

お悩み
前歯のねじれと出っ歯を治したい。
年齢
29歳
性別
女性
治療に用いた装置
インビザライン+リンガルアーチ
治療期間
1年11ヵ月
治療にかかった費用
治療詳細

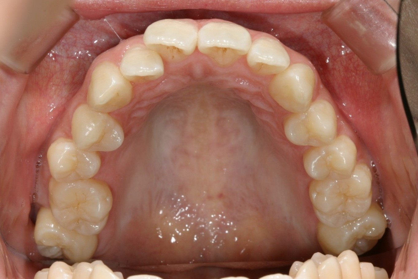
前歯が飛び出てねじれています。

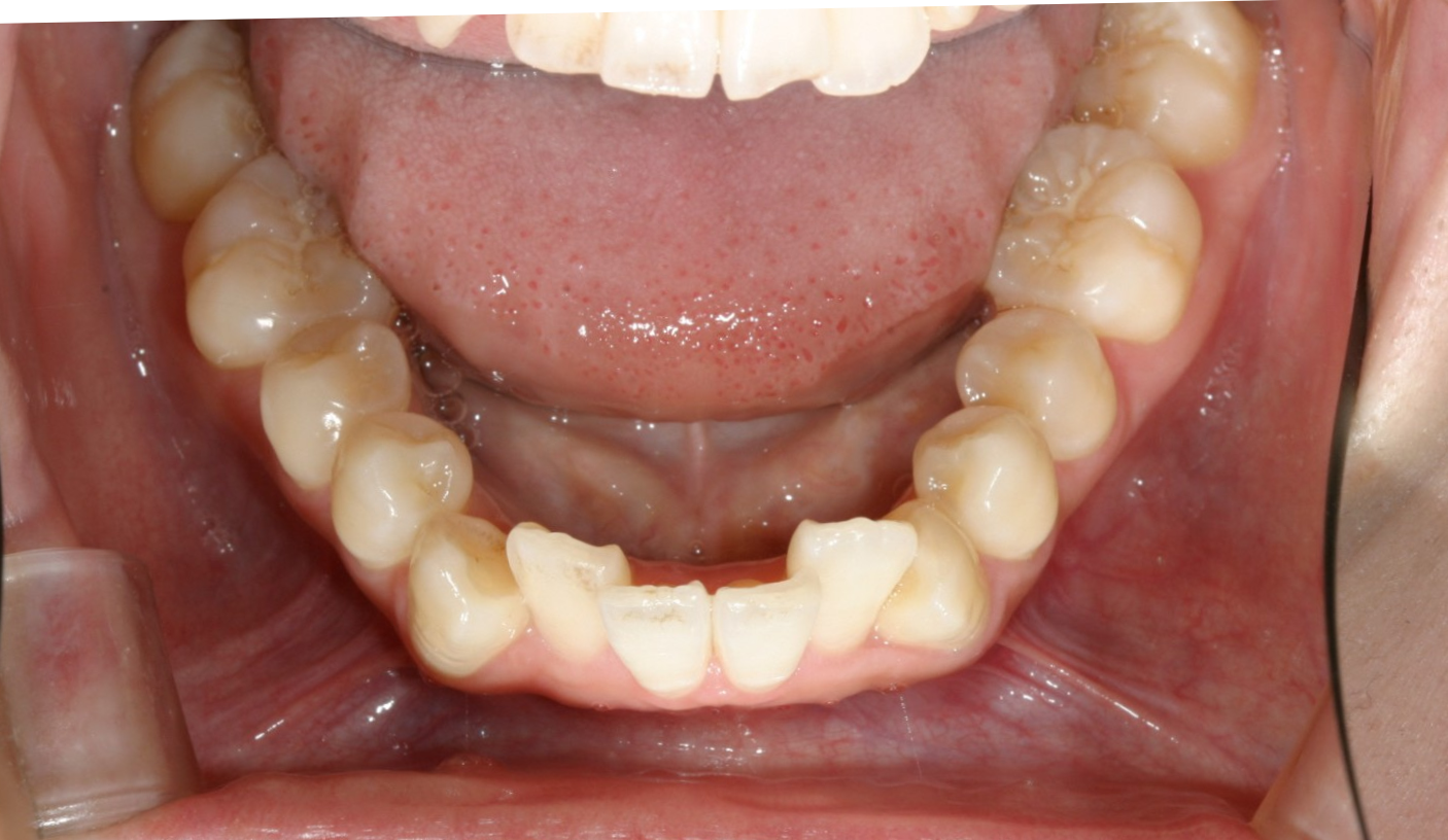
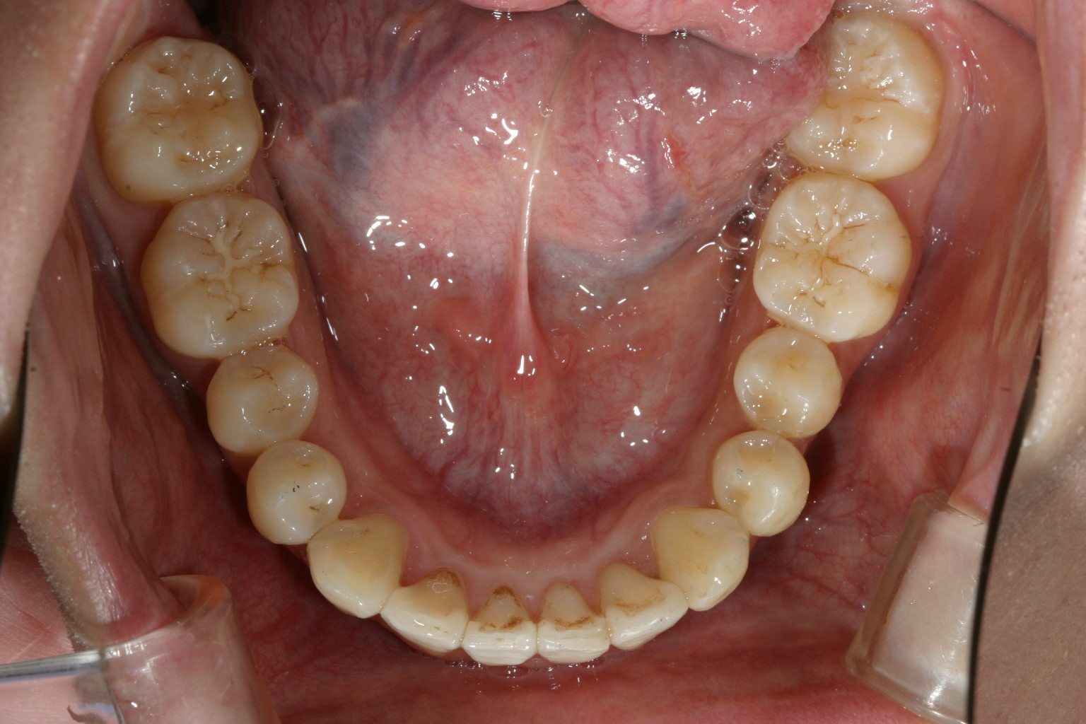
下顎には叢生が目立ちます。

