

お悩み
前歯が出っ張ってるのを改善したい。
年齢
19歳
性別
女性
治療に用いた装置
インビザライン
治療期間
11ヵ月
治療にかかった費用
治療詳細

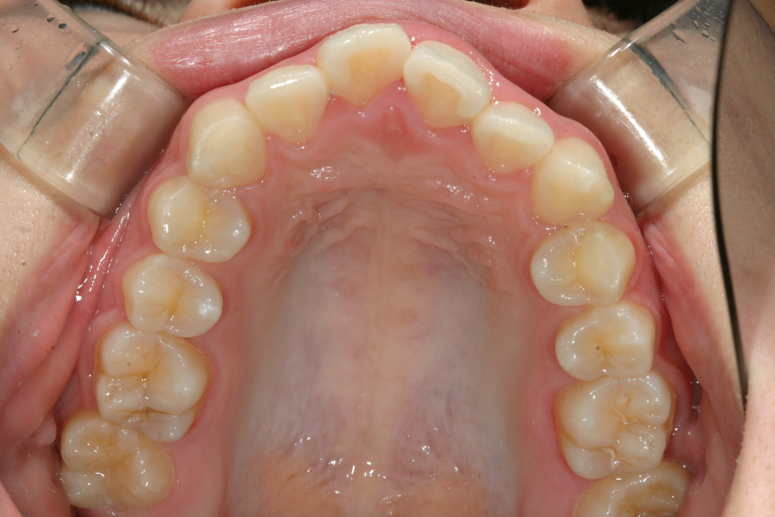
アーチが尖ってるのが気になります。

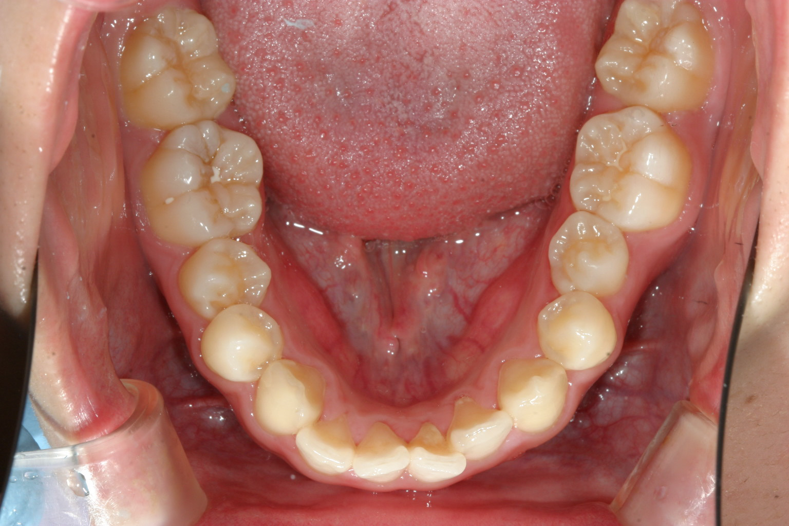
下顎もアーチが尖っていますね!

