

お悩み
前歯のガタガタを綺麗にしたい。
年齢
26歳
性別
女性
治療に用いた装置
インビザライン
治療期間
1年2ヵ月
治療にかかった費用
治療詳細

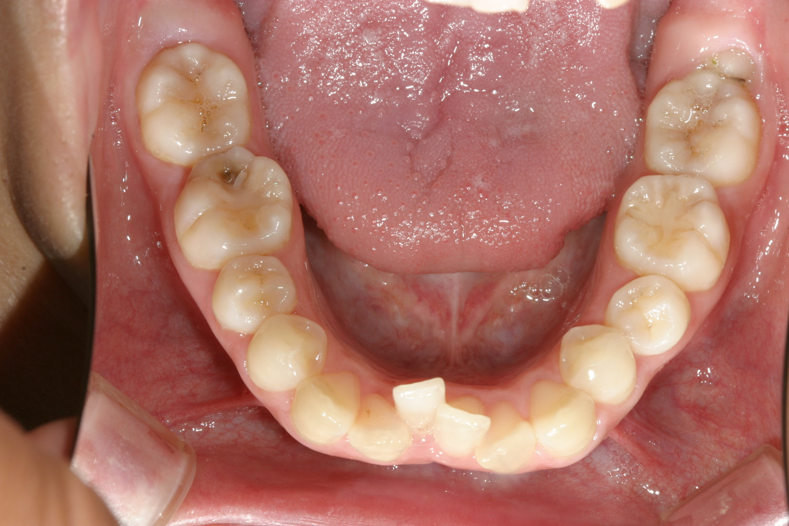
前歯が翼状捻転しています。

下顎前歯に叢生が見られます。

上顎が翼状捻転している関係上、上の歯が出て見えます。

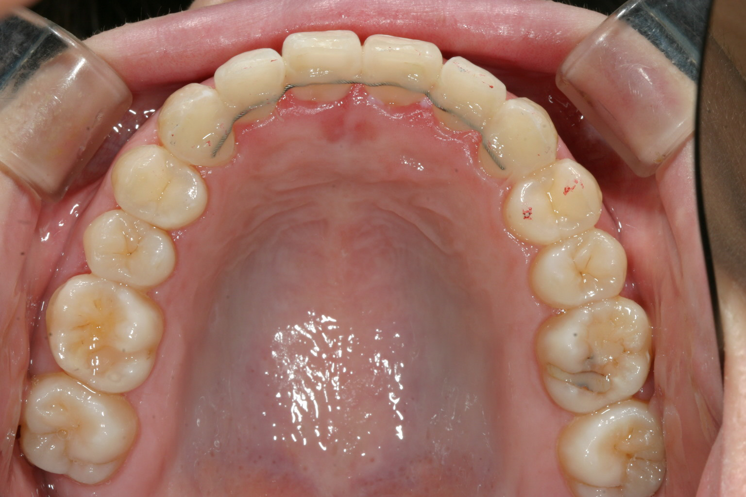
綺麗に改善しています。

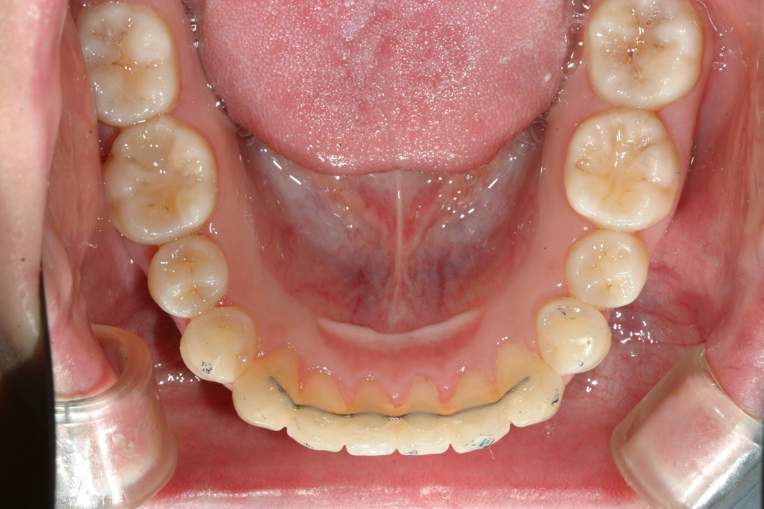
下顎の叢生も綺麗に改善しています。

オーバーバイトも抜群です。
当院からのコメント
今回のケースはアーチの前歯部が狭い為に前歯が上手く並ばず飛び出した状態になっています。
当医院の症例の中でも一番頻度の高いケースでいつものようにアーチをU字に改善する事から始めます。
後はIPR(歯と歯の間を少し削る事)により上下の歯のかみ合わせバランスを整えます。
この様なケースは非常に多いですが現在の世の中加速矯正装置を使用しますと1年以内で、上手く行くと半年で改善します。
前歯は他人からも見え第一印象として大事ですからこの様な歯並びでお悩みでしたら一度相談にお越しください。

