

お悩み
前歯が飛び出しガタガタしている。
年齢
25歳
性別
女性
治療に用いた装置
インビザライン
治療期間
2年4ヵ月
治療にかかった費用
治療詳細

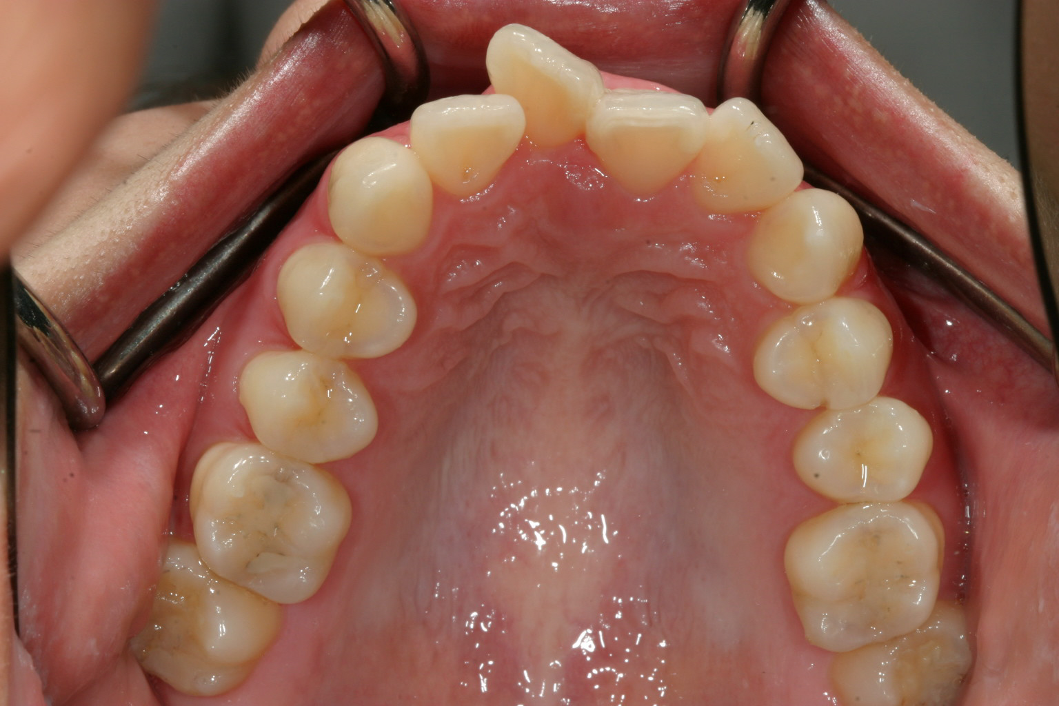
アーチがV字形の為前歯が並ばず前歯が翼状捻転しています。

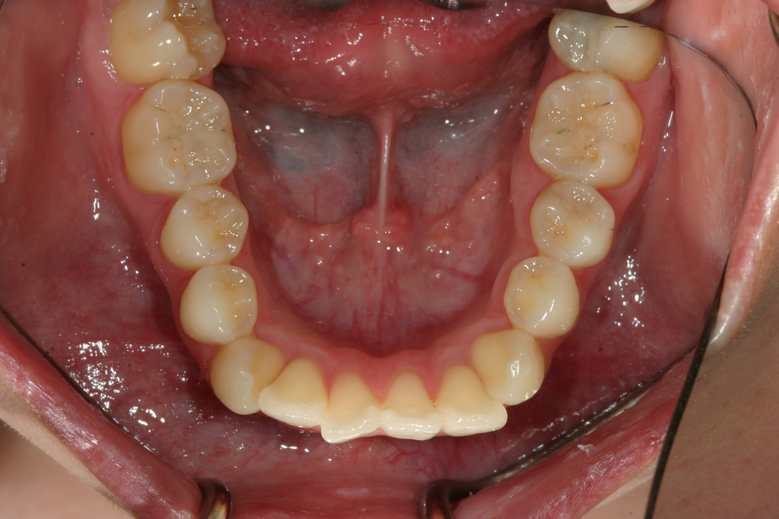
下顎に少し叢生が見受けられます。

前歯横から見ますとかなりの出っ歯になっています。

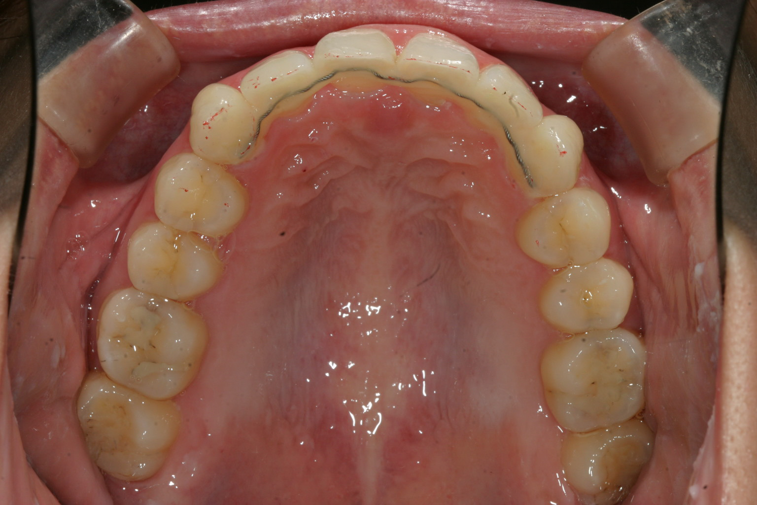
アーチを広げU字型にする事により前歯が綺麗に並びました。

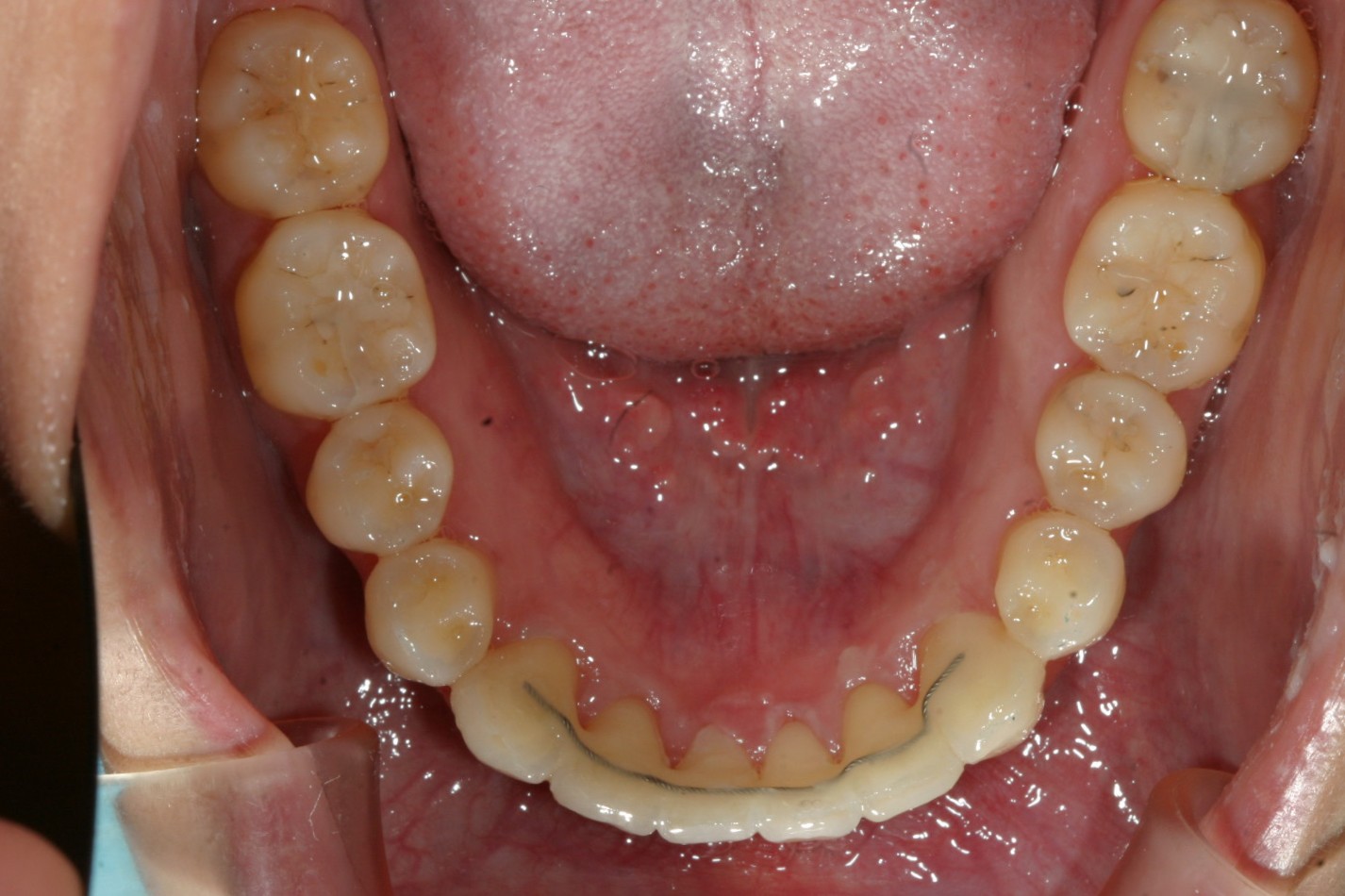
下顎前歯も綺麗に並んでいます。

抜歯矯正する事無くここまで出っ歯が改善しました。
当院からのコメント
今回のケースはアーチが狭窄(狭くなる)している為に前歯が並ばず翼状捻転し結果として前に飛び出していました。
こういった症例はよくあるケースでアーチの拡大する事により前歯が並び結果として出っ歯が引っ込むと言う結果に繋がりました。
もう一つ出っ歯を引き込めるためにIPR(歯と歯の間を少し削る)と言う事も行っています。これはインビザラインの特徴の一つです。
ここまで抜歯する事無く歯を引っ込めることが出来るならかなりの確率で抜歯矯正は防げる筈です。
この様な症例でお悩みの患者様が居られましたら是非一度御相談にお越しください。

