

お悩み
上下顎の出っ歯が気になる。
年齢
22歳
性別
女性
治療に用いた装置
インビザライン
治療期間
1年2か月
治療にかかった費用
治療詳細

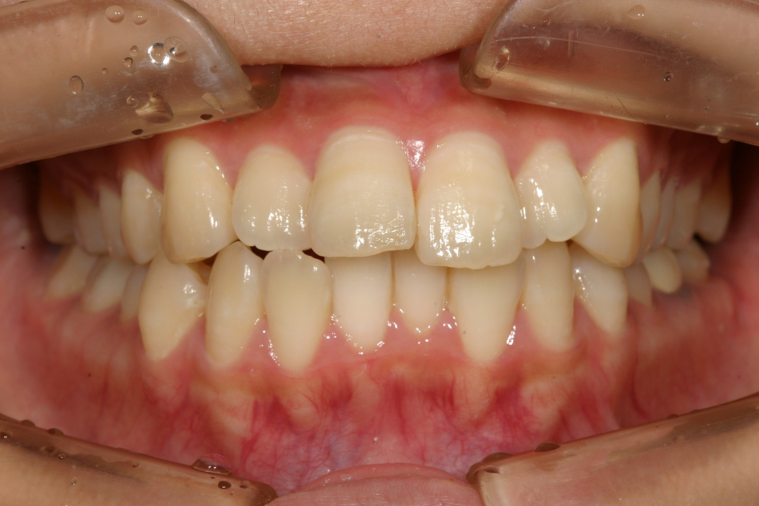
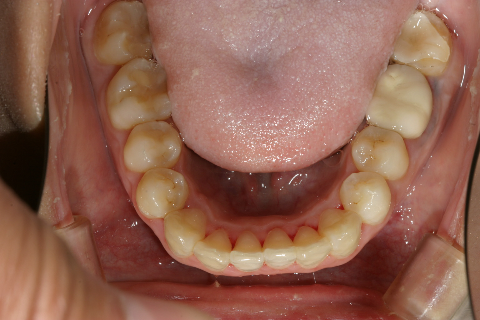
アーチか狭く前歯部が飛び出しています。

下顎もアーチが狭い為その付けが前歯にきて叢生になっています。

上下ともかなり飛び出しています。

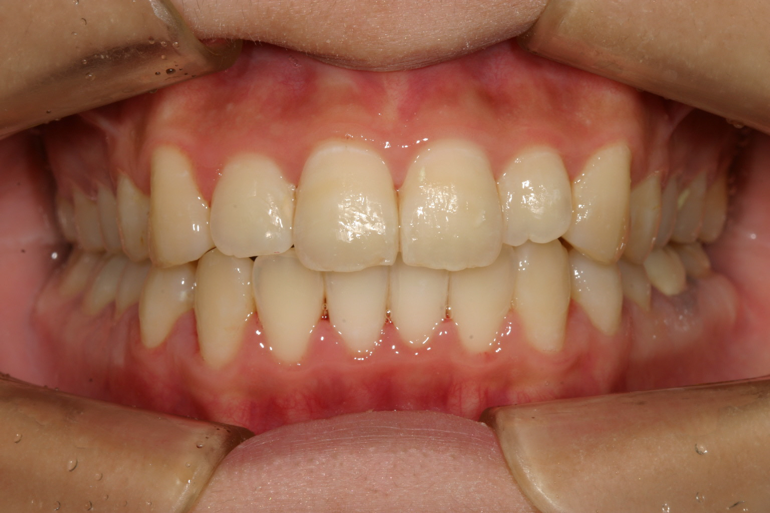
アーチを広げ、IPR(歯と歯の隙間を削る)を加え 出っ歯を改善しました。

下顎も上顎と同じ様にアーチ拡大とIPRです。

ご覧ください! 綺麗にでっぱ改善しました。
当院からのコメント
今回のケースは上下顎前突の為インビザラインによるアーチフォームの拡大とIPR(歯と歯の間を少し削る事)により抜歯せずともここまで改善しました。
以前だとワイヤー矯正で治療するに当たってこの様なケースは当たり前の様に上下の小臼歯4本抜歯していましたがインビザラインの導入によりかなり抜歯矯正が少なくなりました。
だれも綺麗な小臼歯抜歯されて喜ぶ患者様はいません、当院では出来る限り非抜歯で何とかならないか、又矯正期間も出来る限り抜歯、非抜歯を問わず1年前後で終われるようなプランを考えています。その為には加速矯正装置が必須となります。
現在当院では全ての患者様に加速矯正装置使用をお願いし費用も加速矯正装置込みで70万円(税別)で提供させて頂いています。
歯並びでお悩みの患者様は是非一度相談だけでもお越しください。

