

お悩み
前歯のガタガタの改善希望
年齢
20歳
性別
女性
治療に用いた装置
インビザライン
治療期間
1年3ヵ月
治療にかかった費用
治療詳細

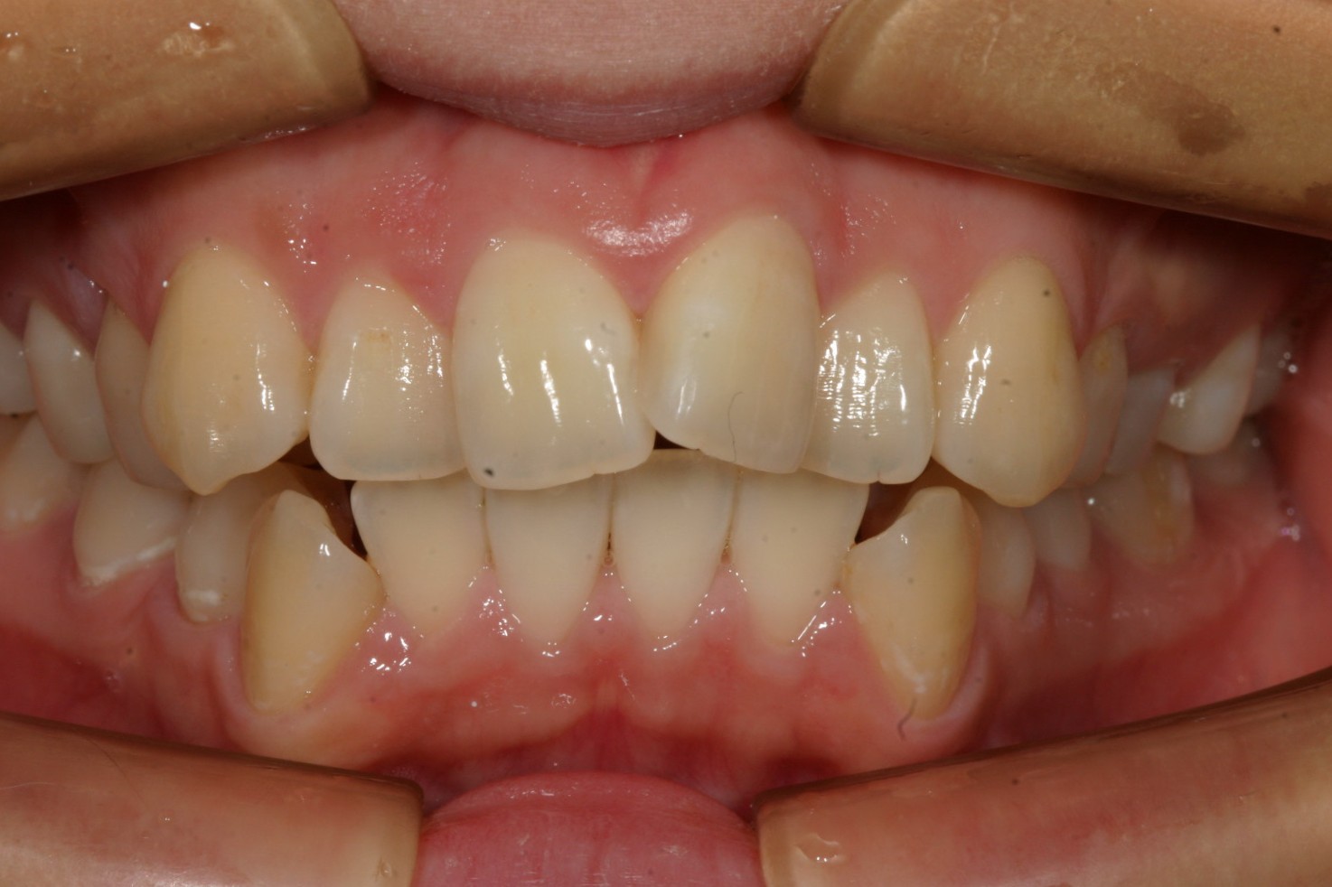
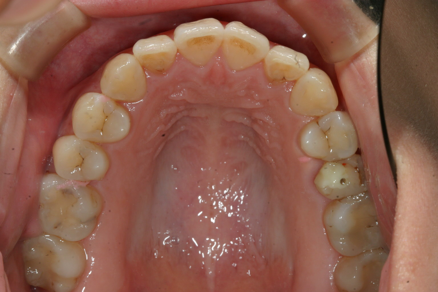
前歯部が狭い為に前歯が上手く並ばずガタガタしています。

