お悩み
八重歯、糸切り歯、犬歯が出てガタガタが気になる。
年齢
25歳
性別
男性
治療に用いた装置
インビザライン+加速矯正装置PBM
治療期間
1年3か月
治療にかかった費用
825,000円

治療詳細

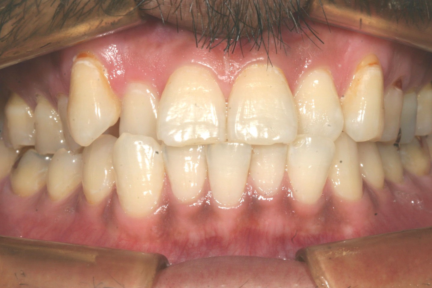
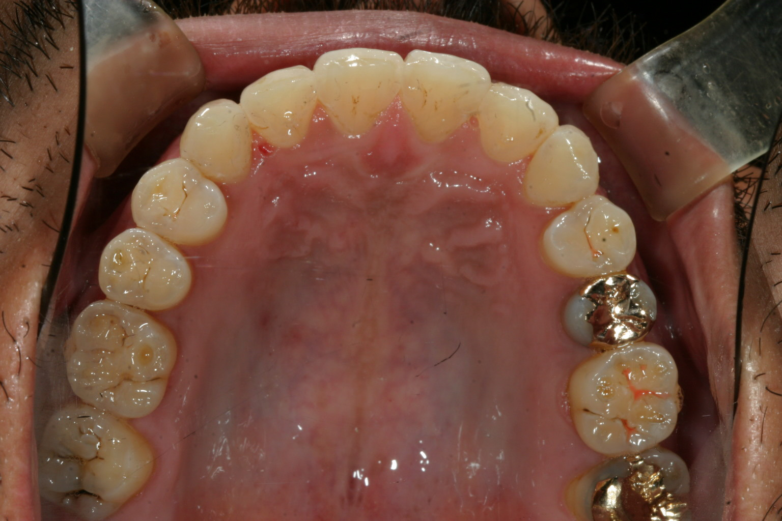
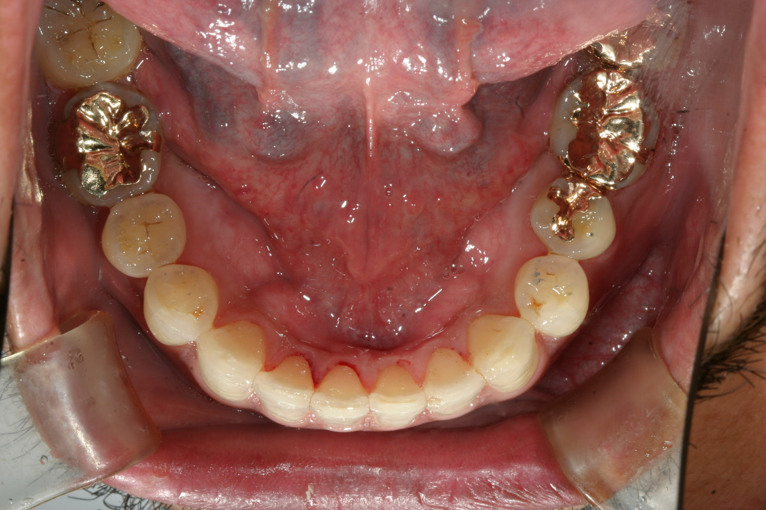
右の犬歯の突出が目立ちます。

下顎前歯に少しガタガタが見受けられます。

側面感は問題無さそうです。

インビザラインにて右側臼歯遠心移動(右側の大臼歯から順番に歯を後ろに下げて犬歯の入るスペースを確保する方法)

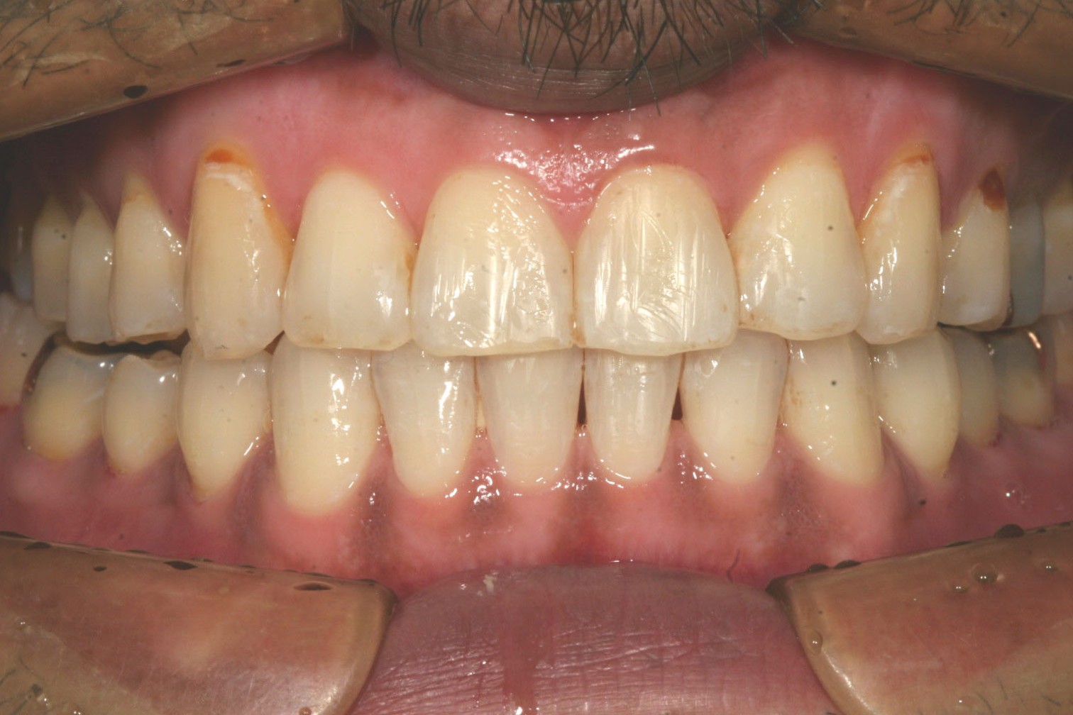
綺麗に並んでます。

側面観も綺麗になりました。

当院からのコメント

この症例は右側臼歯を後ろに順番に下げる事により犬歯が入るスぺースを確保しました。
後ろに下げる行為を遠心移動と言いますが、これをインビザライン矯正で行うのはかなり患者様にとって根気のいる仕事で臼歯部でしっかりチューイと言われるホースをしっかり噛んで頂かないとなかなか上手く行かない治療法です。
今回は加速矯正装置PBMを使用する事により短期間で完了しました症例です。
まだまだ加速矯正装置装置を使ってられる矯正歯科も少ないようですが、インビザライン矯正とはすごく相性がよく是非使うべきだと思います。
何故かと言いますとワイヤー矯正は月に一度医院に行って調整して貰うのが一般的なのですが、マウスピース矯正装置は患者様がご自分で当院の場合加速矯正装置を使って5日に一度交換して頂く為月に6枚の装置交換が行えます。
つまり月に6回調整してるのと同じ効果が得られます。
ですから2か月分のマウスピース矯正治療は1年分のワイヤー矯正治療してるのと似た効果になる言う事です。

この様な症状でお悩みでしたらいつでも遠慮無く当院にご相談下さい。