お悩み
前歯のでこぼこの見栄えを改善したい。
年齢
35
性別
女性
治療に用いた装置
インビザライン
治療期間
2年10か月
治療にかかった費用

治療詳細

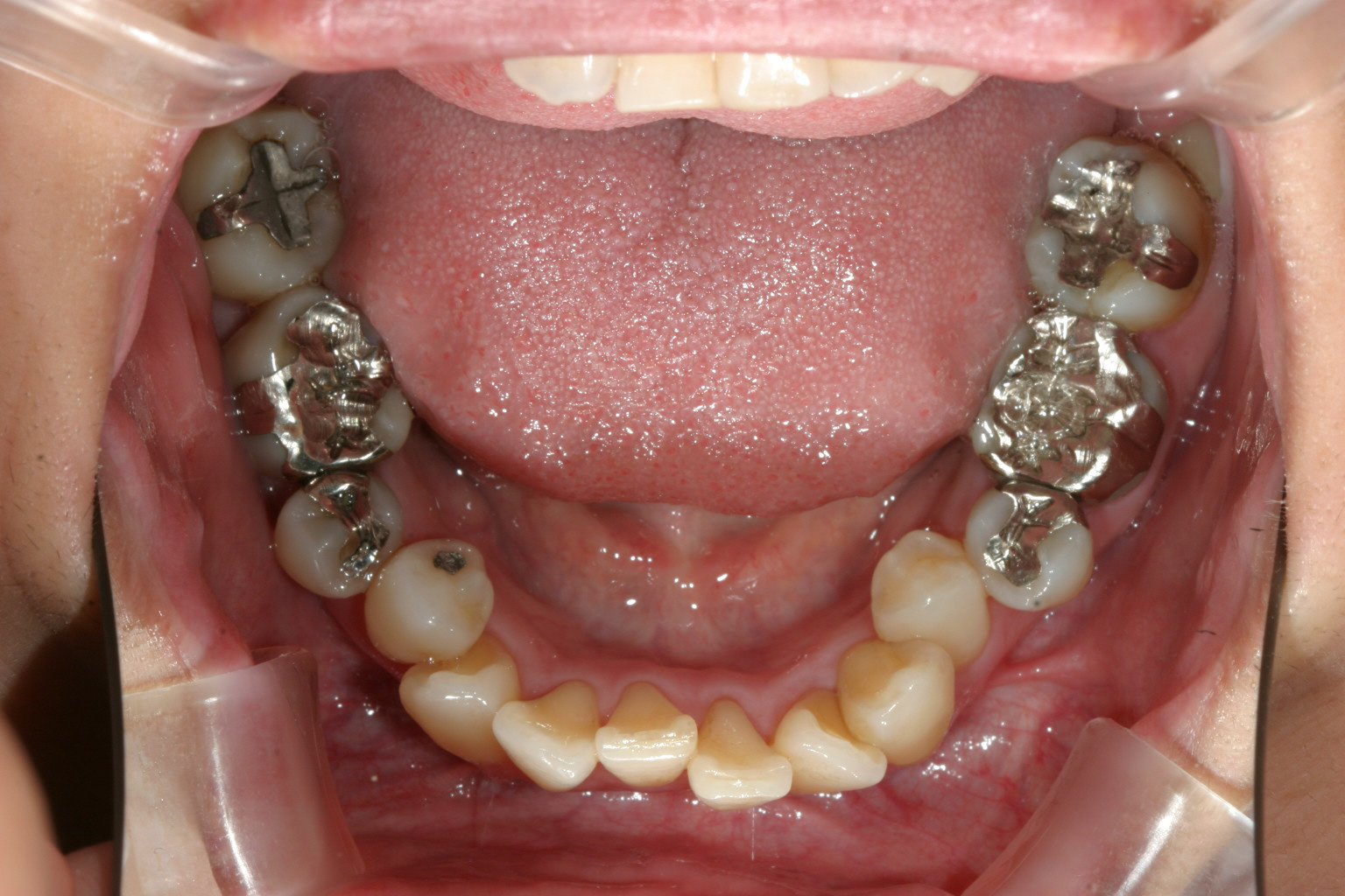
かなり酷くガタガタになってますね~ 数本の回転してる歯が在りますね~