下顎のアーチが狭く犬歯が異常に飛び出しています。

上下顎前突となっています。

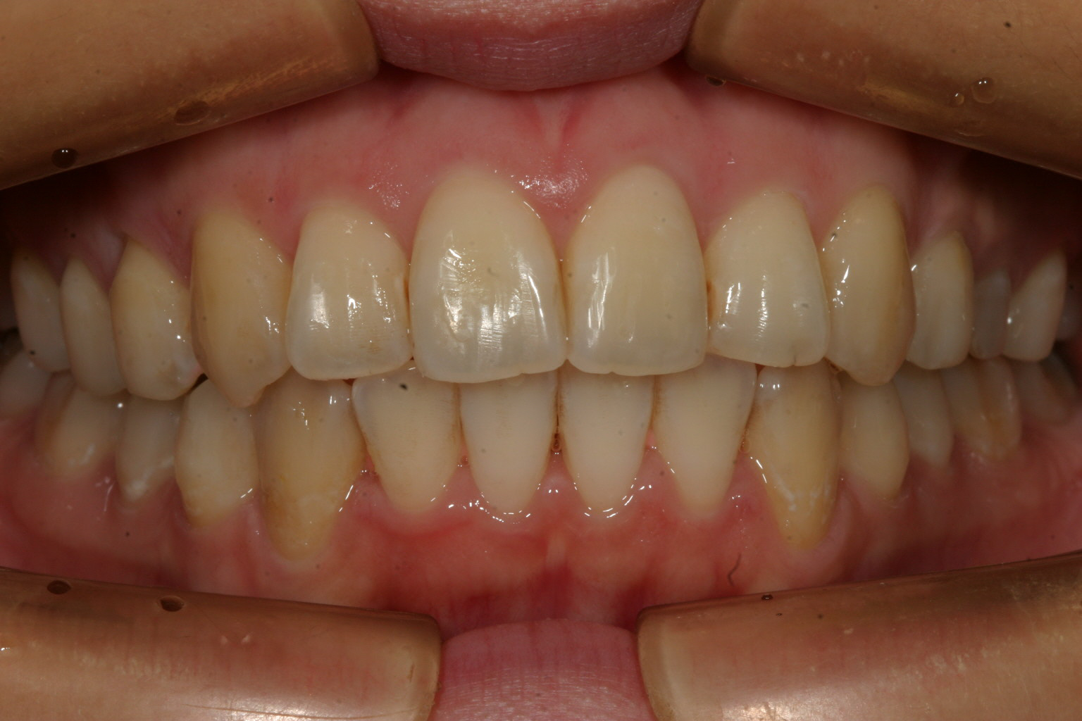
アーチを横に広げ前歯を綺麗に配列しました。

下顎の飛び出した犬歯も綺麗にアーチに入りました。

上下顎前突も改善です。
当院からのコメント
今回の症例は上下顎前突の症例です。
上下顎とも歯列が前に尖り横からみますと前に出ているのが分かります。
アーチを広げる事により前突した歯列が丸みを帯びて内方に入り又IPR(歯と歯の隙間を削る)により更に前突を改善しました。
患者様のご自分の歯に対する前向きな努力により短期間で綺麗に治療が出来ました。

