

お悩み
前歯が内に傾斜し糸切り歯も飛び出ている。
年齢
50歳
性別
女性
治療に用いた装置
マルチループワイヤー
治療期間
1年2ヵ月
治療にかかった費用
治療詳細

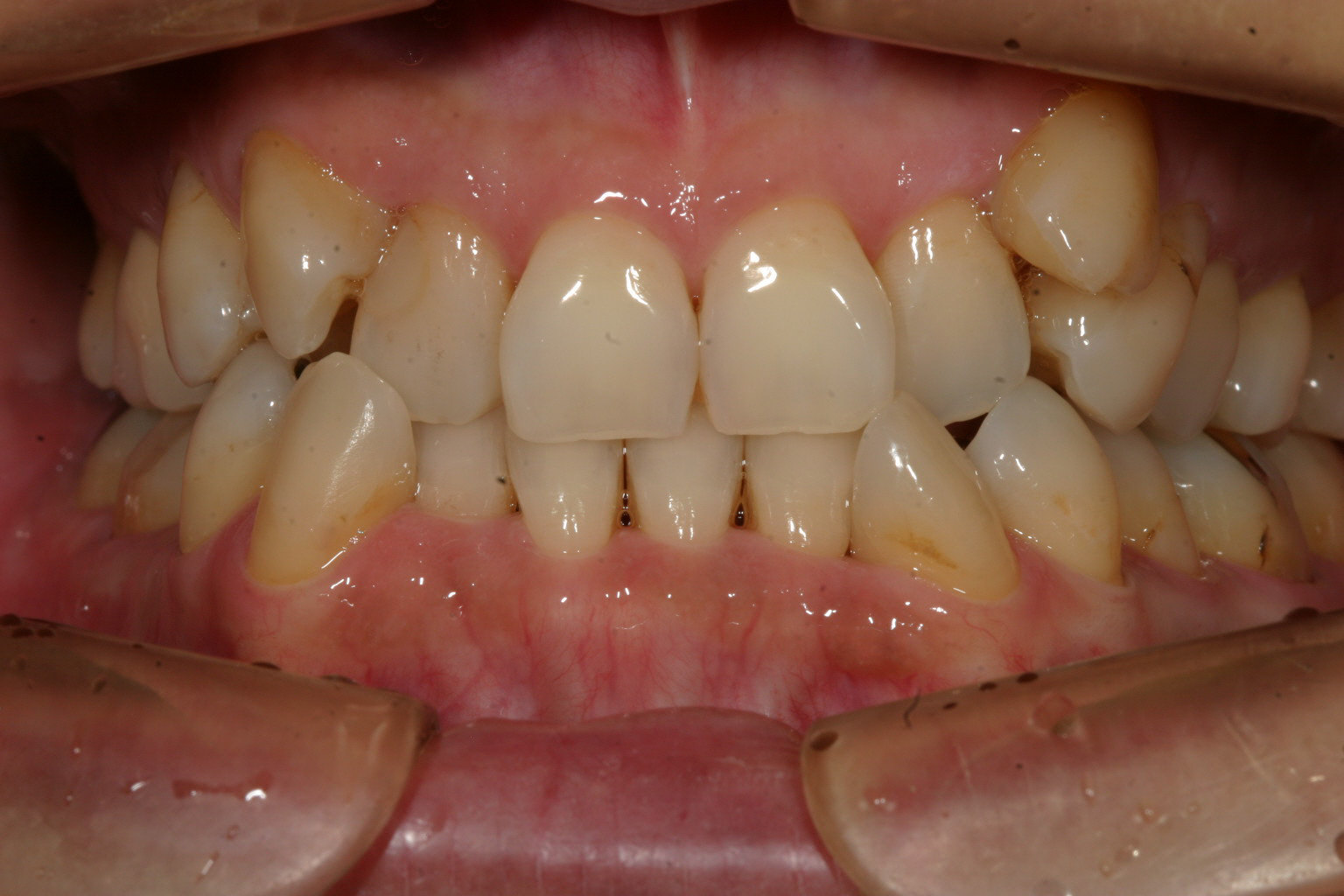
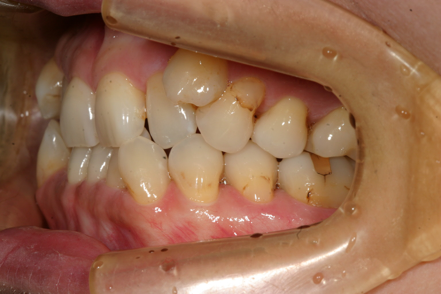
前歯がかなりデコボコしています。 犬歯も飛び出しているのが見受けられます。

