

お悩み
臼歯部のガタガタが気になる。
年齢
26歳
性別
女性
治療に用いた装置
インビザライン
治療期間
1年9カ月
治療にかかった費用
治療詳細

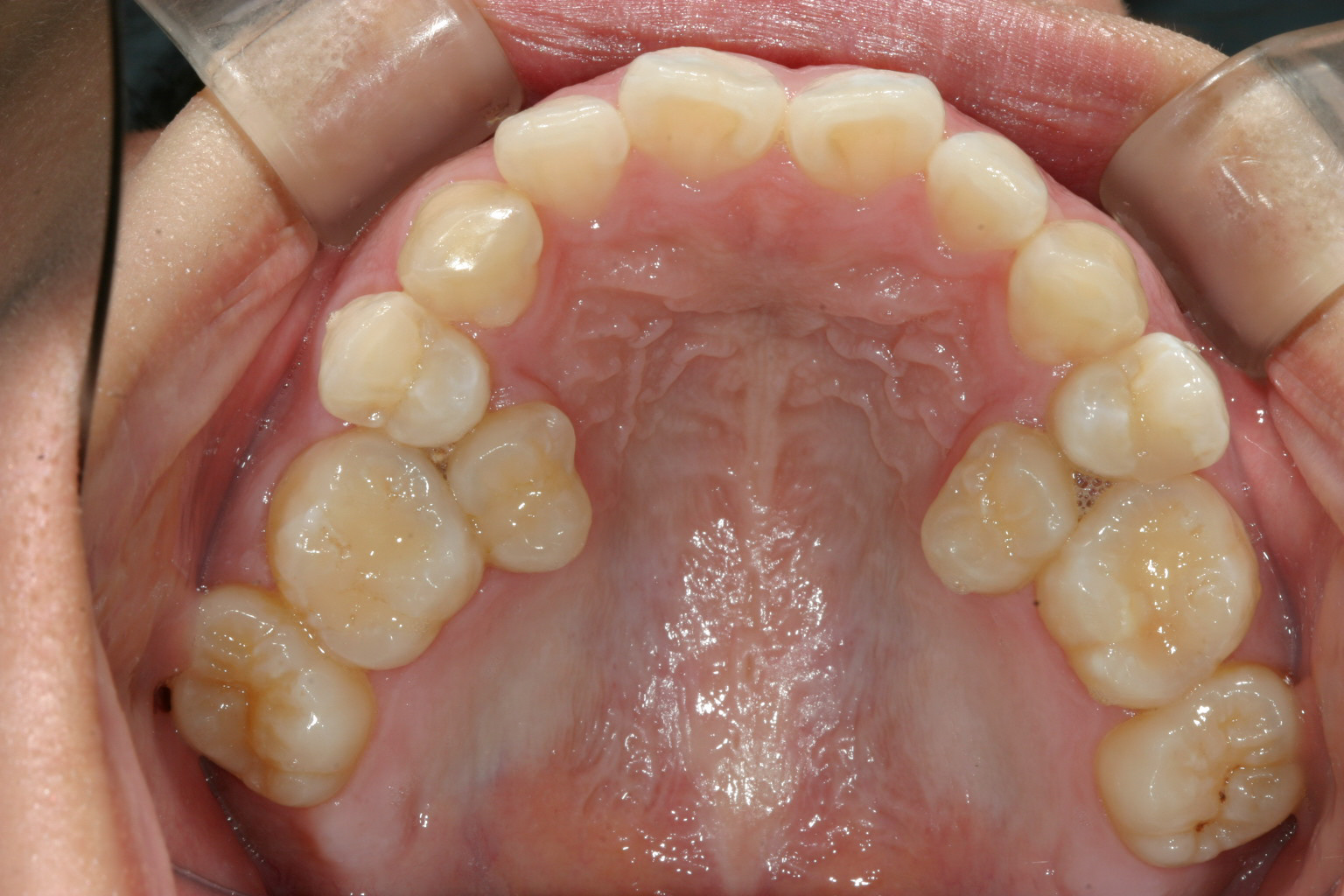
珍しいケースですが上顎小臼歯が内方へ飛び出しています。 前歯も少し翼状捻転しています。