少し出っ歯が目立ちます。

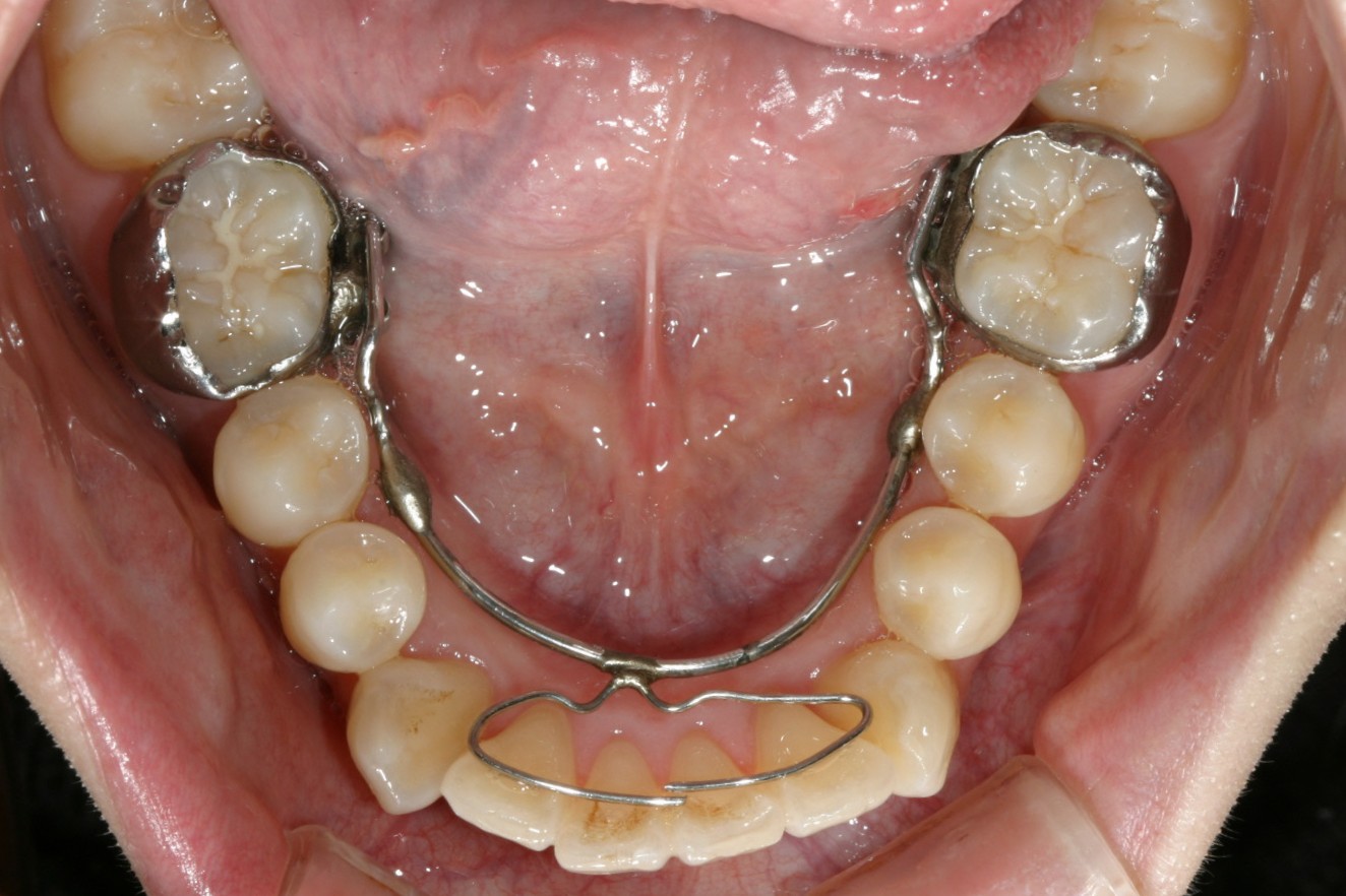
かなり古い症例で先ずリンガルアーチにてアーチの拡大と前歯の叢生 治療から始めました。

