

お悩み
前歯がガタガタしていて見た目も悪く、又食べ物がつまる。
年齢
25歳
性別
男性
治療に用いた装置
インビザライン
治療期間
1年7か月
治療にかかった費用
治療詳細

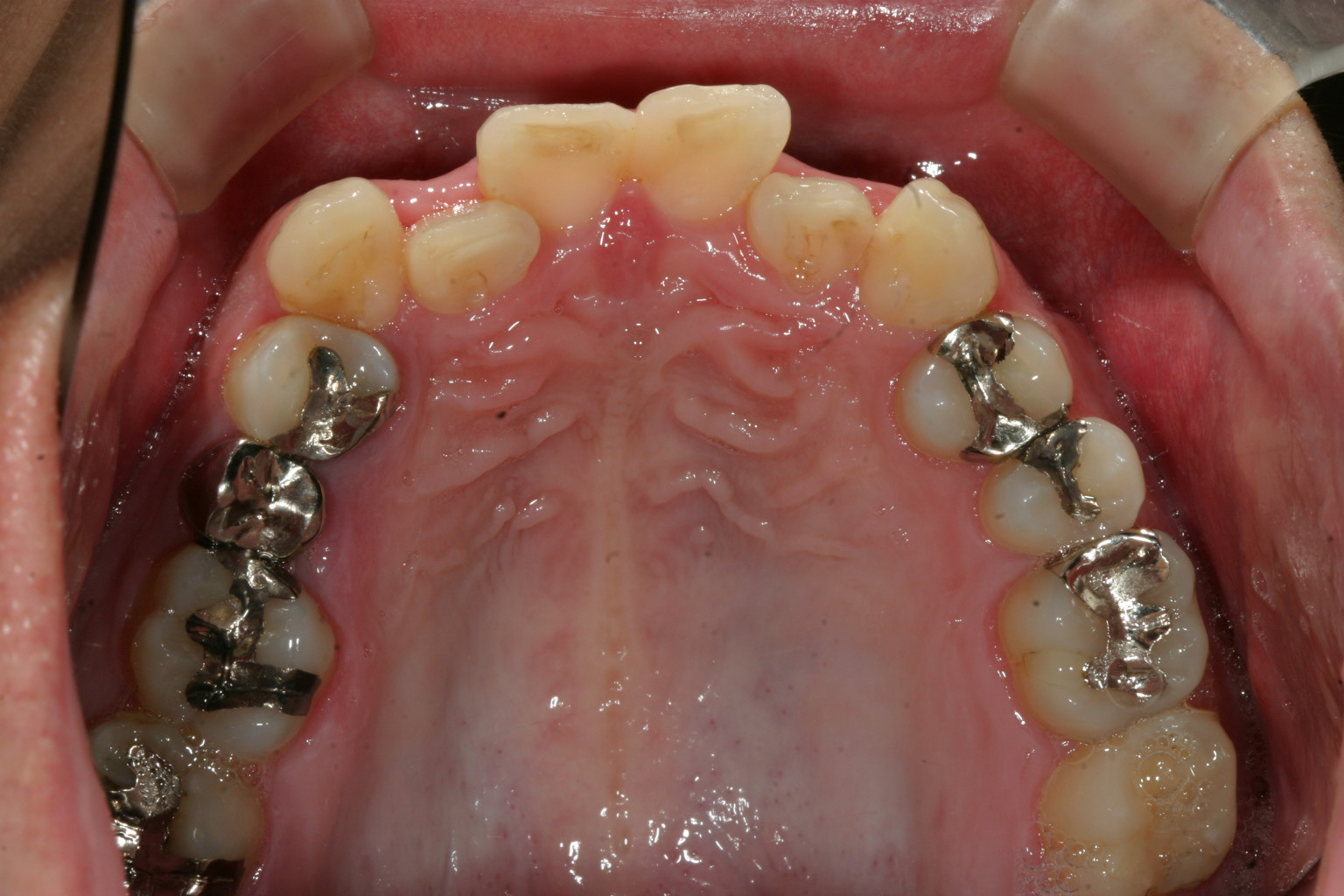
前歯が結構飛び出し歯磨きもしにくいみたいです。

下の顎も飛び出していますね!