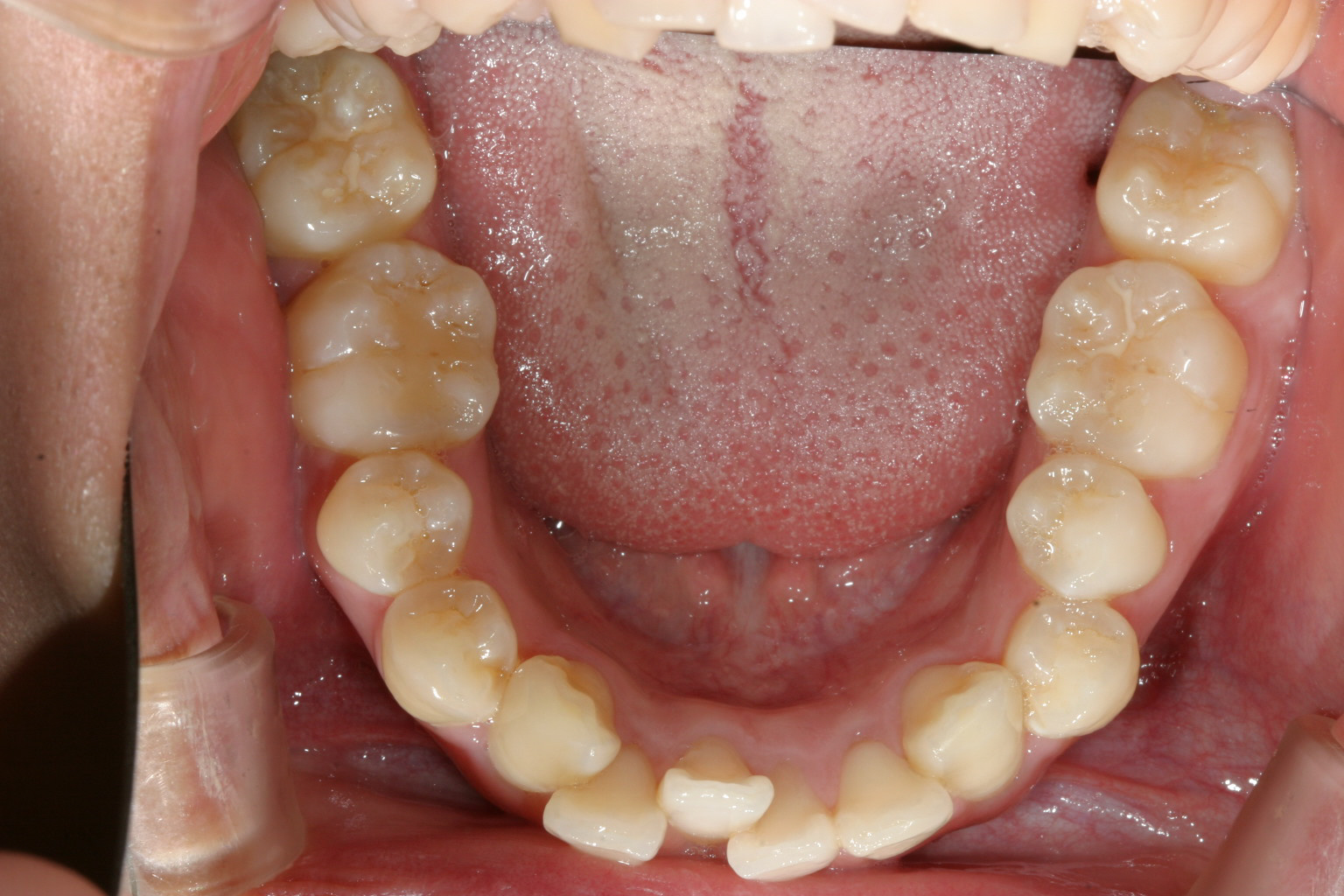
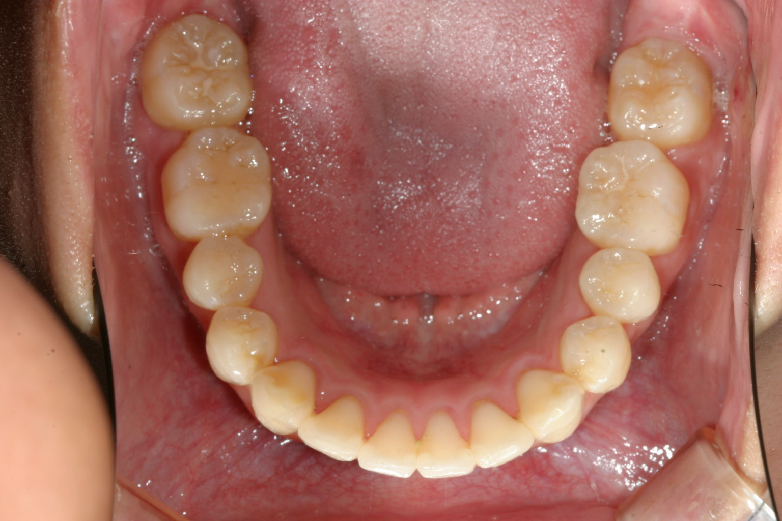
下顎前歯に叢生が見られます。

