

お悩み
前歯 出っ歯 ガタガタ 二番目へこんでる 叢生 翼状捻転
年齢
24歳
性別
女性
治療に用いた装置
インビザライン
治療期間
1年2ヵ月
治療にかかった費用
治療詳細

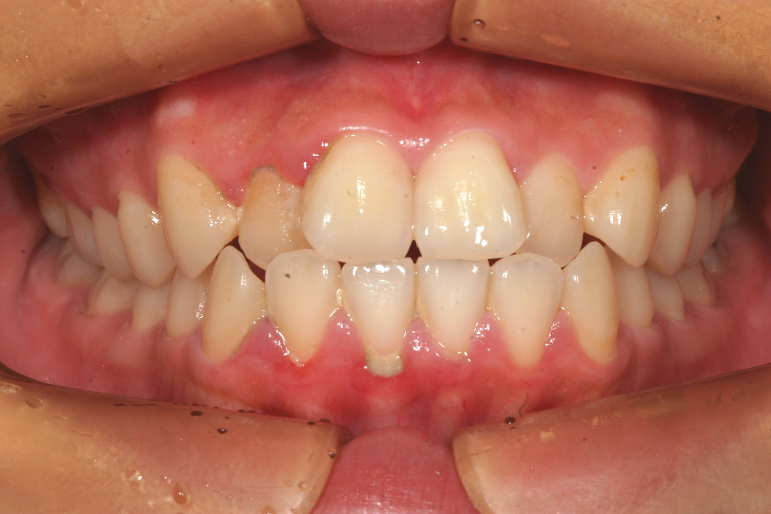
かなりキツイ翼状捻転です。犬歯間幅径が狭いです。

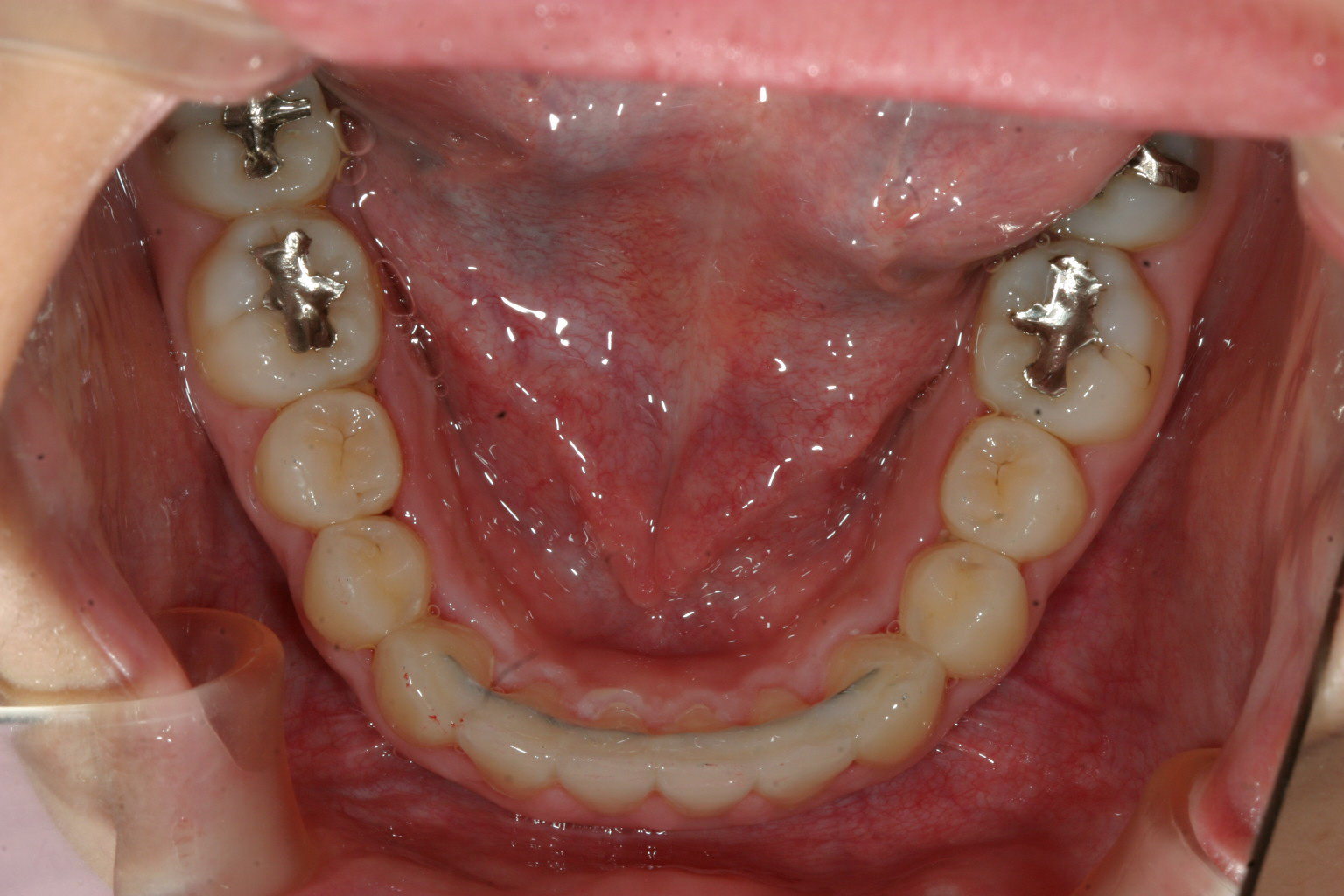
下顎はさほど問題無いですね~

二番目が入っている為少し出加減が気になります。

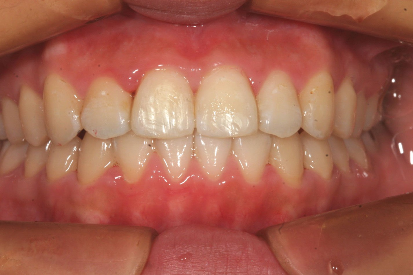
犬歯間を広げた為綺麗に並びました。

下顎も少し犬歯間を広げてます。

オーバージェットも綺麗になりました。
当院からのコメント
典型的な犬歯間幅径が狭い為の叢生(翼状捻転)です。
犬歯間を広げることで簡単に改善出来ます。
かなりひどい叢生に見えるのですが治療期間を見てお分かり頂けますように、さほど難症例では有りません。
きっちり真面目にアライナーを入れてチューイーを噛んで頂ければこの様に素晴らしい歯並びが手に入ります。
皆さんも頑張ってみませんか?

