

お悩み
前歯がすこしねじれてる。
年齢
23歳
性別
女性
治療に用いた装置
インビザライン
治療期間
1年3ヵ月
治療にかかった費用
治療詳細

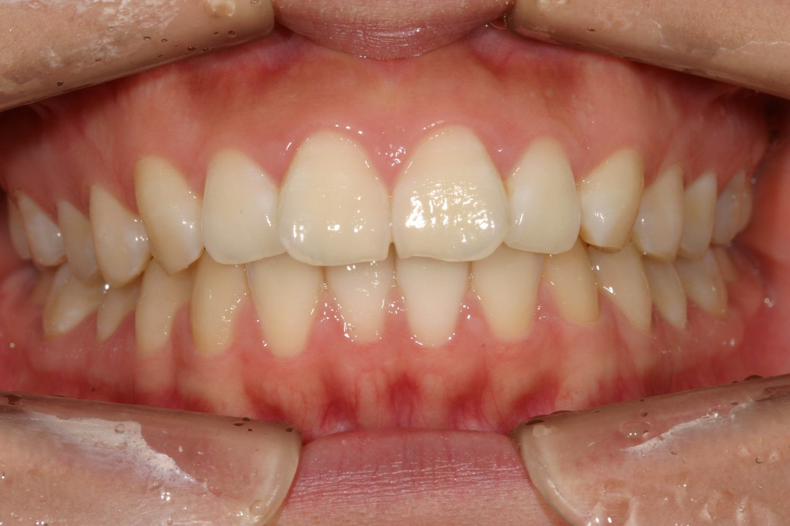
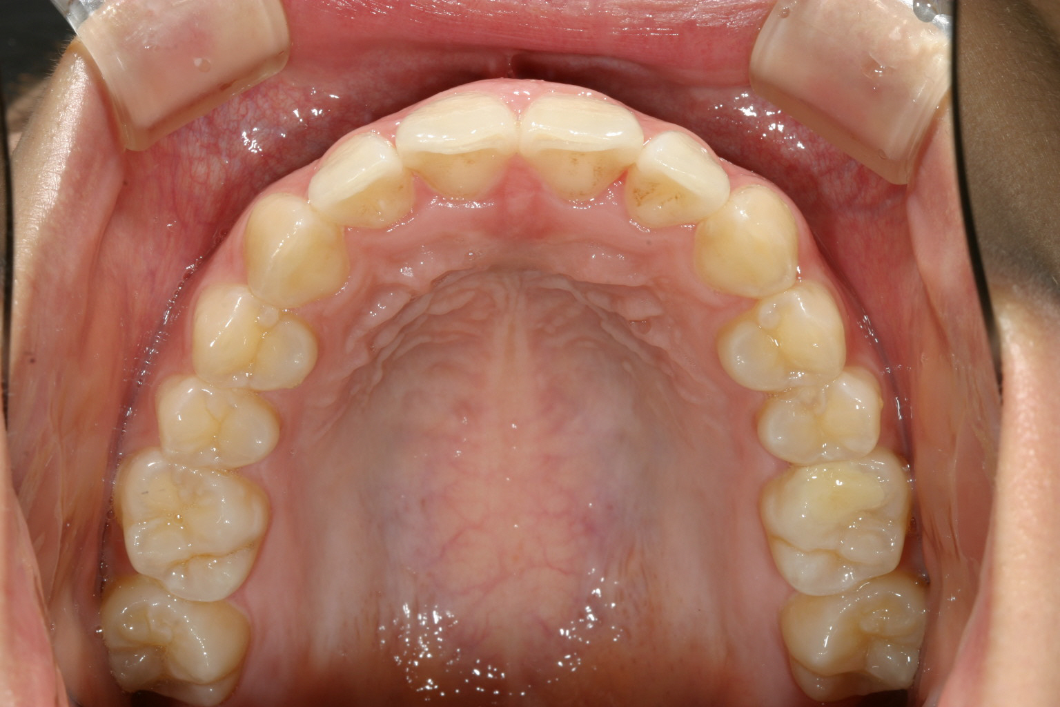
前歯が翼状捻転してます。

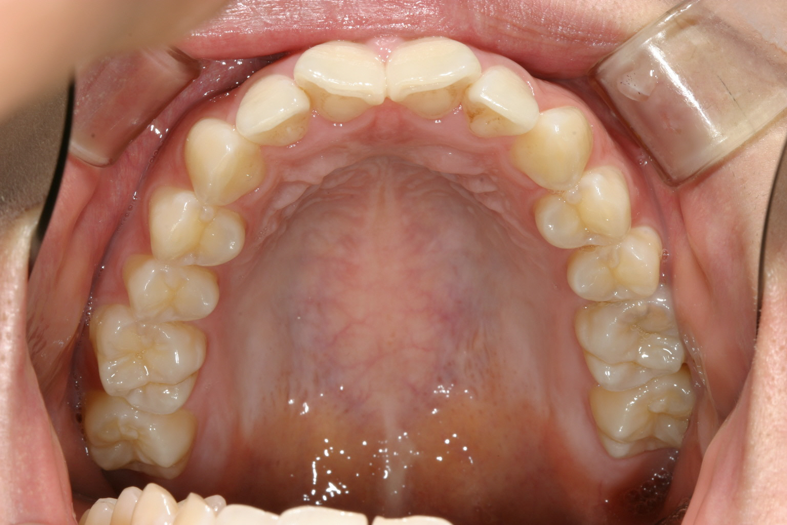
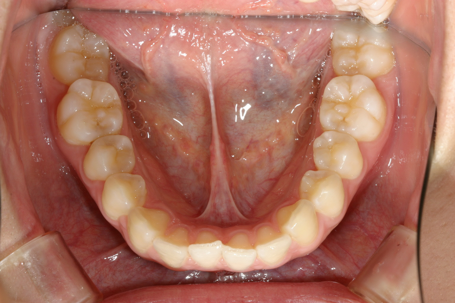
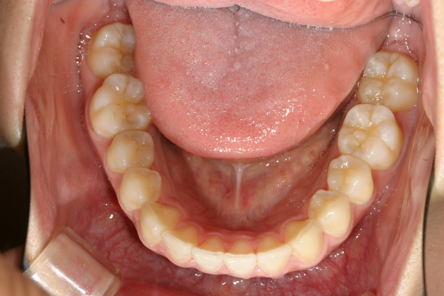
下顎は少し乱れてますがさほどでもないです。