下顎も歯があちこち回転してますでしょ~ これはかなり大変です。

横からの見栄えも少し出てます。

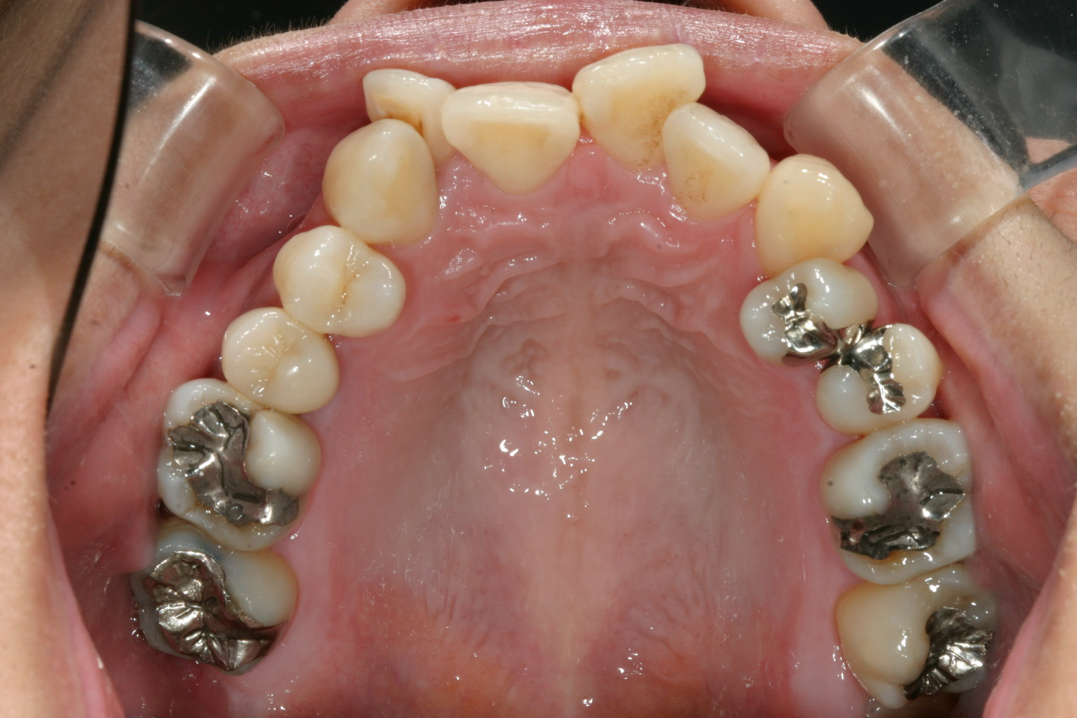
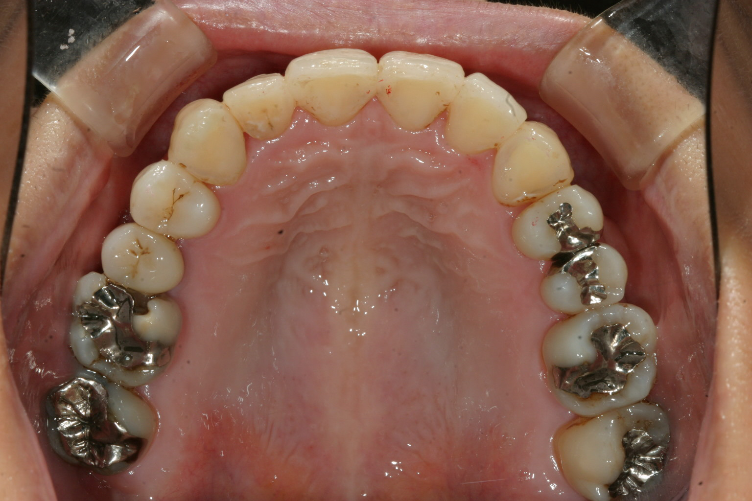
時間をかけてここまで改善しました。 最初と比べると別人の様です。