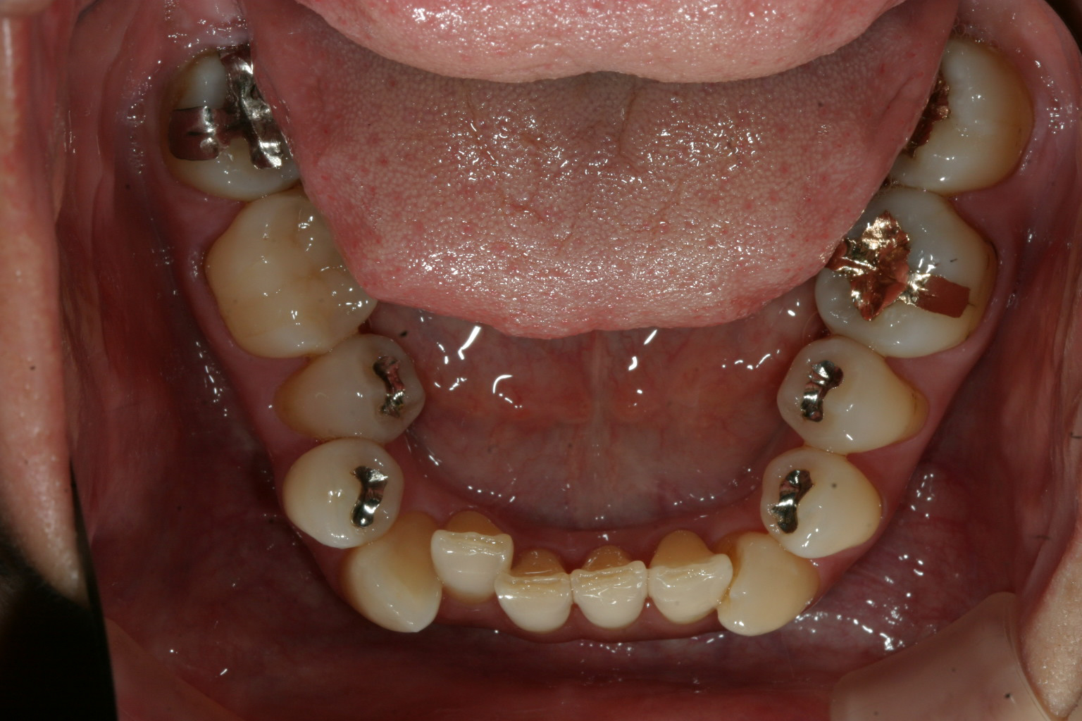
