

お悩み
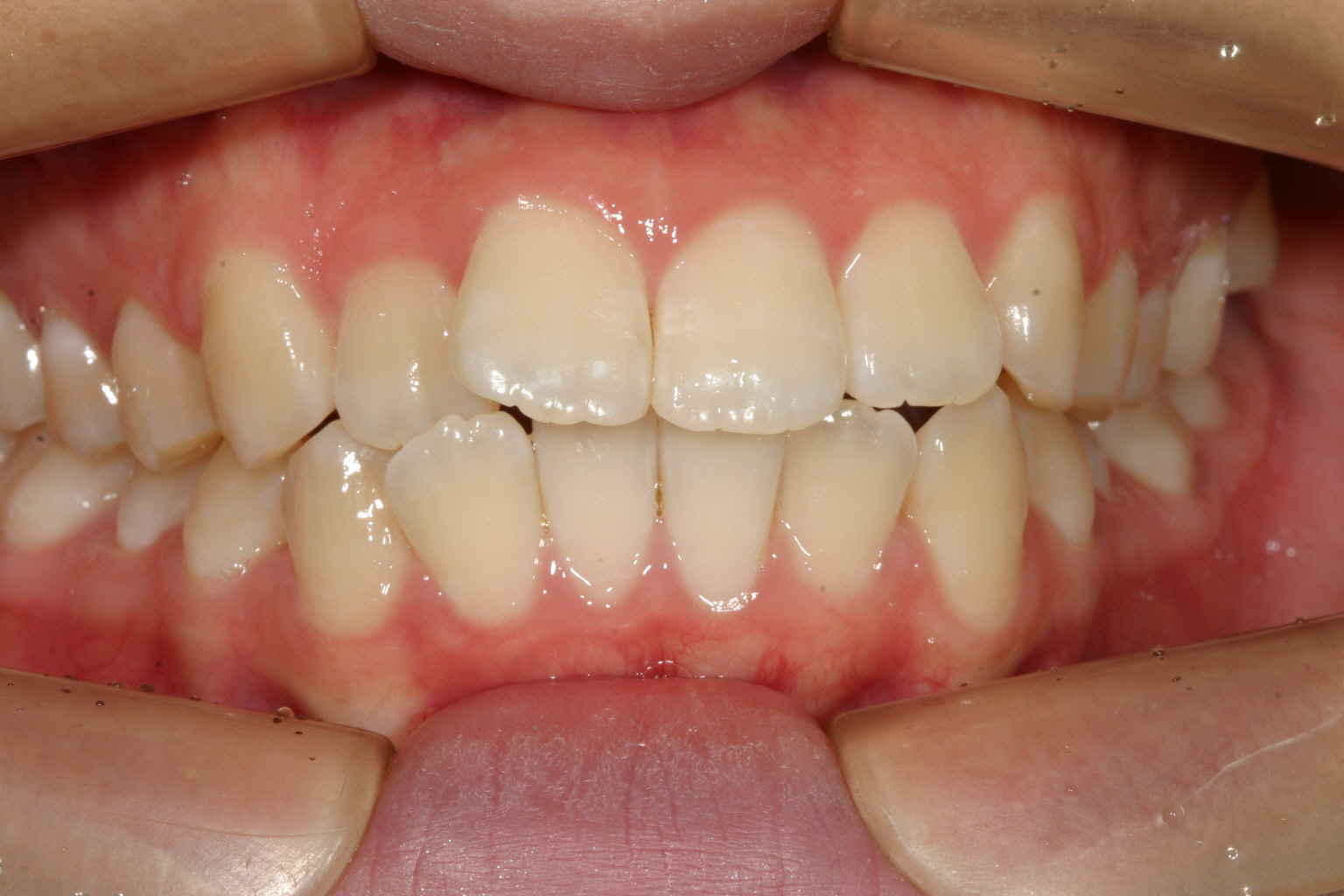
前歯のガタつきが気になる。
年齢
24歳
性別
女性
治療に用いた装置
インビザライン
治療期間
1年3ヵ月
治療にかかった費用
治療詳細