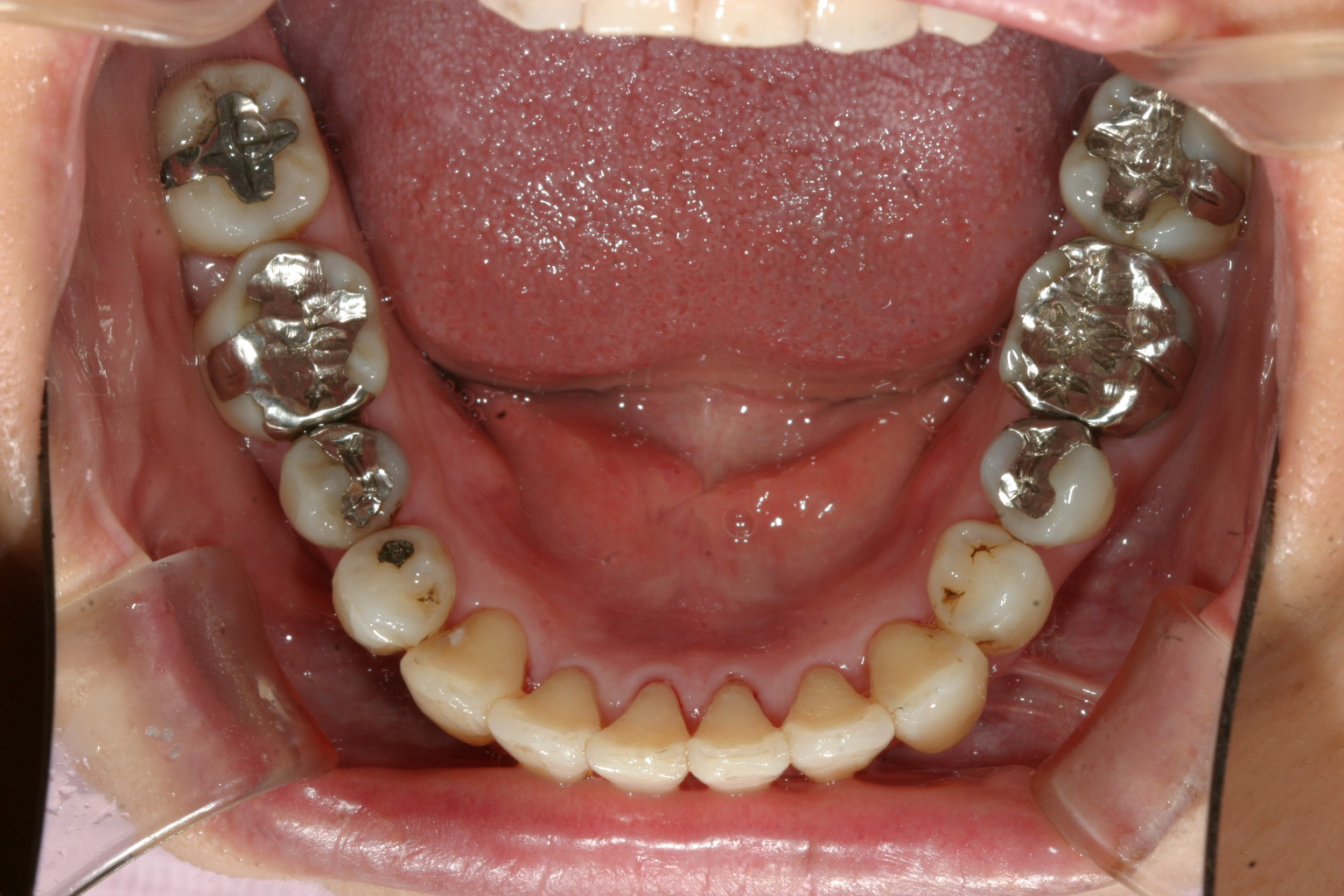
下顎もすごいでしょ!

前突感もきれいに治まりました。

当院からのコメント

インビザラインでも患者様の頑張り次第で抜歯しなくてもここまで出来ます。

インビザライン矯正は医院サイドで治療のプランを立てて海外より装置を手元に取り寄せ、使用方法を指導する迄が私の仕事で、治療は患者様が如何に自分の口に向き合い、時間を割くかによってここまで変わりますと言ういい症例です。

ここまでガタガタが酷いと少し油断して手を抜くと直ぐに装置の不適合が生じます。
当医院ではチュウイと言うゴムホース状のチューブを朝昼晩10分程度はしっかり噛み締めて下さいと患者様に
再三お願いしますが中々守って頂け無いのが現実です。

私のインビザライン17年経験させて頂きお伝え出来きる成功のコツは2つです。

      ・食事以外の時間は装置を口の中に装着する
・朝昼晩チュウイを10分程度噛み締める

この様な症状でお悩みでしたらいつでも遠慮無く当院にご相談下さい。