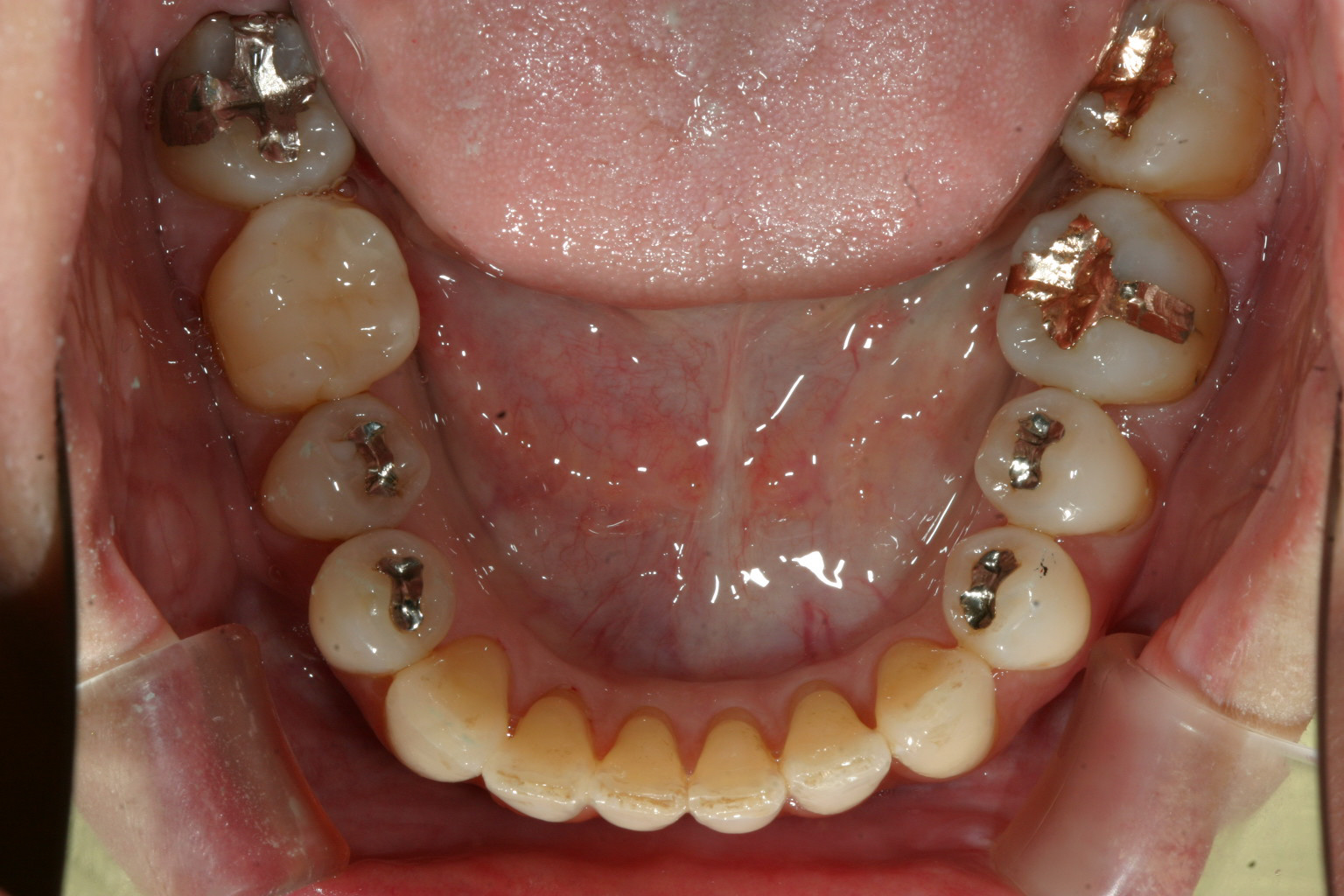
下顎もアーチがスクエアーになっています。

