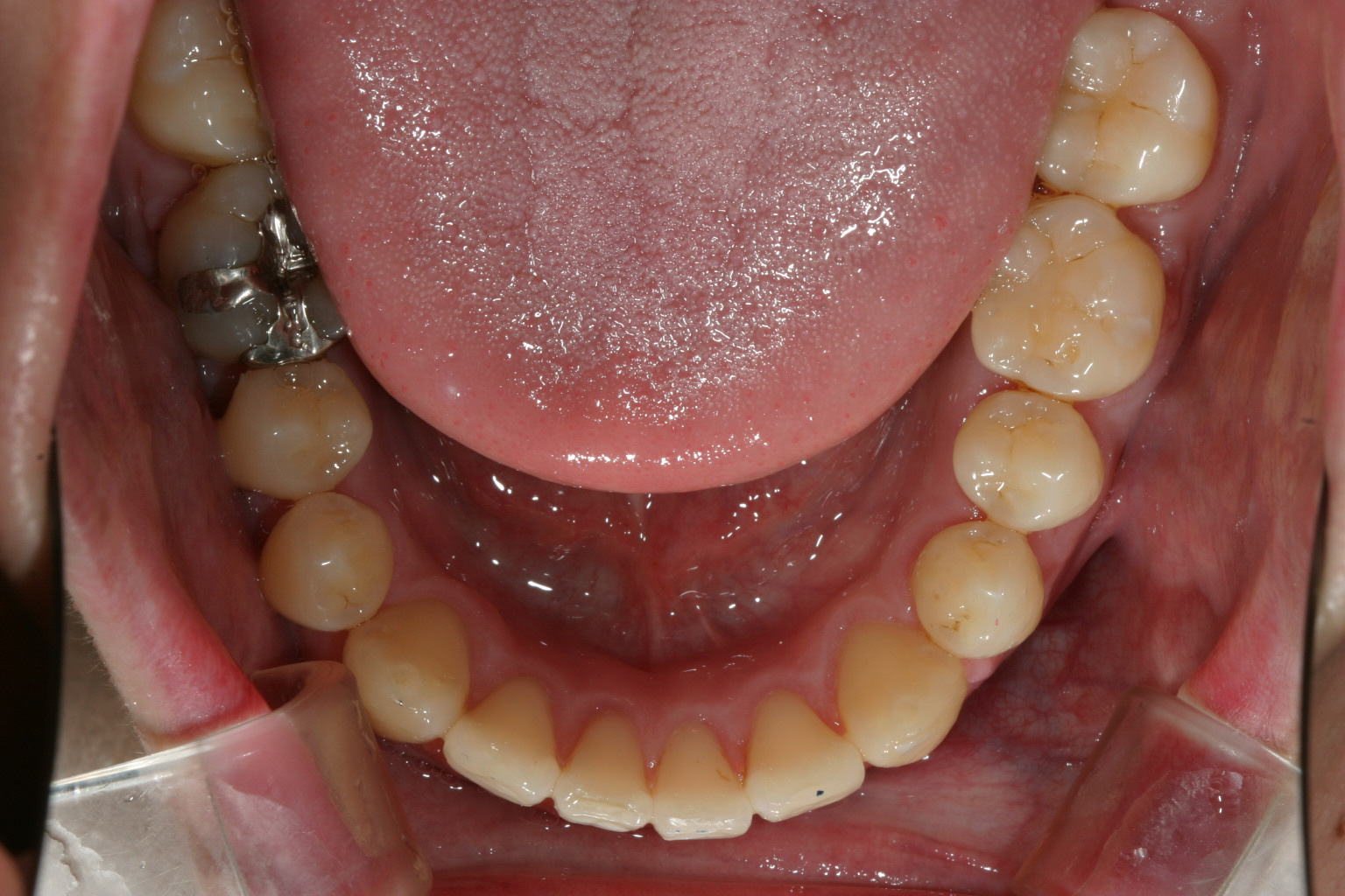
下顎のアーチも広がり綺麗になりました。

側面観も綺麗ですね~
当院からのコメント
今回のケースはマルチループワイヤーを装着しての矯正となります。
見かけは悪く、違和感も大きいですがメリットはガタガタしていても最初からワイヤ~がブラケットに結紮出来る為、一度結紮できれば24時間仕事してくれるため時間をかなり短縮できる事にあります。
そしてマウスピース矯正の様に症例を選ばないと言うメリットもあります。
開咬、顎偏移、過度の叢生、受け口等 何でもOKAYです。
又ワイヤーをクネクネ曲げている為、歯にかかる力が優しいと言う事です。
つまり歯に優しいと言う事は歯根の吸収もかなり防げ、痛みも少ないと言う事です。
今回のケースも通常は2年前後かかるケースですが、僅か11ヵ月でワイヤーを外す事が出来ました。