下顎にもリンガルアーチにてアーチ拡大と前歯の叢生治療です。

リンガルアーチにて少し裏から押しましたから少し出て来ました。

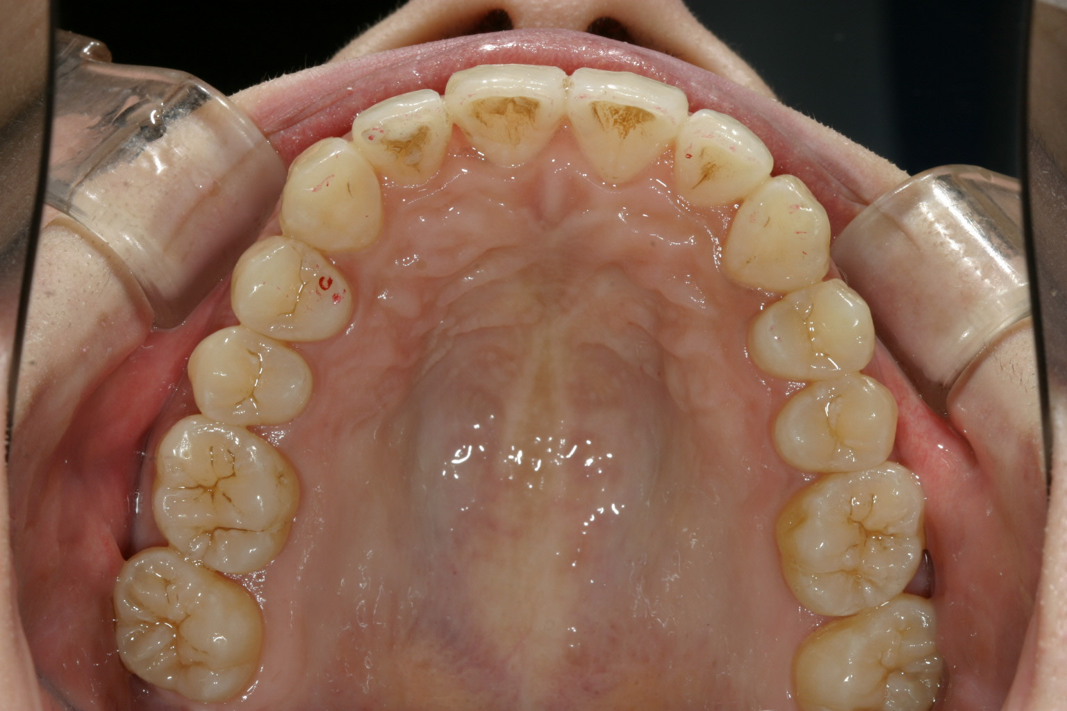
リンガルアーチ後インビザラインにて治療を引き継ぎました。 綺麗に改善出来ています。

下顎もリンガルアーチ後インビザラインで治療を行いました。

オーバジェットも綺麗になっています。
当院からのコメント
今回のケースはインビザラインを導入して初期の頃の症例で、インビザラインがどの様なケース迄対応してくれるか分からなかった為先ずはリンガルアーチにて少し拡大と叢生の解消を行ってからインビザラインにて処置を行いました。
期間としましては2年足らずでこれ位ならこの頃のケースにしては少し時間がかかったかなって感じです。
現在では加速矯正装置を使用すれは1年位で終わる症例です。

