

お悩み
前歯のガタガタを改善して欲しい。
年齢
29歳
性別
男性
治療に用いた装置
インビザライン
治療期間
2年3ヵ月
治療にかかった費用
治療詳細

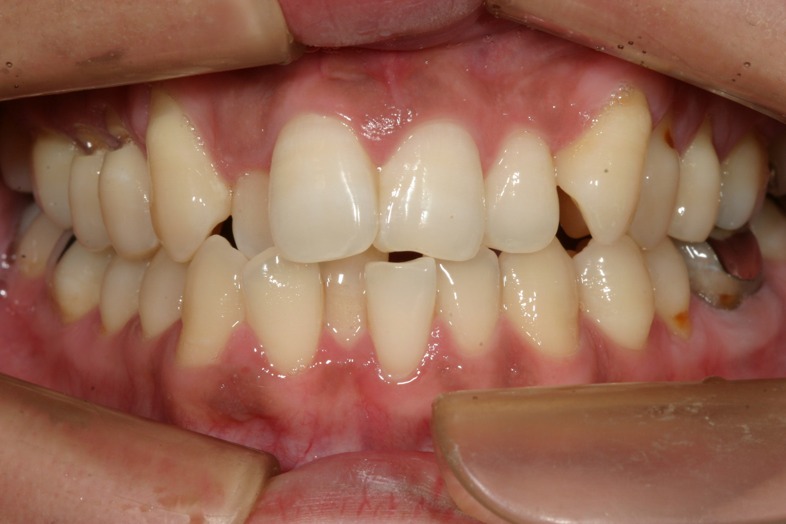
アーチがV字の為4本の前歯が並ばず叢生が激しいです。

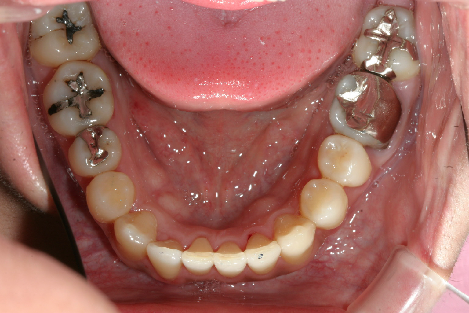
上顎がV字型の為下顎もV次型でその為叢生が存在します。

上下叢生の為横から見てもガタガタしてます。

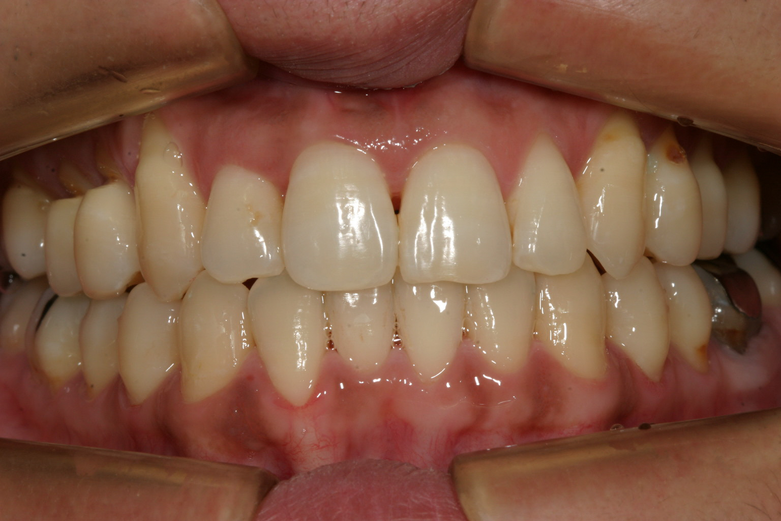
綺麗にアーチが改善しました。

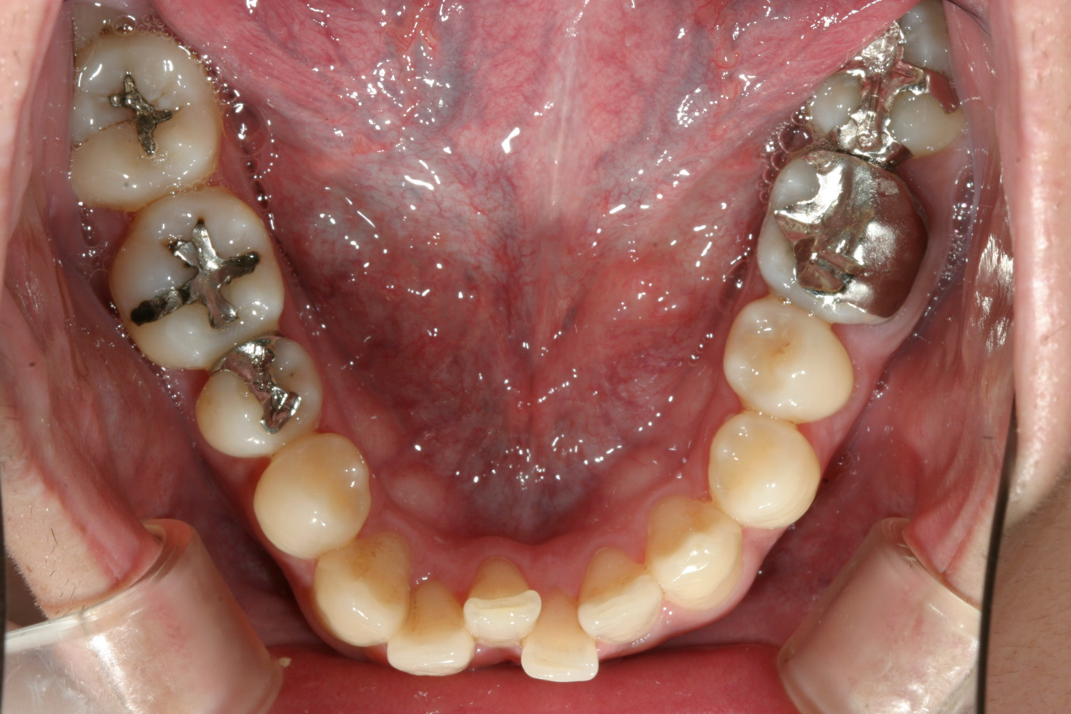
下顎も叢生も取れ綺麗に改善してます。

側面観も申し分ないです。
当院からのコメント
今回のケースは上下ともアーチ形状がV字の為スペースがなく4前歯が乱れている叢生にはよくあるケースです。
こういうケースの場合先ずアーチをU字に変える事から始まります。
インビザラインでアーチ形状を変えるにはマウスピースでは力が弱く少し時間を要します。
かみ合わせはさほど深く無い為、垂直的な大きな移動も無くアーチ形状さえ改善すればこの様に綺麗に配列しました。
又、アーチ形状をU字に変える事により出っ歯感も少し改善する事も出来ました。

