

お悩み
前歯のガタガタが気になるのと物がつまり易い。
年齢
19歳
性別
男性
治療に用いた装置
インビザライン+アップダウンエラスティック
治療期間
1年3ヵ月
治療にかかった費用
治療詳細

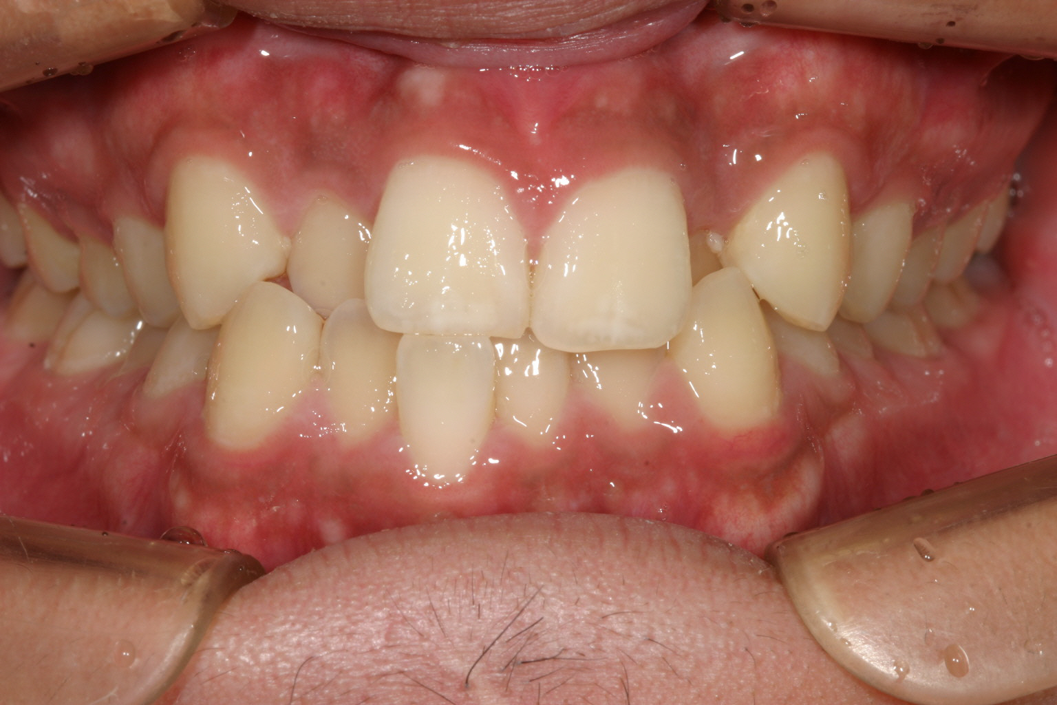
歯列弓が狭い為に前歯が並ばずガタガタしています。

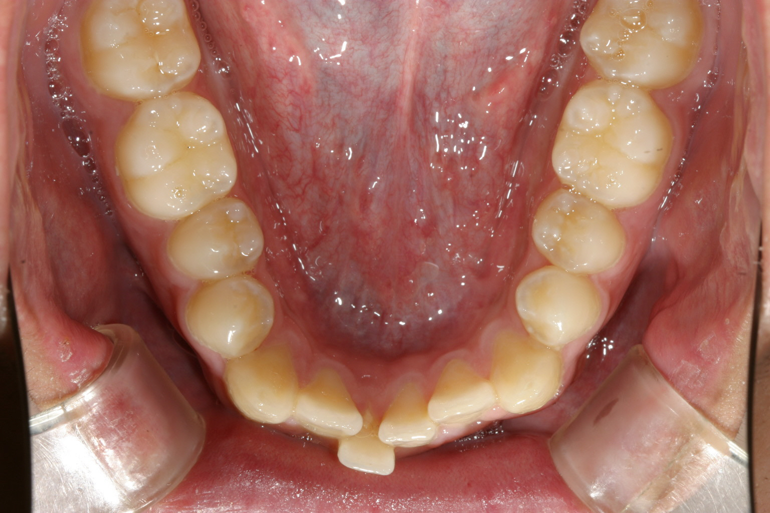
下顎もアーチが狭い為叢生になっています。

横から見ると少ししゃくれ気味です。

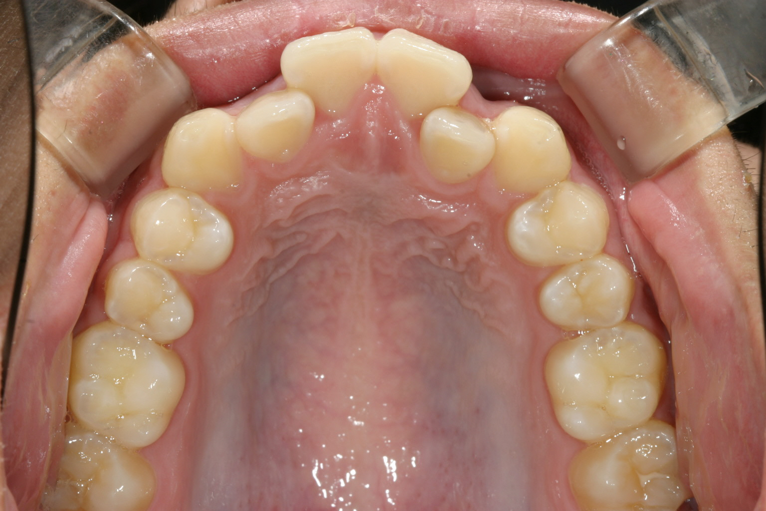
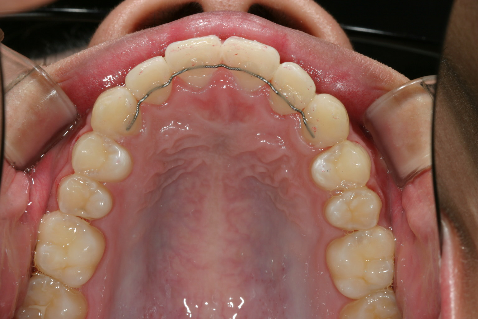
アーチを広げ綺麗に配列しました。

