

治療詳細

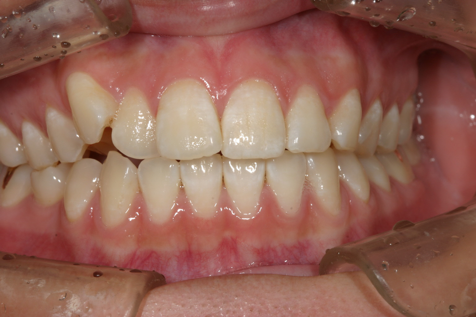
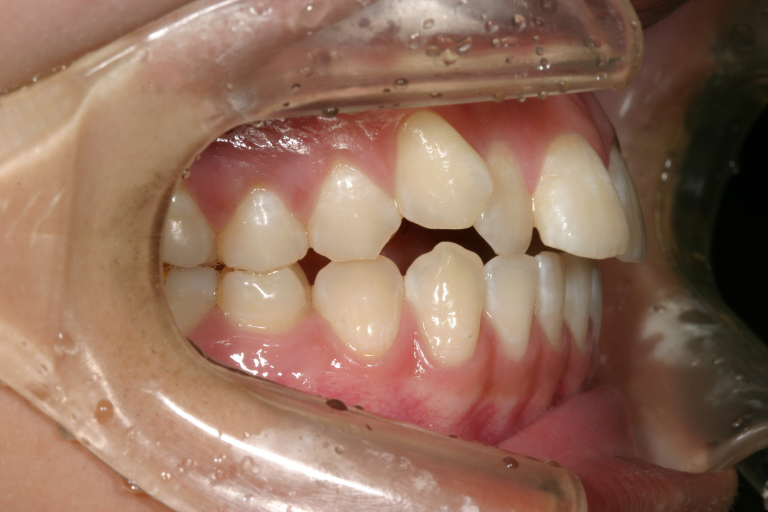
右の犬歯の突出が気になりますね~ 口の中を見ると単に糸切り歯が出てるだけなんだから入れればいいと簡単に考えるのですが 犬歯が並ばないのは奥歯が全体的に前に来ている為に犬歯の入るスペースが無く外に飛び出しているんです。 その為部分ワイヤーを用いて犬歯以後の臼歯を全体的に遠心移動(後ろに送る事)しました。

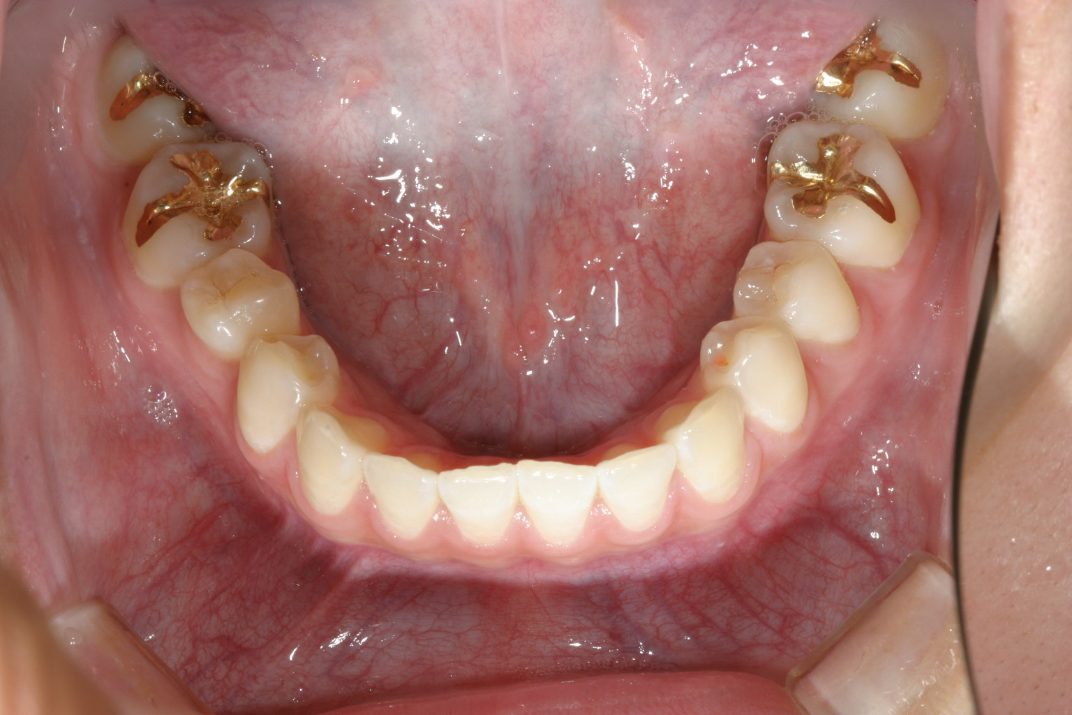
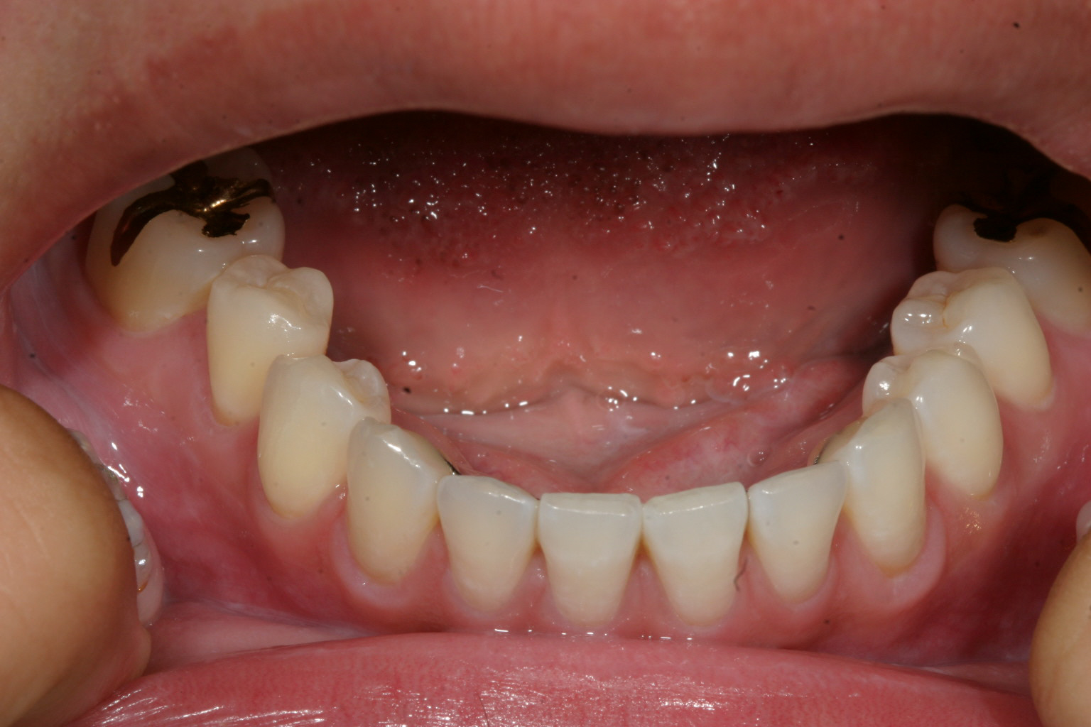
下顎は一見綺麗に見えるのですが右の奥から3本目を見てください。 歯が90°回転しているのが見受けられます。 こういった歯をインビザライン単独で治療するにはかなり難易度が高く治療に相当の期間がかかり 結果として上手く戻らない事が多いです。 その為今回は部分ワイヤーを併用しました。