犬歯が完全にはみ出していますね~

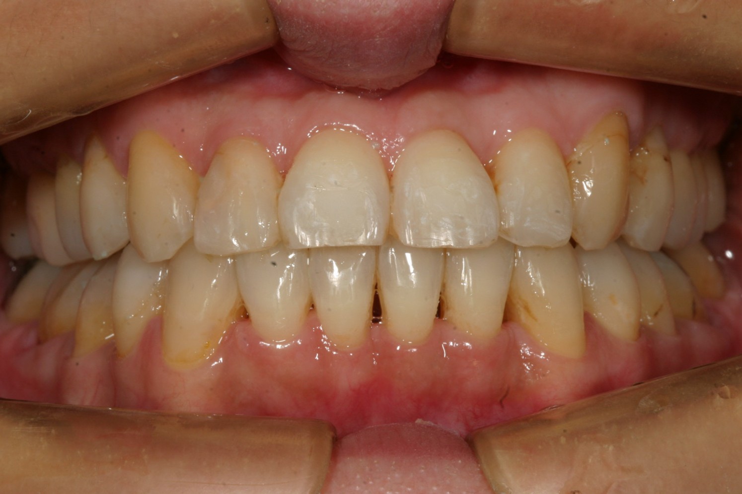
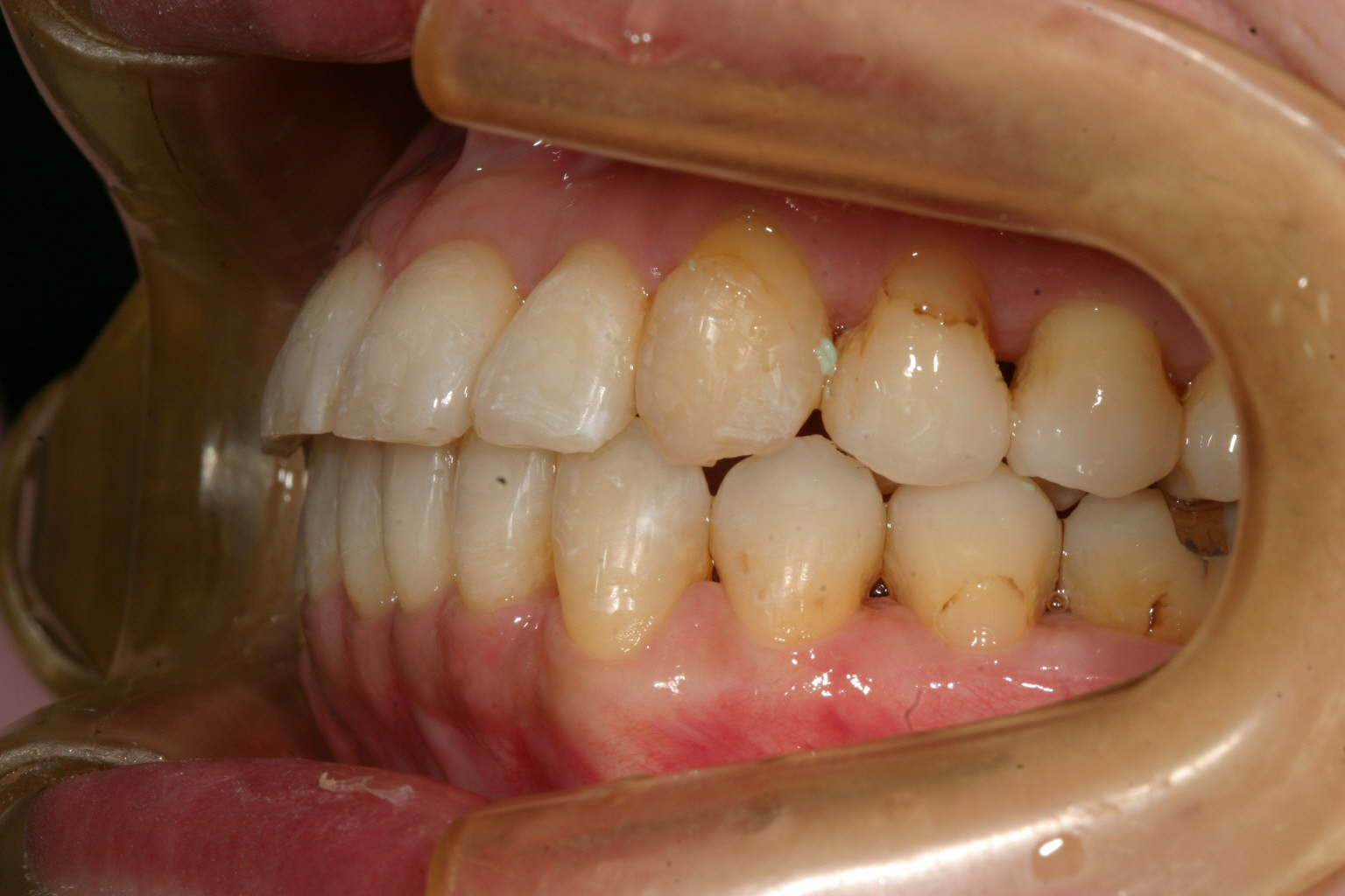
マルチループワイヤーにて内側に傾斜した前歯を前方に出して犬歯をアーチに入れました。

下顎も綺麗なアーチになっています。

上の写真と比較してください! 犬歯がアーチに収まり綺麗なオーバージェットです。
当院からのコメント
今回のケースはマルチループワイヤーにて矯正を行いました。
これぐらいデコボコしていますとワイヤーを使用した方が早いですね~僅か1年2ヵ月です。
本人さんの意向で非抜歯で矯正治療終了しました。
私は出来る限り非抜歯で矯正行う事を推奨しています。
ここまで短期間でこんなに綺麗になるなんて患者様もビックリしてられました。

