

お悩み
前歯のガタガタとかみ合わせを治したい。
年齢
27歳
性別
女性
治療に用いた装置
インビザライン
治療期間
2年
治療にかかった費用
治療詳細

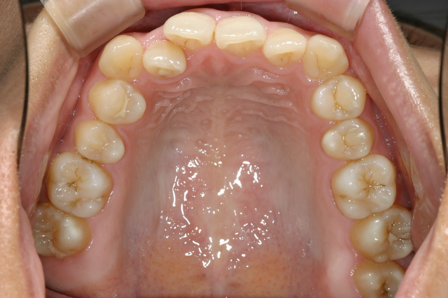
前歯に結構な叢生が見受けられます。

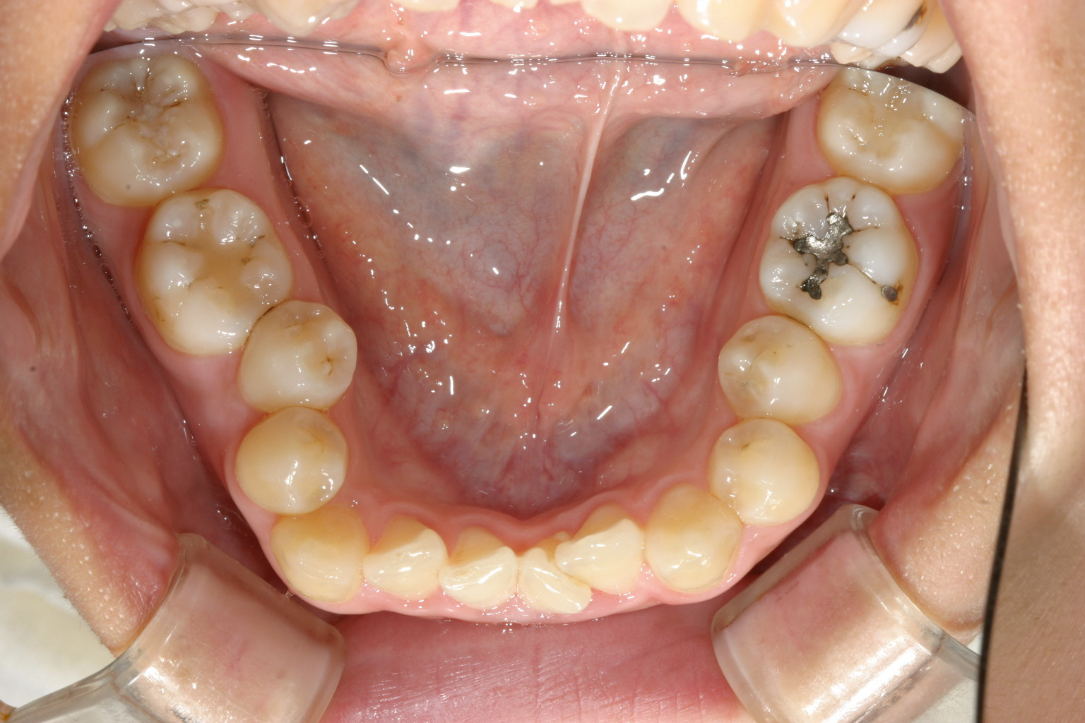
下顎にも上顎同様アーチがつぶれスクエアーになっています。

横から見るとオーバージェット問題無いです。

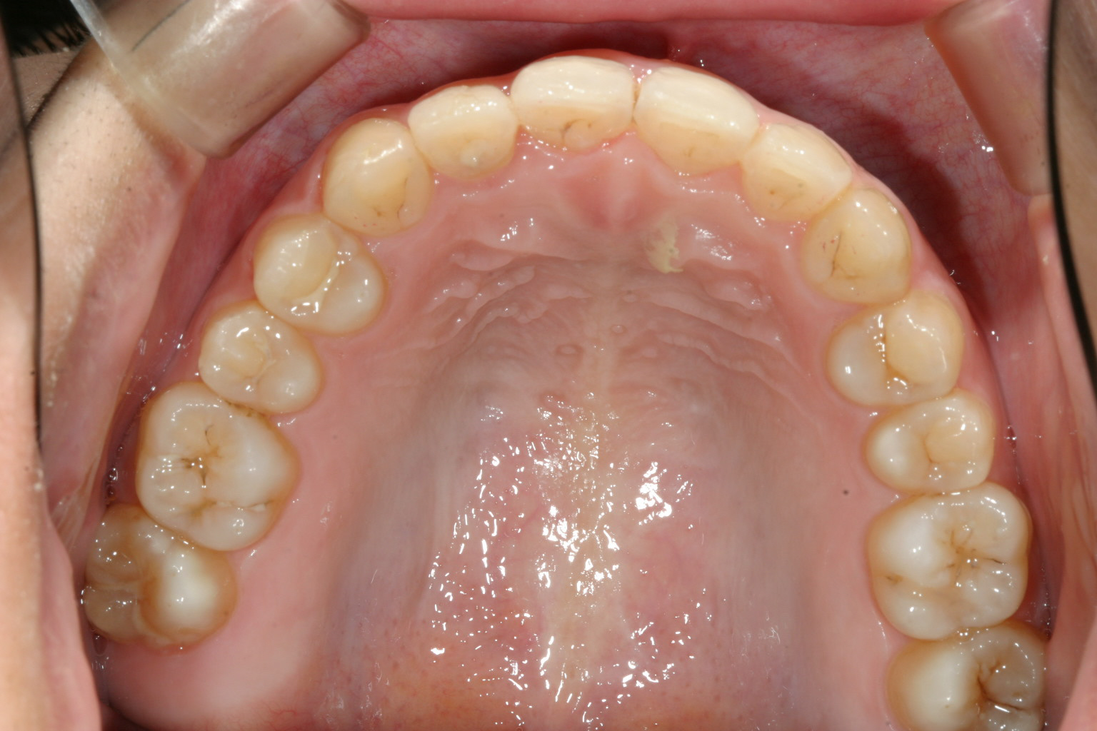
上顎は綺麗なアーチに改善されました。

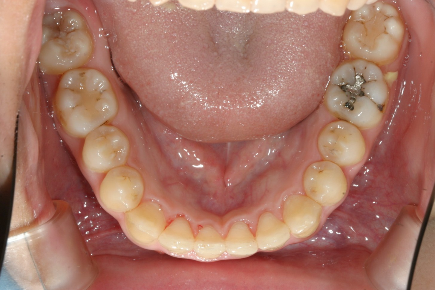
下顎も綺麗なアーチになっています。

綺麗なオーバージェットです。
当院からのコメント
今回のケースは上下前歯とも前歯部のアーチがつぶれスクエアーになっている為、叢生が出ているケースです。
この様な場合臼歯部のかみ合わせに問題無い為、前歯部のアーチを綺麗にしてあげれば自動的に改善するケースです。
しかしこのケースをインビザラインでせずにワイヤー矯正すればさほど難しくないのですがインビザラインで治療するとなると前歯の歯がパラパラしていて回転させないといけない部分もある為、患者様がしっかりチューイーと言われるゴムチューブを噛んで頂けないとなかなか歯が上手く回転しません。
問題はいかに患者様が自分の口にどれだけ向き合い時間をかけて頂けるかにかかっています。

