

お悩み
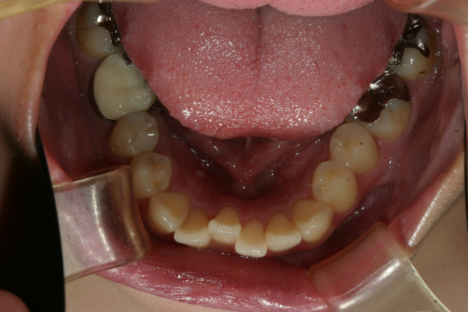
下顎歯並びがガタガ タ前歯のねじれ 出っ歯も気になる。
年齢
29歳
性別
女性
治療に用いた装置
インビザライン
治療期間
1年1か月
治療にかかった費用
治療詳細

前歯がねじれています、これを翼状捻転って言います。

下顎は結構ガタガタが有ります。

前歯がねじれている分少し出っ歯に見えます。

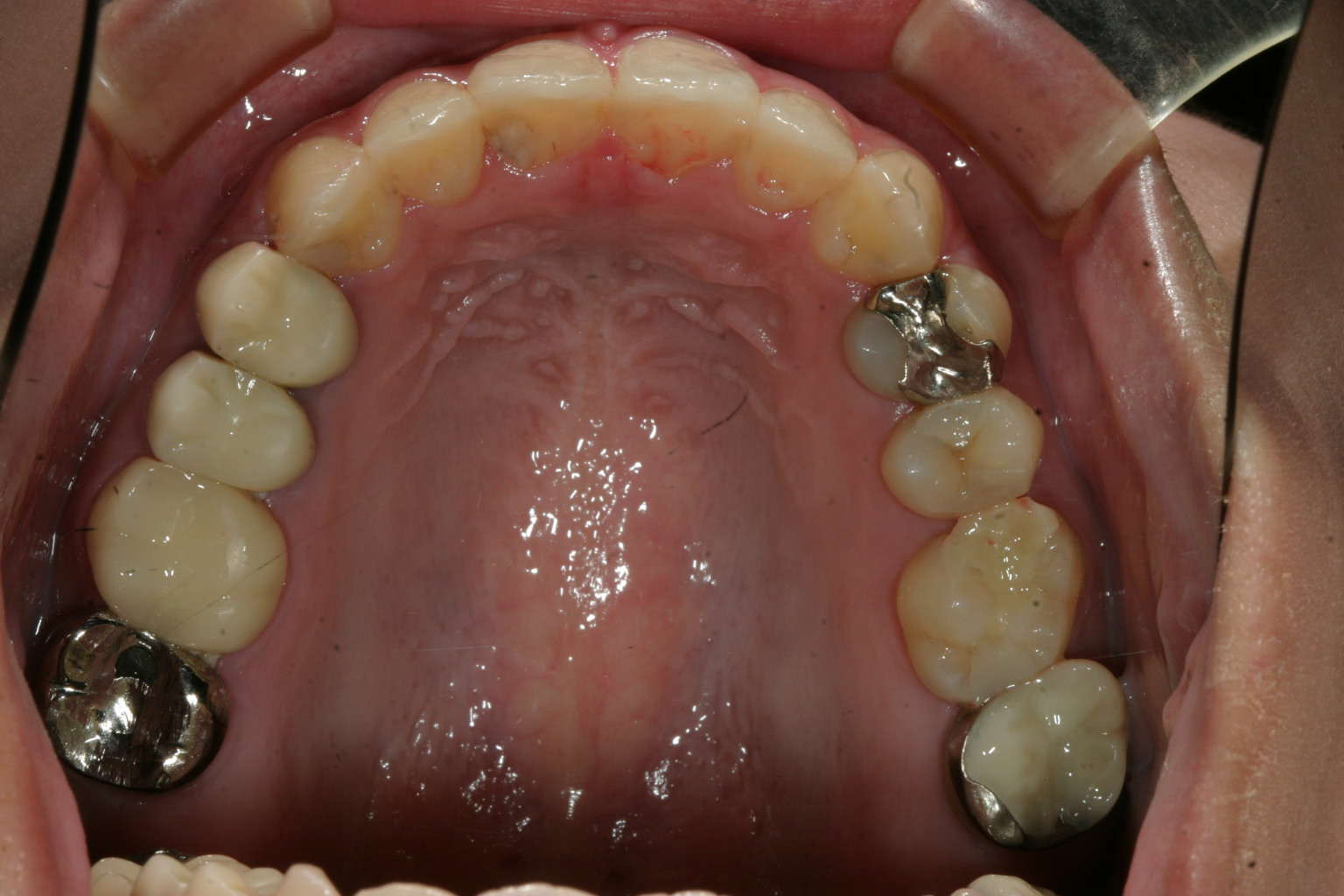
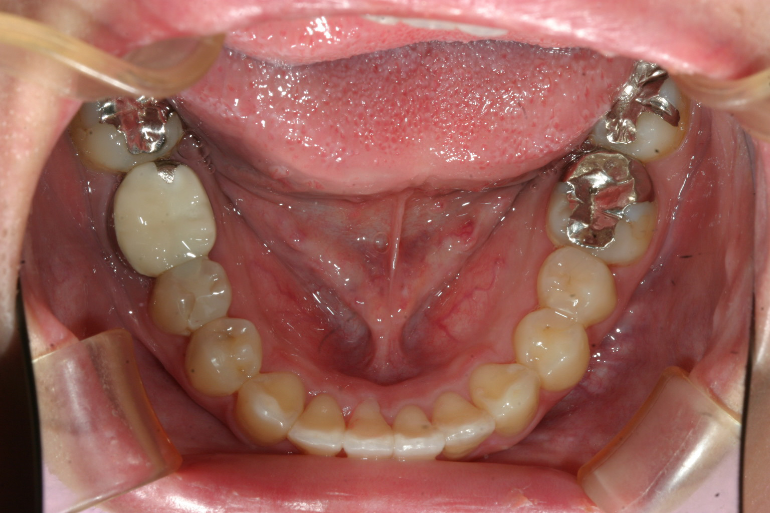
ねじれも改善し綺麗になりました。

こちらのガタガタも綺麗に改善んしてます。

前歯の出加減も最高です。
当院からのコメント
こちらの症例は前歯のねじれと叢生の改善です。
患者様が一生懸命時間をかけてご自分の歯に向き合って頂いた結果が十分に並びの改善に反映されています。
凄く短期間で綺麗に改善されたケースです。