犬歯が飛び出して奥歯が上手く噛めていません。

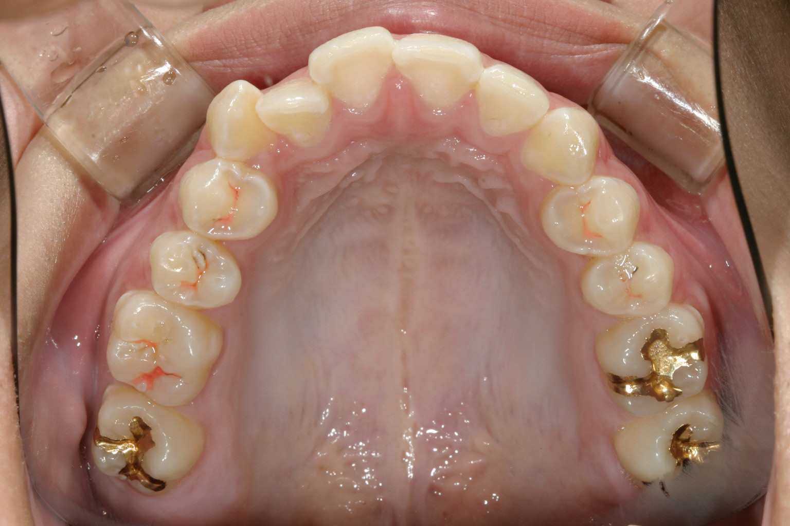
インプラントとワイヤーとバネの力を利用して右側臼歯を遠心移動してるのが分ります。

マルチループワイヤーを用いて右奥から3番目の小臼歯が上手く回転し終わりました。

上にインプラントとワイヤーとバネです。 下はマルチループです。

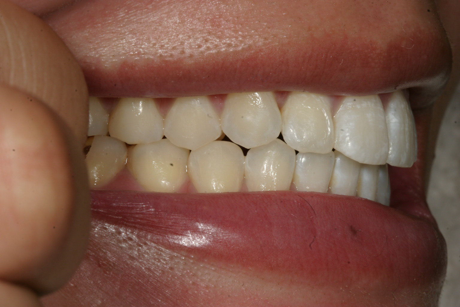
綺麗に並びましたね〜

下顎も改善しました。

噛み合わせもバッチリです。

回転途中の写真です。

写真上部にインプラントが見えます。
当院からのコメント
この症例は私がインビザラインを導入して最初に関わった症例です。
インビザラインを使用しての歯の動かせ方が分からずかなり難儀した思い出が有りますが、この症例を乗り越えたお陰でその後色々な症例をこなす事が出来る様になったと言っても過言ではありません。
この症例の様にインプラント、ワイヤー、コイルスプリング、インビザラインを併用致しましても
別途費用負担は頂きません。
当院では全てコミコミ価格となっております。
特に難儀したのが右上の奥歯の位置関係が悪く、先ずは右上の親知らずを抜歯してそこに奥歯を順番に後ろへ送っていくと言う手順です。そう言うふうにする事により飛び出した犬歯をアーチに乗せると言う事が可能になりますが手間のかかる仕事でした。
この様な症状でお悩みでしたらいつでも遠慮無く当院にご相談下さい。

