

お悩み
前歯がガタガタで物がつまり易い。
年齢
25歳
性別
男性
治療に用いた装置
インビザライン
治療期間
10か月
治療にかかった費用
治療詳細

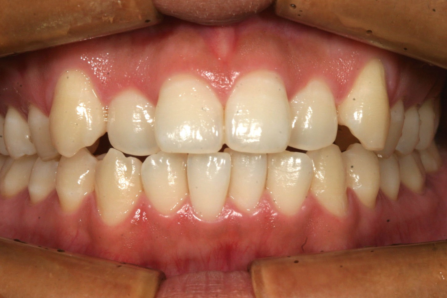
アーチの前歯部が狭い為に前歯がガタガタしています。

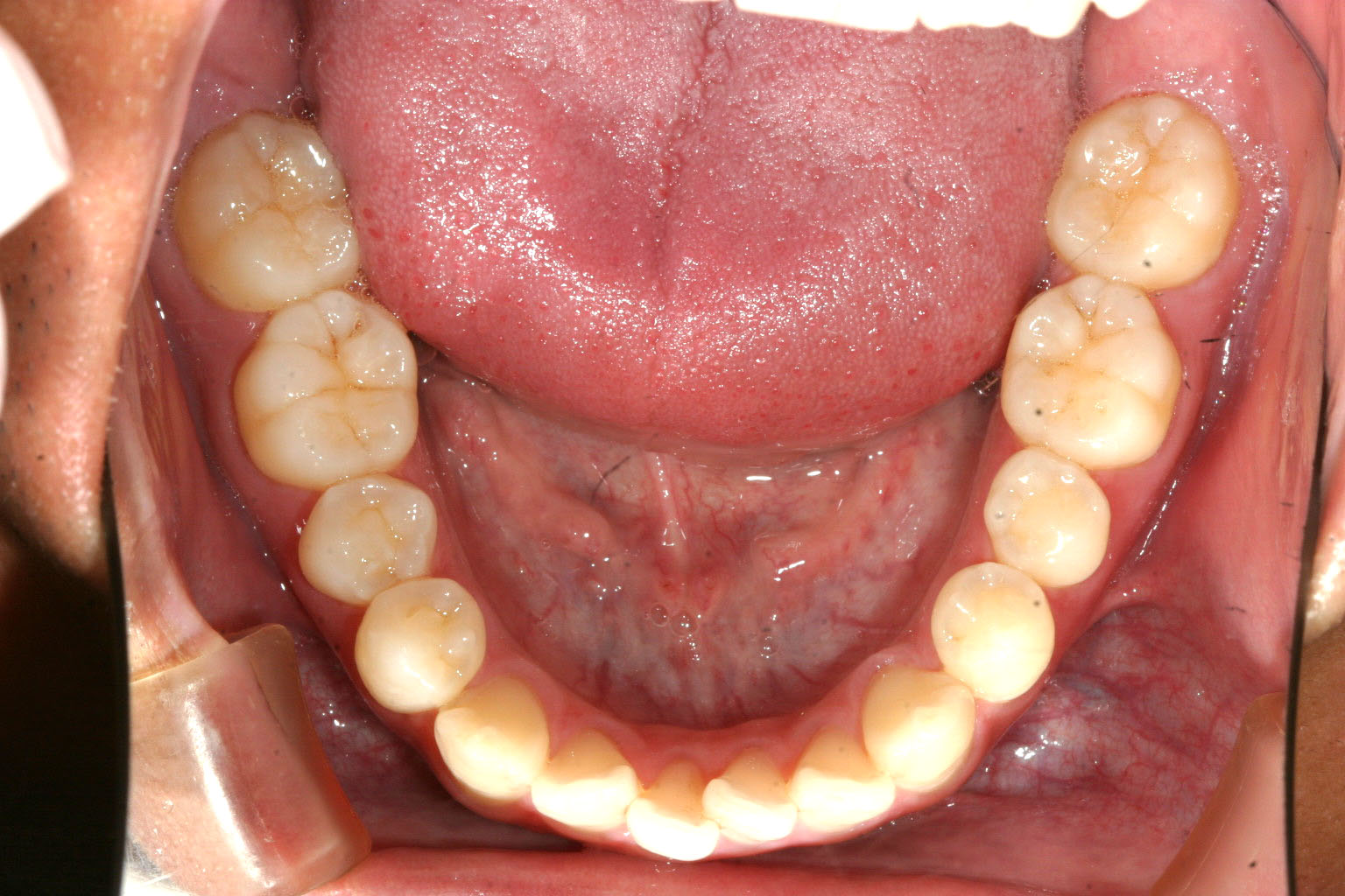
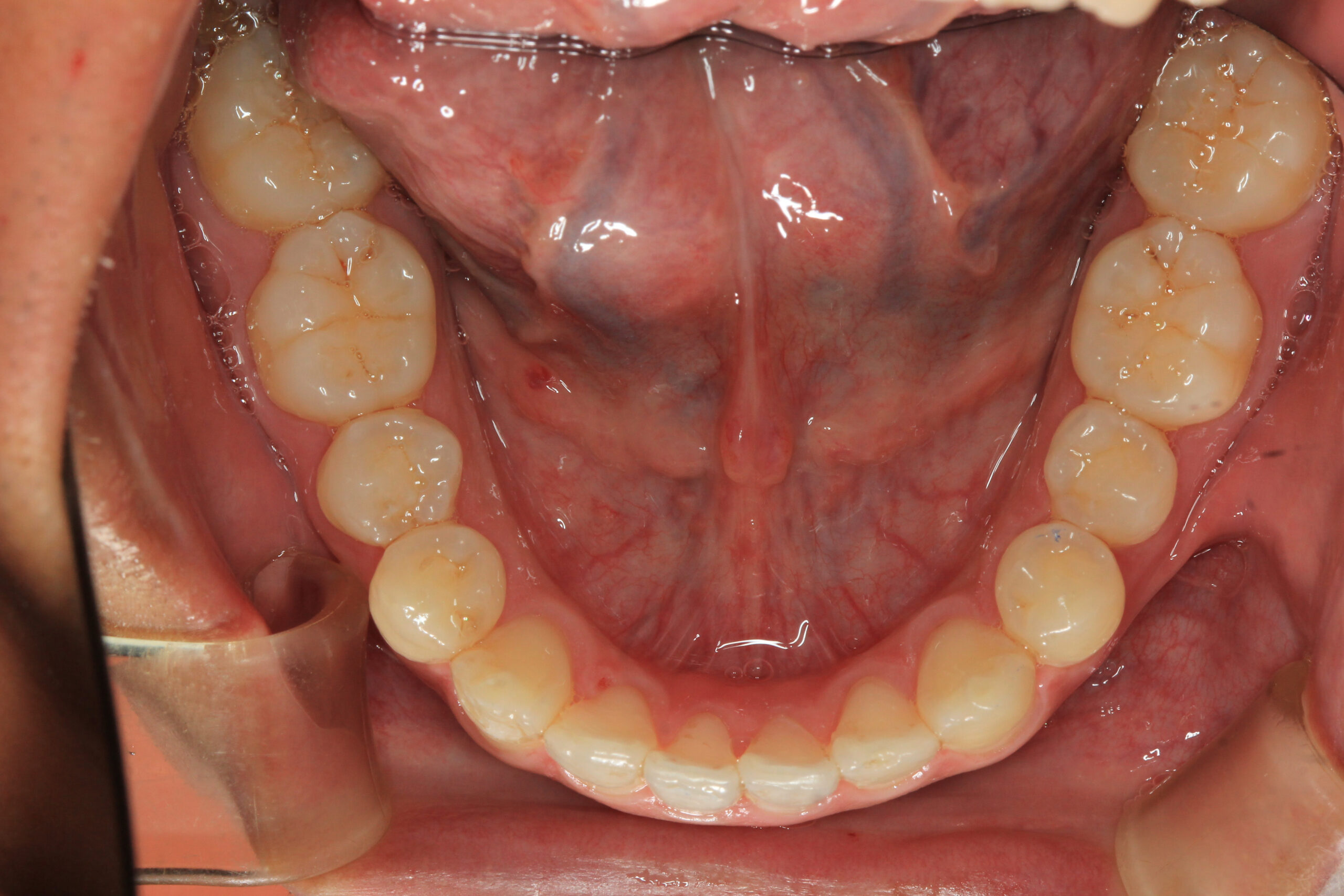
下顎は僅かな叢生があるだけです。

側面観もガタガタが目立ちます。

アーチを広げる事により綺麗に並びました。

下顎も少しアーチを広げ綺麗に整列しました。

側面観も綺麗に咬めているのが分かります。
当院からのコメント
今回のケースはさほど難しいケースでもなく僅か10か月で終了しました。
処置内容としましてはアーチの形状をU字に変えるのとインビザラインの得意技であるIPR(歯と歯の隙間を削る)を行うだけで出っ歯になる事も無くこの様に綺麗に改善する事が出来ます。
この様なケースで治療に踏み切れない患者様が居られましたら是非一度相談にお越しください。

