

お悩み
八重歯の出っ張りが気になる
年齢
44歳
性別
女性
治療に用いた装置
インビザライン
治療期間
1年9か月
治療にかかった費用
治療詳細

八重歯が完全に歯列からはみ出してますね~ この様な場合冬になって唇乾くと八重歯に唇が引っかかって下がって来ないなんて経験有りませんか? そこで八重歯の後ろ隣の小臼歯を抜歯して出来た隙間に 犬歯を移動する事にしました。

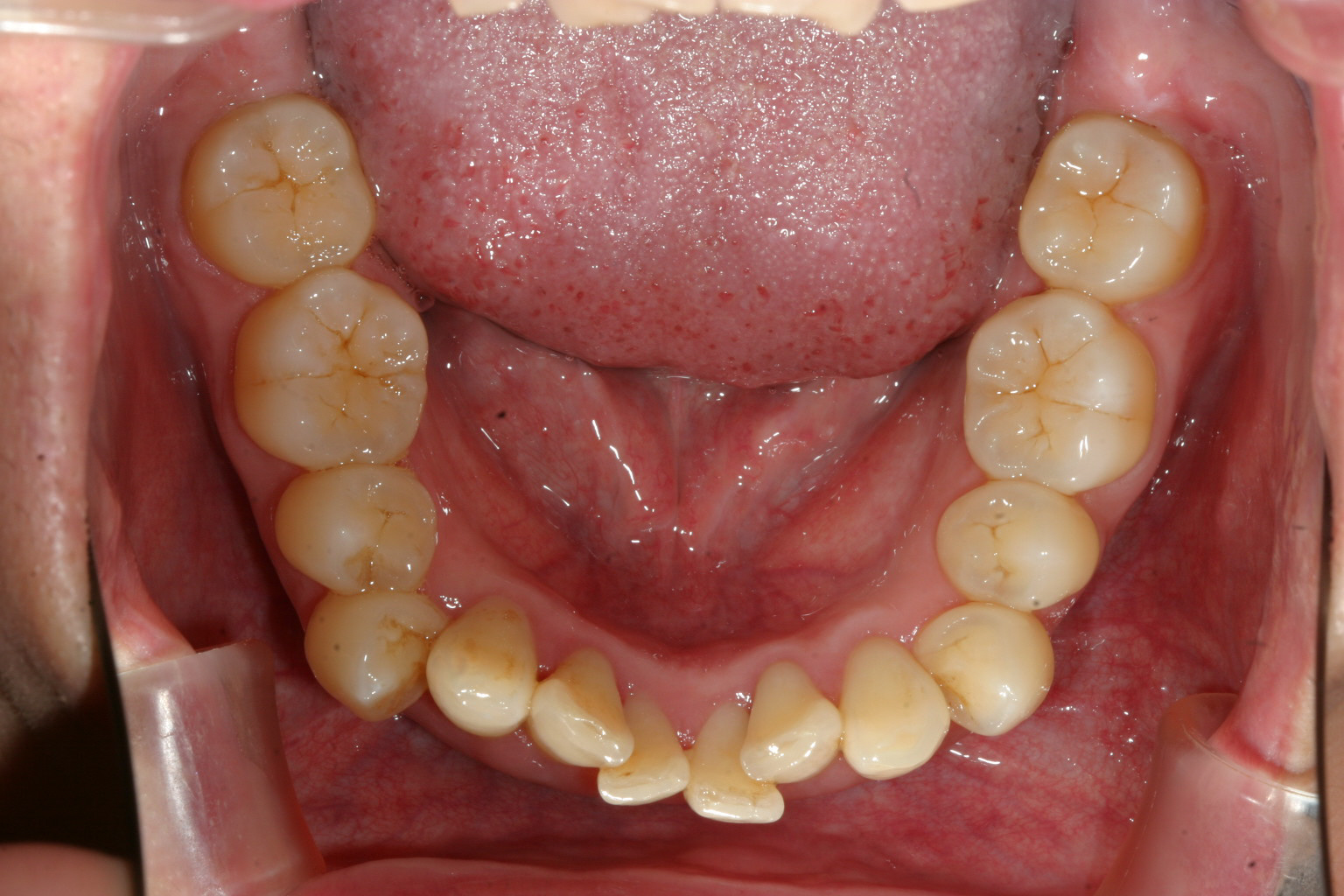
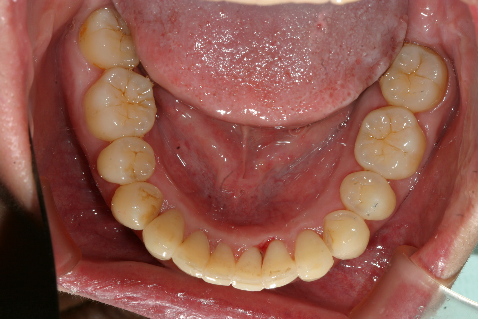
下顎の歯もガタガタになってます。

これだけ突出してたら冬場唇が乾燥すると唇が引っかかって下がって来ません。同じような症例の患者様なら経験有ると思います。

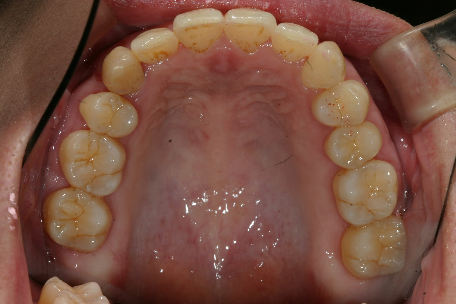
見てください、右上の小臼歯の有った場所に犬歯が移動してます。綺麗ですね~

下顎のガタガタも綺麗に改善してます。

前突感もバッチリです。
当院からのコメント
私的には咬み合わせの事を考えると出来る限り抜歯矯正はしたくないのですが、この様に完全に歯列からはみ出ている場合には治療期間を短縮し最高の笑顔を得る為には仕方ない選択でした。
この様に犬歯が上に有る場合インビザライン単独ではなかなか引っ張り出す事は苦手なんです。
こういった場合には上下の歯の表面にボタンを貼り付けてインビザラインを付けたままゴムをかけて頂くと簡単に犬歯の挺出を行う事が出来ます。
インビザラインと言う装置は症例の難易度が上がればインビザライン単独での治療は難しく、どの様な補助装置の手助けを使用出来るかが技量の差となります。
当医院では他の医院でインビザラインじゃ出来ないと他院で拒否された患者様が多数お見えになります。
それはインビザラインが悪いのでは無くインビザラインと補助装置の併用の仕方が分からないと言う事です。
この様な症状でお悩みでしたらいつでも遠慮無く当院にご相談下さい。