翼状捻転してる分少し出てます。

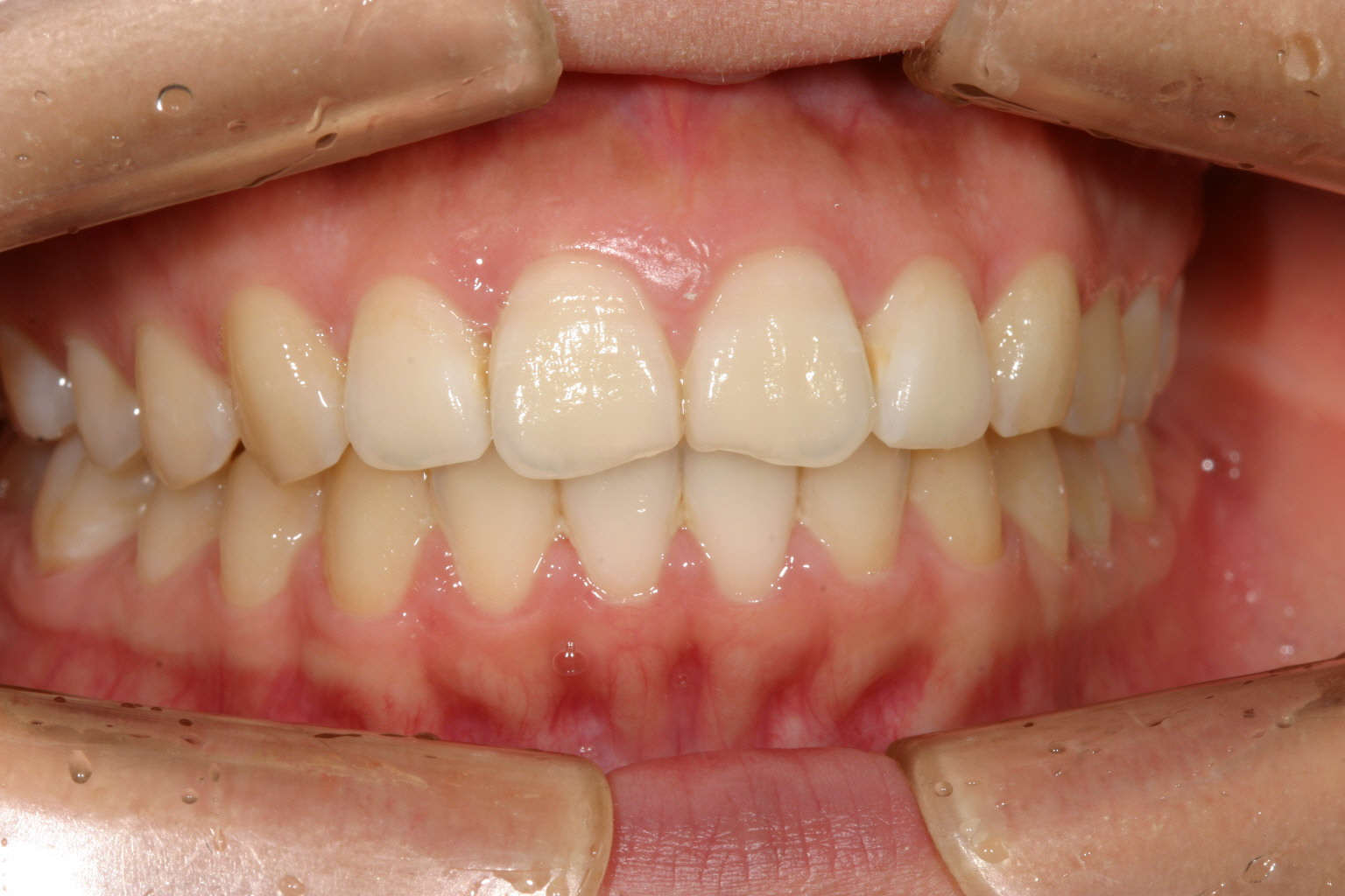
綺麗に改善しました。

こちらも綺麗なアーチになりました。

翼状捻転改善しましたら出加減も改善しました。
当院からのコメント
こちらの症例は僅かな翼状捻転だけが問題でしたからインビザラインで難なく改善しました。
この様な僅かな歯列不正はよく見られます。
これくらいの不正咬合でワイヤーはちょっとと思われる方はインビザラインで治療されればこれ位短期間で十分改善出来ると言ういいケースです。
皆さん如何ですか?