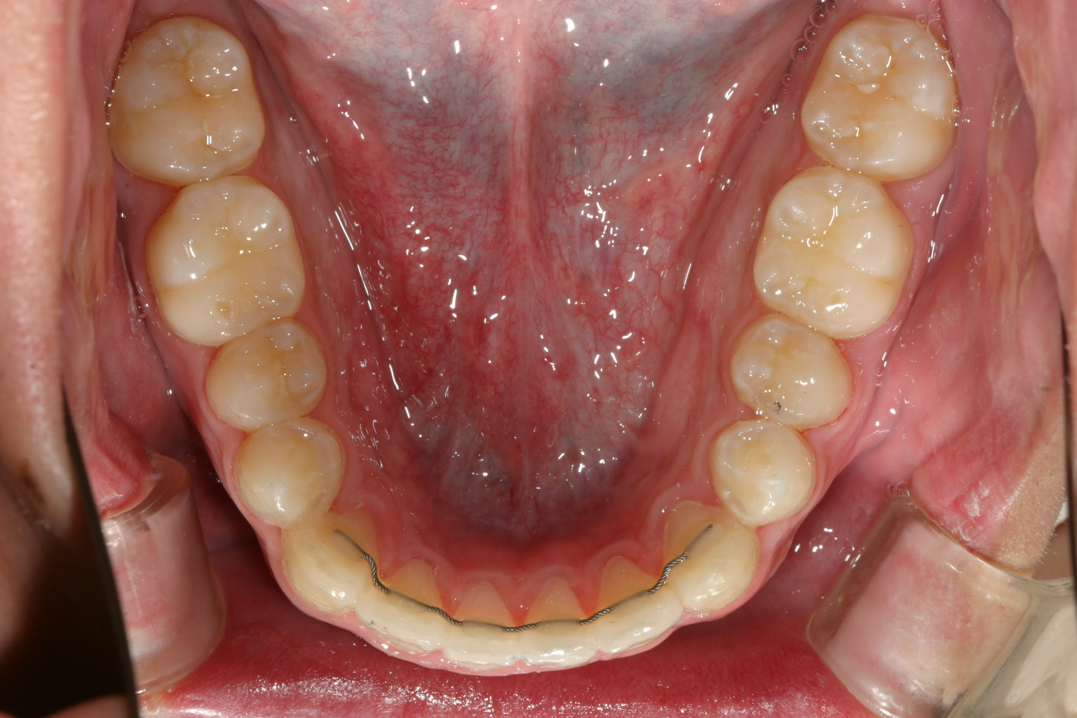
下顎も綺麗に改善しました。

オーバージェットも綺麗に改善しています。

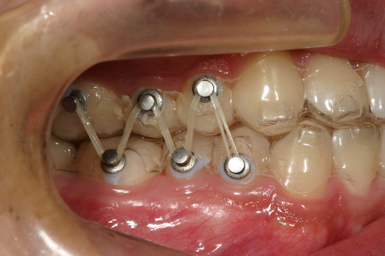
奥歯のかみ合わせを緊密にするためこの様なアップダウンエラスティックを使用しました。 その際も元々少ししゃくれ気味だったためCLASSⅢエラスティックとしています。
当院からのコメント
今回のケースは前歯のガチャ改善を希望されて来院されました。
当院ではよくあるケースで犬歯間が狭くなっている為上手く前歯が並んでいません。
と言う事で少しアーチを広げる事によりこの様に綺麗な咬み合わせに改善します。
最終的に咬み合わせが少し甘いと感じた時はこの様なアップダウンエラスティックを使用致します。こうする事によりかみ合わせが緊密になります。