少し上下の前後差が気になります。

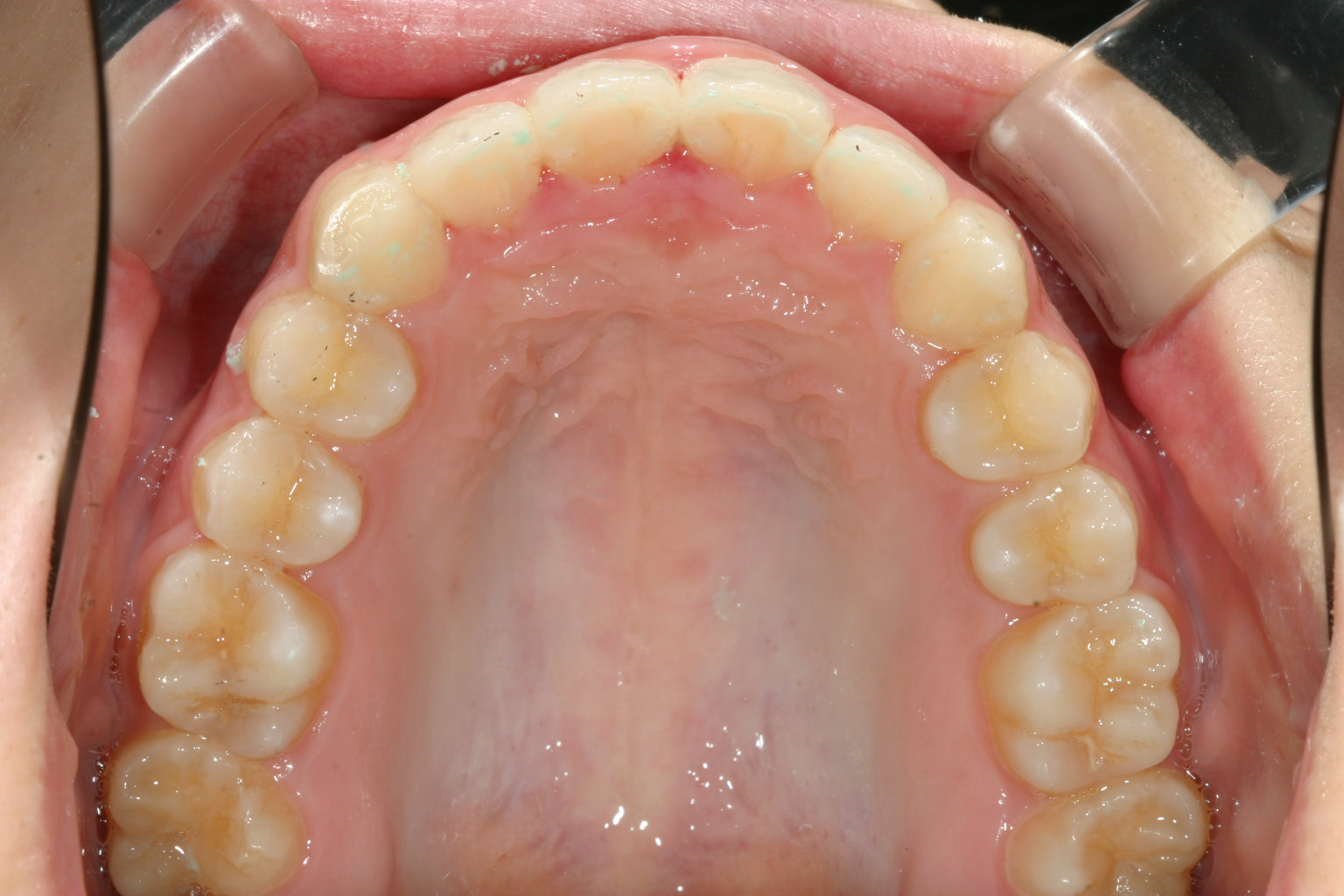
犬歯間を広げ尖ったアーチをU字に変えました。

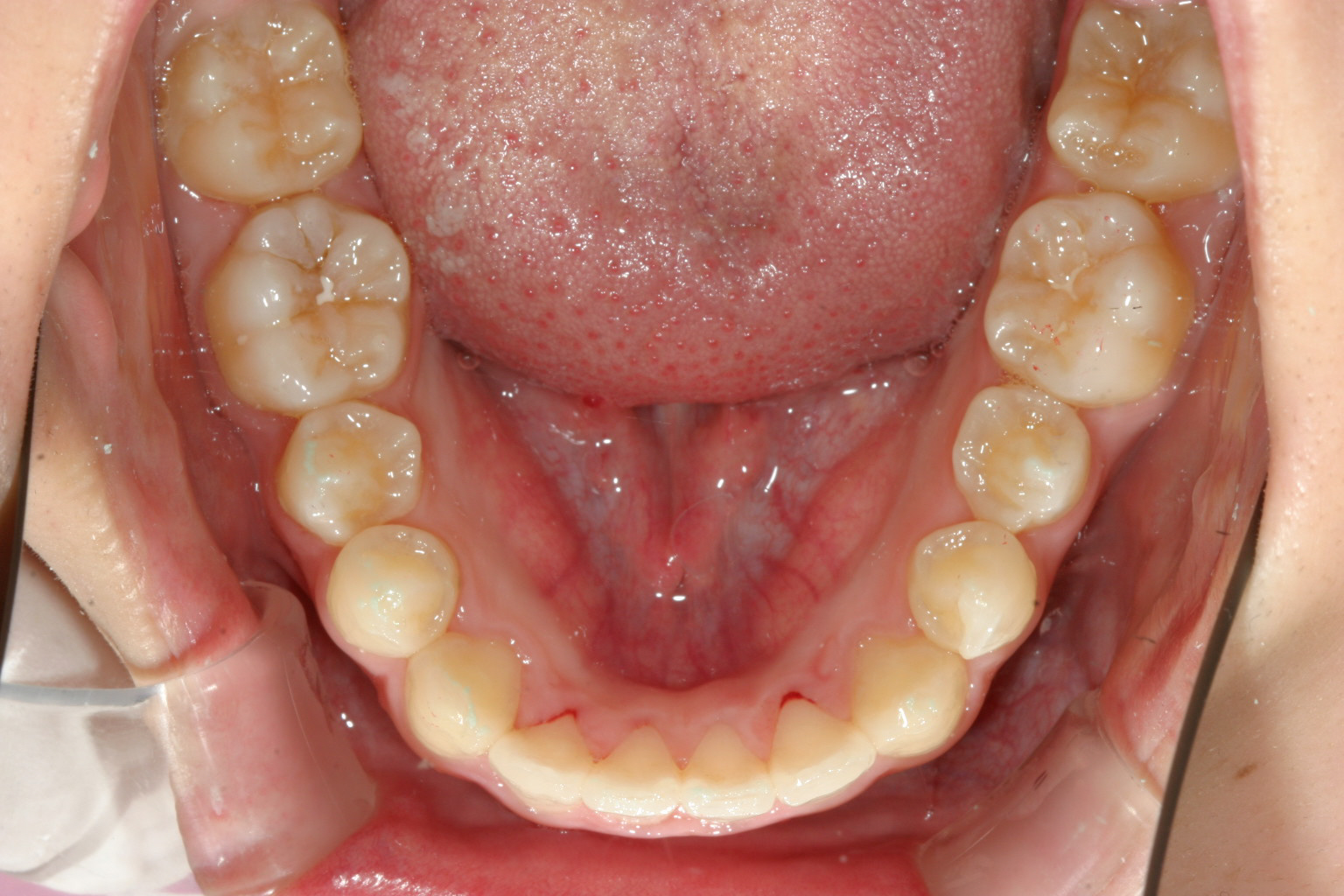
下顎も綺麗なアーチになりました。

上下の前後差が無くなりました。 綺麗なオーバージェットです。
当院からのコメント
今回のケースはアーチが尖っていた為に上下の前後差が出来、又尖った為に歯が前方に飛び出した感じ(出っ歯)になっていました。
この様なケースの場合アーチをU字に改善するのと同時にIPR(歯と歯の隙間を少し削る事)により前突感を改善致しました。
通常のワイヤー矯正だと先ず歯を抜く事から始まるのですがインビザラインはデジタル矯正ですから矯正以前に治療後の状態がシュミレーション出来る為、どこにどれだけの隙間を開ければどのようになるかと言う事が先に分かる為、抜くか抜かないかの判断が容易に出来、通常の抜歯矯正になるケースの半分以上が非抜歯で終える事が出来ます。

