

お悩み
前歯のねじれとかみ合わせが深い。
年齢
38歳
性別
女性
治療に用いた装置
インビザライン
治療期間
1年2ヵ月
治療にかかった費用
治療詳細

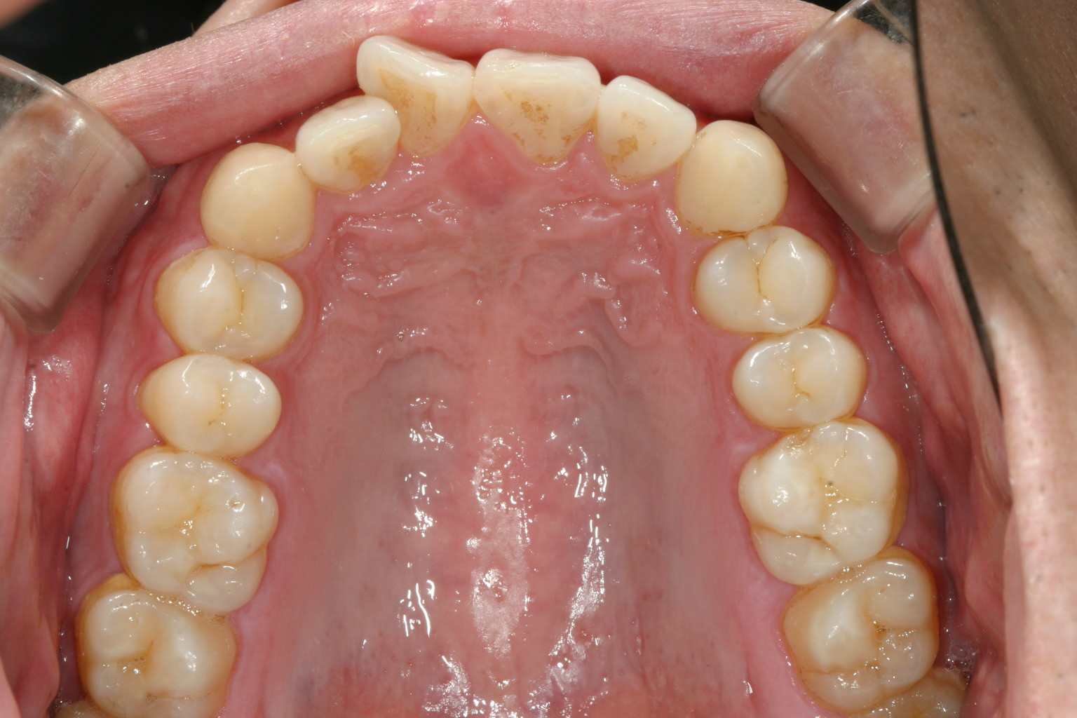
右上の前歯が少し捻転しています。

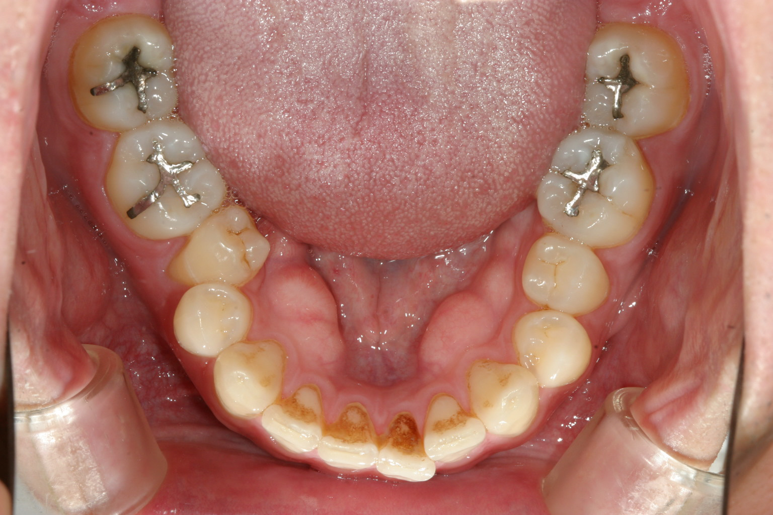
下顎には前歯に叢生が見られ小臼歯部が内方傾斜しています。

捻転歯が有る為に少し前突感があります。

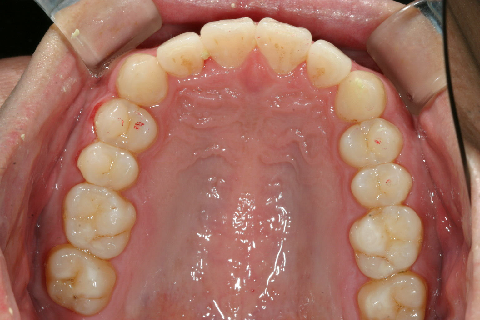
捻転も綺麗に改善です。

下顎も綺麗なアーチに改善しました。

前突感も有りません。
当院からのコメント
今回のケースは下顎の臼歯が内方に傾斜している為咬合高径が低くなり結果として
かみ合わせが深くなっていました。
こう言った場合まず上下顎のアーチを広げるとともに、下顎の臼歯の傾斜も立て直す事により咬合高径も上がり結果として叢生も取れ上下前歯のガタつきも改善しました。
インビザラインと言う装置は咬み合わせの深いケースを浅くするのが結構苦手な装置で難儀する事が多いのですが、今回の様に下顎臼歯を立てる事により噛み合わせが浅くなってくれましたので、ホッとしました。笑
今回は患者様が一生懸命頑張って頂いたお陰で難なく治療が終了したと言う感じです。
この程度の治療でしたら一年余りでこれくらいまで治療できると言ういい症例です。
このケースもかなり古い症例ですから1年2ヵ月もかかりましたが、今だと加速矯正装置を使用してもらいますから半年もかからずに終了すると思います。
インビザラインも進化し又加速矯正装置なんて言うある意味新幹線に乗るような装置も利用出来いい時代になりました。