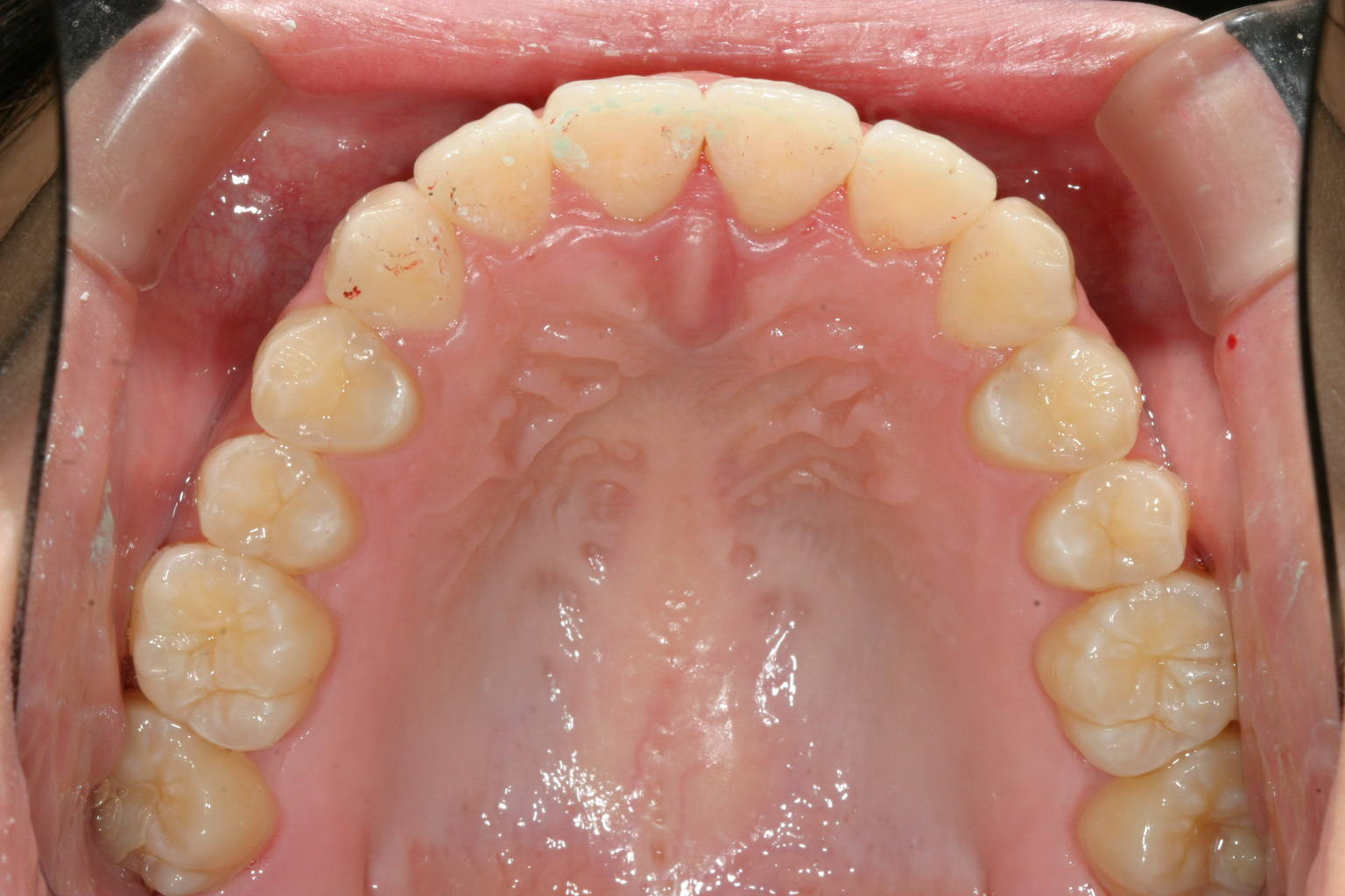
前歯の犬歯間が狭い為前歯が上手く並びません。 よくあるケースですね!

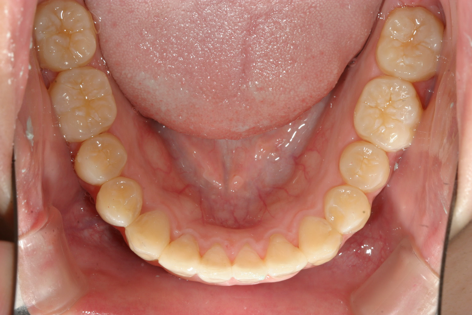
下顎は僅かですが叢生が有ります。

前歯が捻じれている為少し出て見えます。

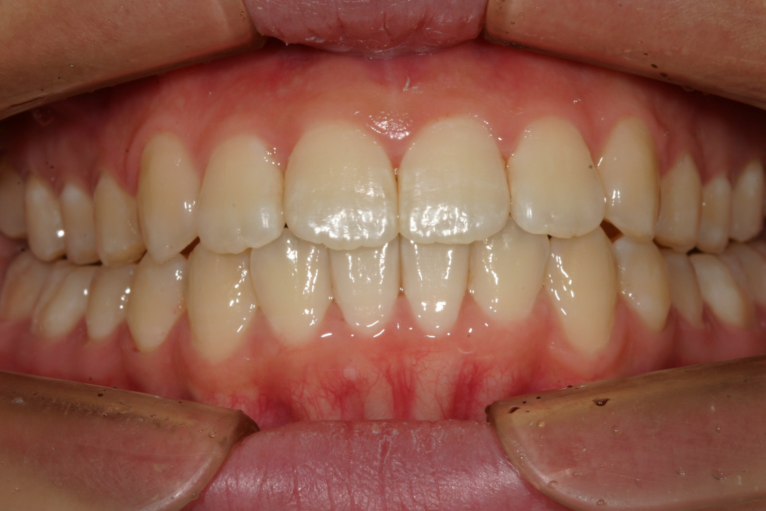
犬歯間を広げて綺麗に改善しました。

下顎も綺麗に仕上がりました。

オーバーバイトも申し分ありません。
当院からのコメント
このケースは当院の症例の中でも最もポピュラーなケースで犬歯間幅径が狭い為に起こる叢生です。
少しアーチをU字に変更する事によりこの様に改善出来ます。
二番目の歯が中に入るとそこに物が溜まり虫歯や歯周病の原因になります。
やはり綺麗に改善された方が他人から見ても印象良く好感度持って頂けるのではないでしょうか?
ほんの少しの努力でこの様に生まれ変わる事が出来ます。

