

お悩み
前歯のガタガタが気になる
年齢
27歳
性別
女性
治療に用いた装置
インビザライン
治療期間
1年2ヵ月
治療にかかった費用
治療詳細

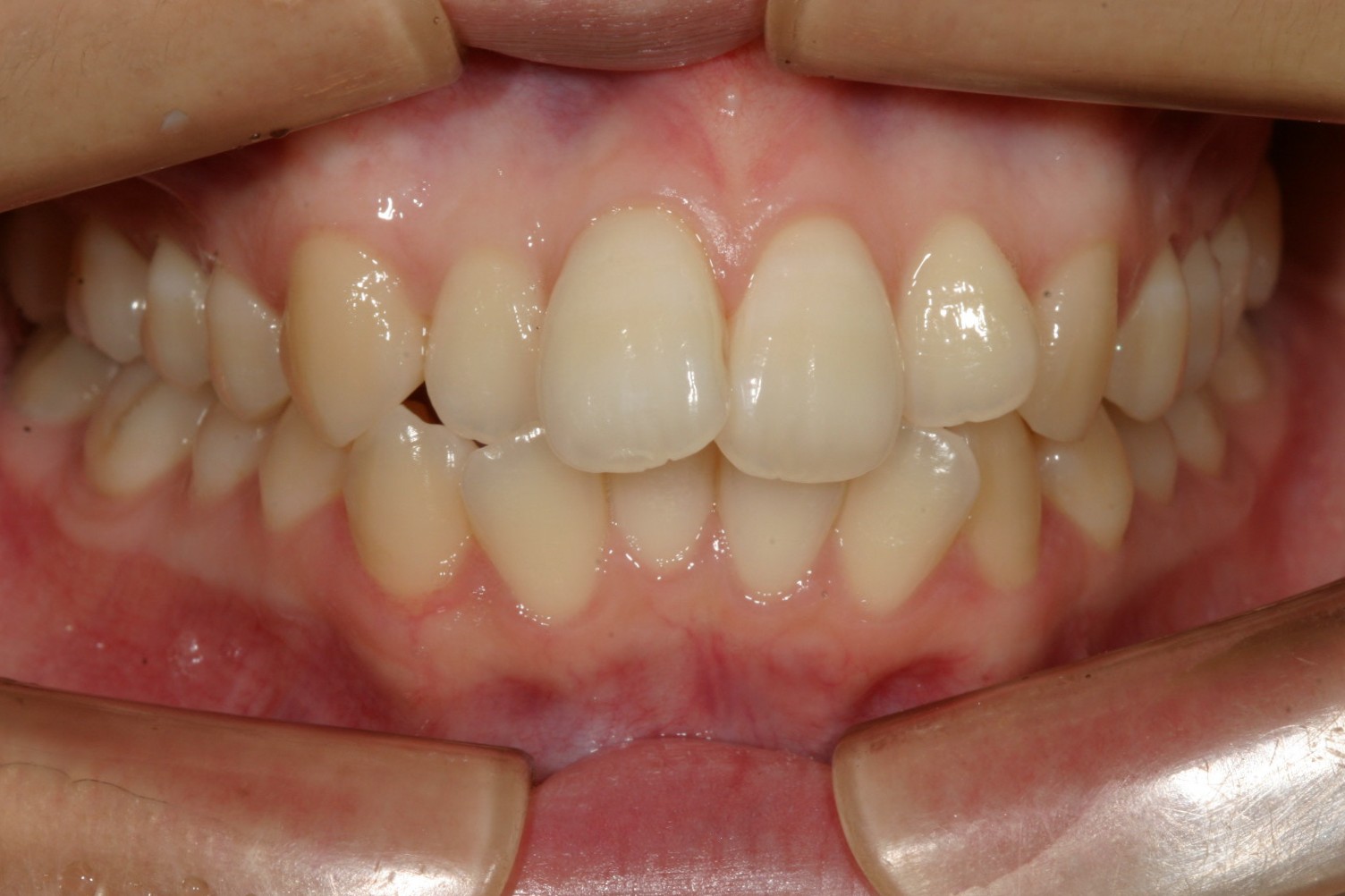
前歯が飛び出てガタガタしてますね。

アーチがV字型な為に前歯が上手く並ばずガタガタしています。

横から見ると上の前歯が突出していますね。

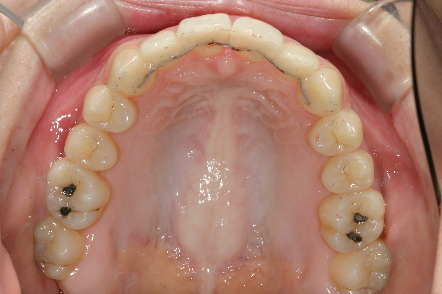
上顎のアーチをU字に変えて綺麗に配列しました。

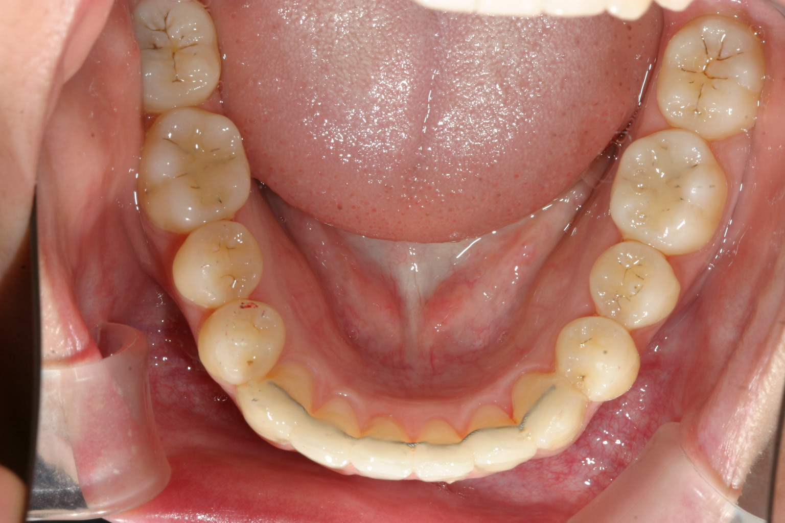
下顎もU字に変えて配列しています。

前突も改善しました。
当院からのコメント
今回のケースは上下のアーチフォームがV字になっていた為前歯が上手く並ばず
ガタガタしていました。
この様なケースは当院の症例紹介でも頻繁に出て来るケースです。
全体的なアーチフォームをU字に改善するだけで問題は改善します。
この様な処置はインビザライン治療では得意な処置です。
現在当院では全ての矯正患者様に加速矯正装置を使用して頂いている為今回のケースでは僅か4ヵ月位で治療が終わると言う事になります。
歯並びでお悩みの患者様が居られましたら一度相談にお越しください、短期間で問題を解決させて頂きます。