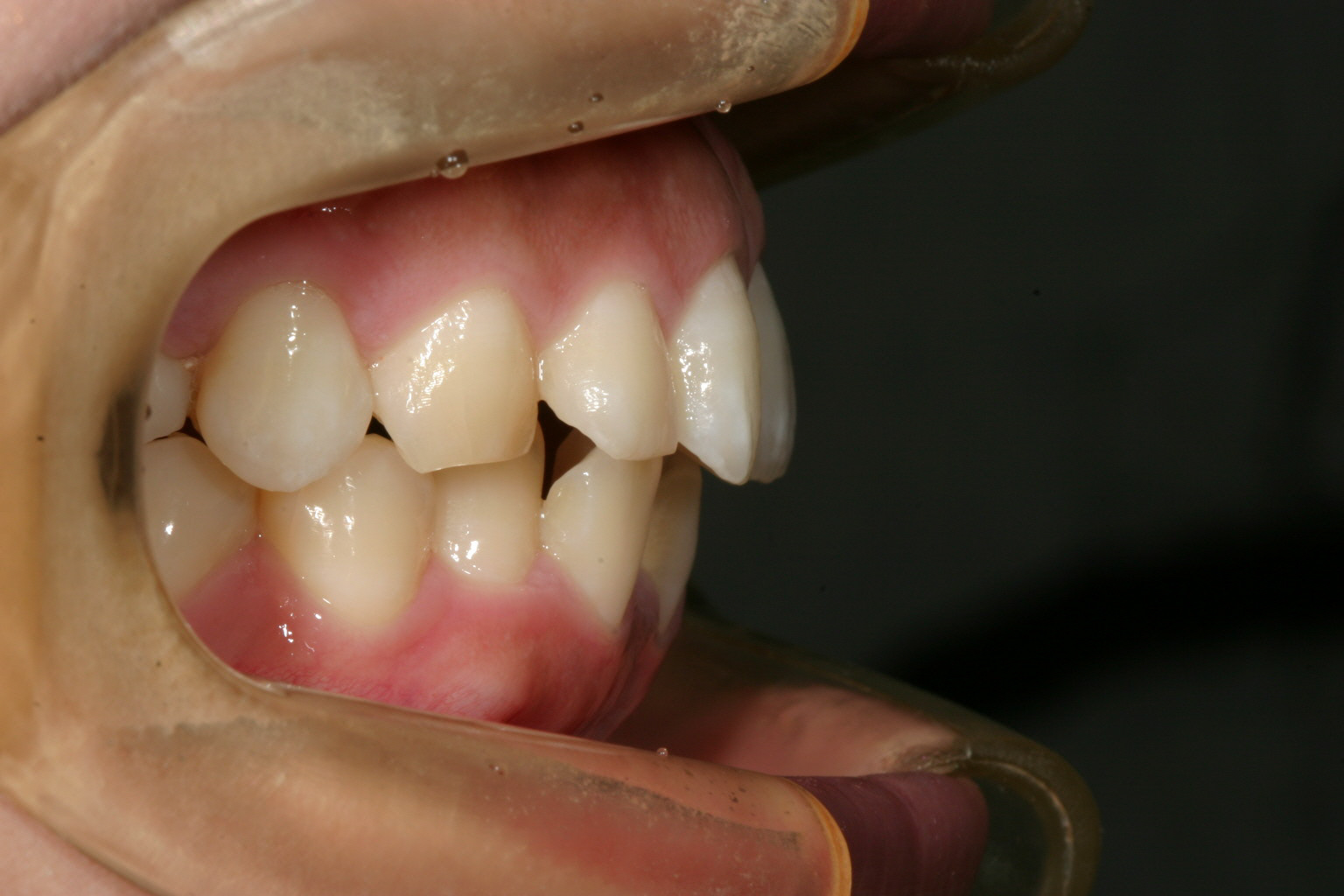
少しオーバージェットを改善した方がいいですね~

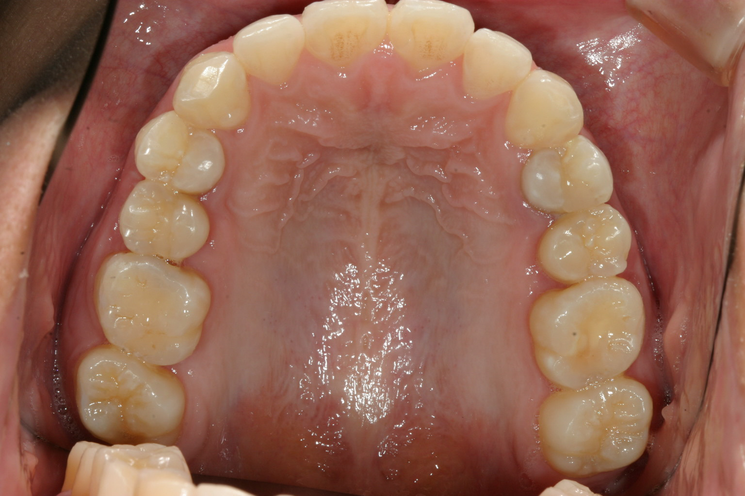
小臼歯、前歯翼状捻転等 綺麗に改善されました。

下顎も叢生綺麗に取れています。

オーバーバイトも綺麗になりました。
当院からのコメント
今回は稀なケースで小臼歯が内方に飛び出したというか、はじき出されたケースです。
私としましては小臼歯を入れるスペースが完全に閉ざされている為、抜歯してもいいかと考えましたが患者様の希望で抜歯せずに
そのまま歯列に戻す事と致しました。
最初はインビザラインでこの様なケースは始めてでどうなる事かと思いましたが患者様の努力により綺麗に歯列に戻りました。
今回の勝因は患者様が一生懸命患部でチュウイを噛んで頂いたお陰です。
私もインビザライン開始しまして約18年程になりますが如何に真面目に自分の口に時間をかけて向かい合うかによって結果は大きく変わる事を今回のケースで実感させられました。

