

お悩み
特に下の前歯のガタつきが気になる。
年齢
38歳
性別
女性
治療に用いた装置
インビザライン
治療期間
1年
治療にかかった費用
治療詳細

右側の犬歯の飛び出しが目立ちます。

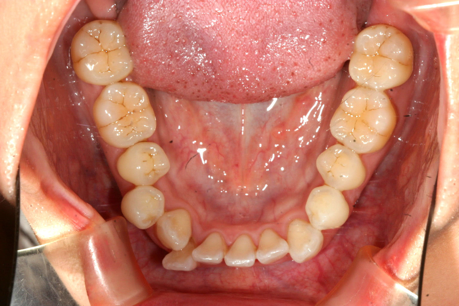
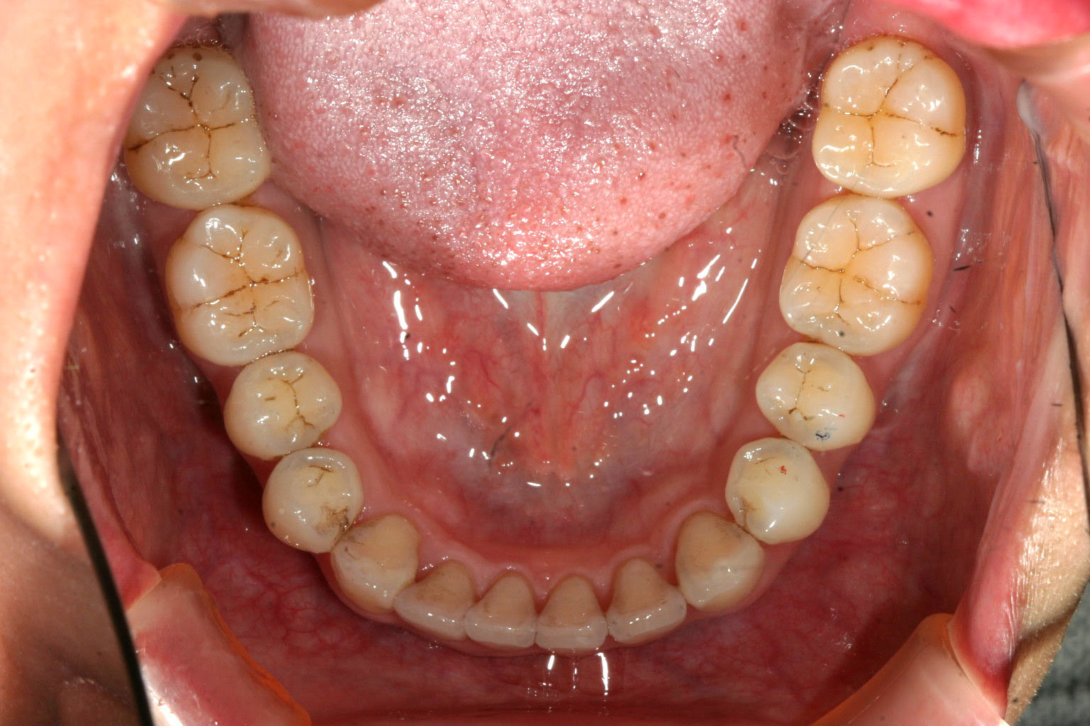
下顎のアーチが狭い為に叢生が目立ちます。

側面観もガタガタが目立ちます。

アーチを広げ綺麗に改善しました。

下顎のアーチも広げ叢生も改善しています。

側面観も抜群に綺麗です。
当院からのコメント
今回の症例も良く有るケースなんですがアーチが狭く前歯に叢生が出ているケースです。
この様な場合アーチの拡大とIPR(歯と歯の隙間を削る)を行う事により出っ歯になる事なく
凹んだ歯を前に出しています。
この様なガタガタの状態で生活していますと物が溜まりやすく、それが歯石になり、歯槽膿漏になり歯が抜けてくると言う事にもなりかねないですから早い目に綺麗な歯並びに改善した方がいいと思います。