横から見た感じすが下の前歯に上の前歯が被りオーバーバイトになってるのが分かります。

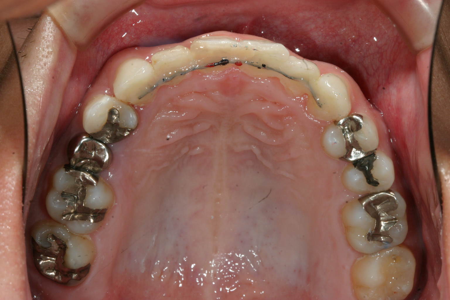
綺麗に並びました。 裏側からはワイヤーの保定装置で固定しています。

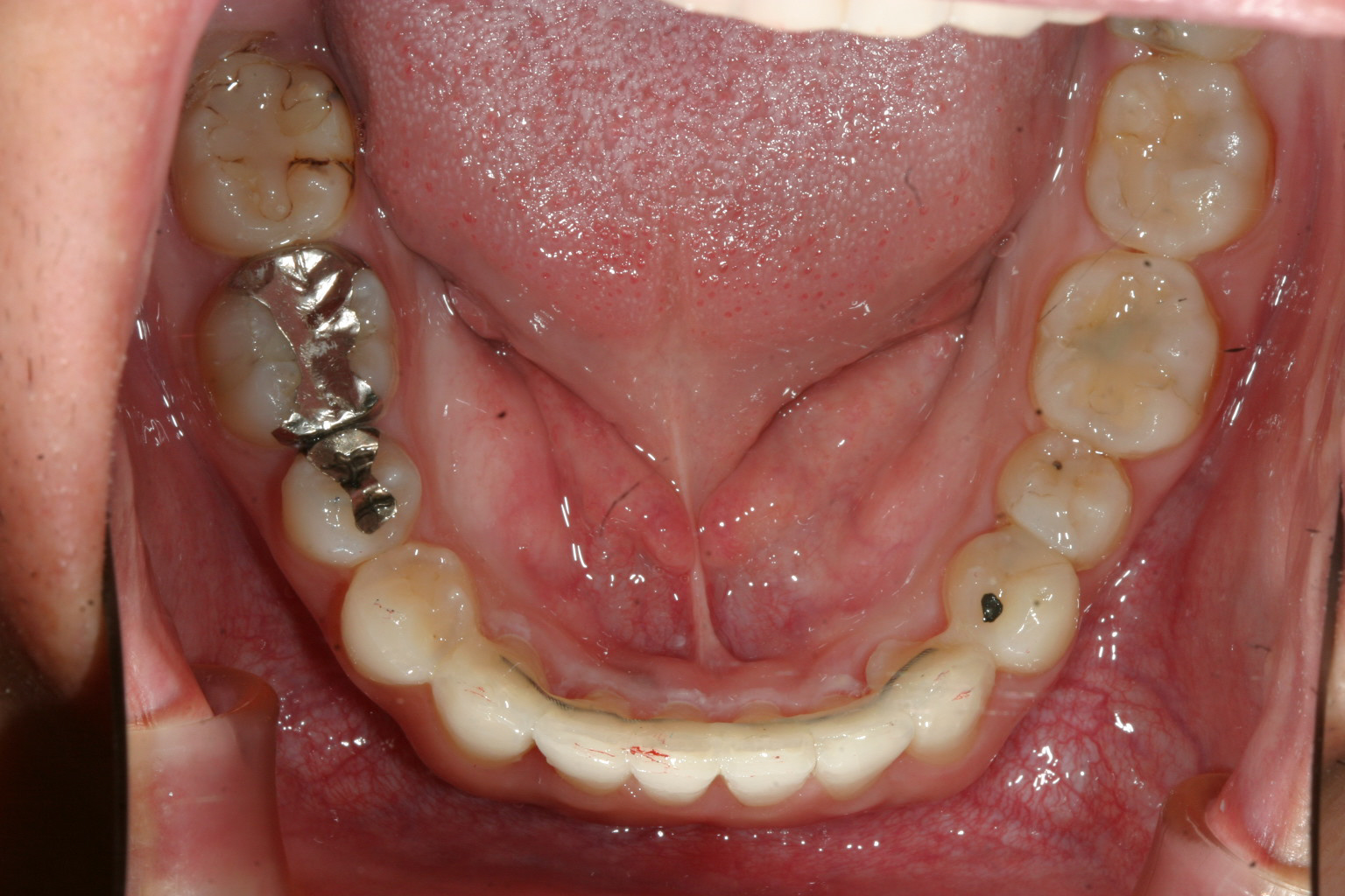
下顎も依然と比べると見違える程綺麗になりました。

下の歯が綺麗に見えますでしょ? オーバーバイト(過蓋咬合)も改善されています。
当院からのコメント
インビザラインによる叢生と過蓋咬合の改善例です。
この様な歯列で生活されてますと食後に一定の場所に食物残渣が溜まり、ばい菌が繁殖し歯周病、虫歯等に罹患する可能性が増します。
ですから一日も早くこの様な歯列から脱却される事をお勧め致します。
加速矯正装置使っていたらこの程度の矯正治療は一年以内で終了しています。
現在当医院では積極的に加速矯正装置を利用し、どの様は症例でも一年前後で終了出来る様なプランを
立てています。
患者様の頑張り次第でこの症例の様に見違える笑顔を取り戻すお手伝いをさせて頂きます。
歯にコンプレックスをお持ちの患者様はお気軽に相談にお越しください。
この様な症状でお悩みでしたらいつでも遠慮無く当院にご相談下さい。

