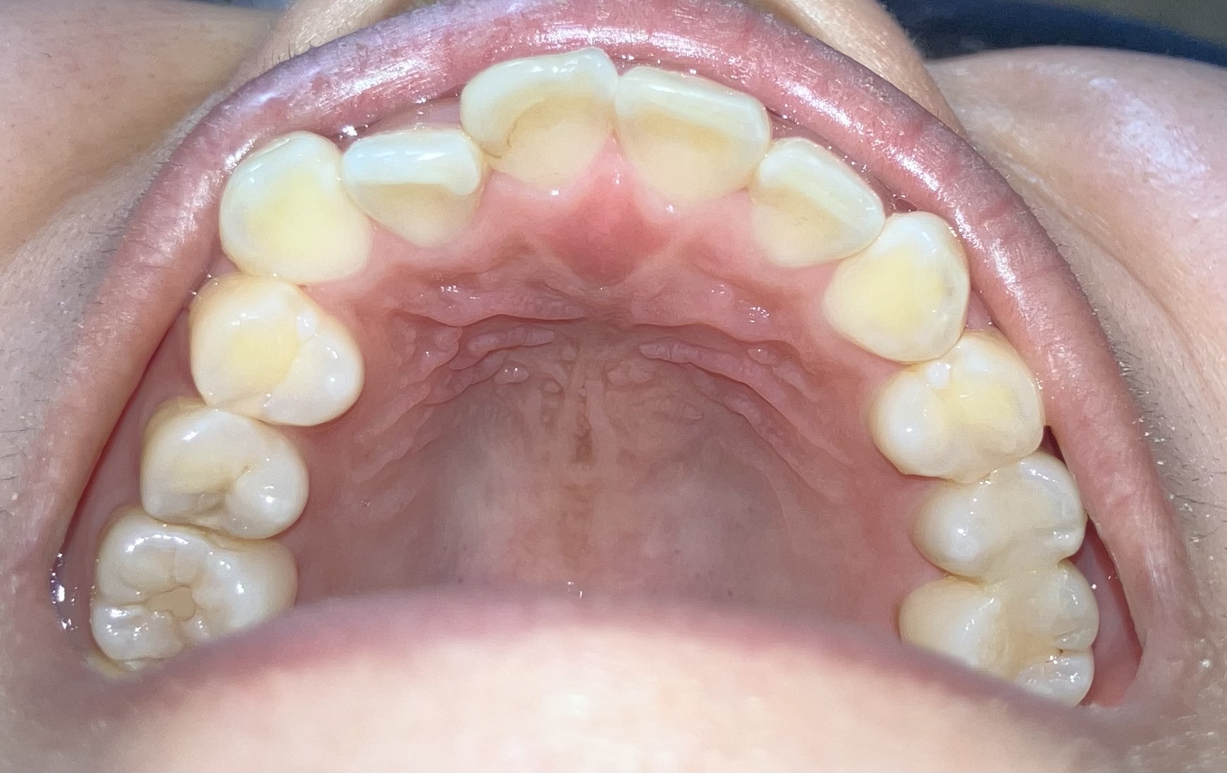
以前、虫歯で別の歯科にかかった際、レントゲンで歯茎に親知らずが横向きで埋まっていると言われました。
そのせいか、ここ数年すごく歯並びが崩れてきており(特に下の前歯は、元々横一列に揃っていたものがガタガタになりました)、また上の両奥歯に恐らく虫歯ができているため、一度先生に見ていただきたいです。
よろしくお願いいたします。
そのせいか、ここ数年すごく歯並びが崩れてきており(特に下の前歯は、元々横一列に揃っていたものがガタガタになりました)、また上の両奥歯に恐らく虫歯ができているため、一度先生に見ていただきたいです。
よろしくお願いいたします。
本当ですね〜
親知らず抜歯と歯並び矯正セットで
治療させていただきます。
1/10以降にお電話にてご予約頂けますでしょうか?
お待ちしてます♪
親知らず抜歯と歯並び矯正セットで
治療させていただきます。
1/10以降にお電話にてご予約頂けますでしょうか?
お待ちしてます♪




