

お悩み
前歯のガタガタを直したい。
年齢
40歳
性別
女性
治療に用いた装置
インビザライン
治療期間
1年3か月
治療にかかった費用
66万円
治療詳細

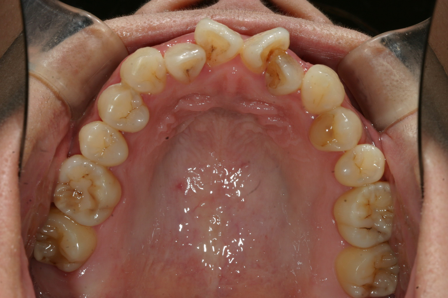
上顎1番が鳥の翼のように反転してますね~この様な症状を翼状捻転って言います。

下顎の症状は軽度ですね~

横から見た出っ歯感は前から見た感じより大した事無いですね!

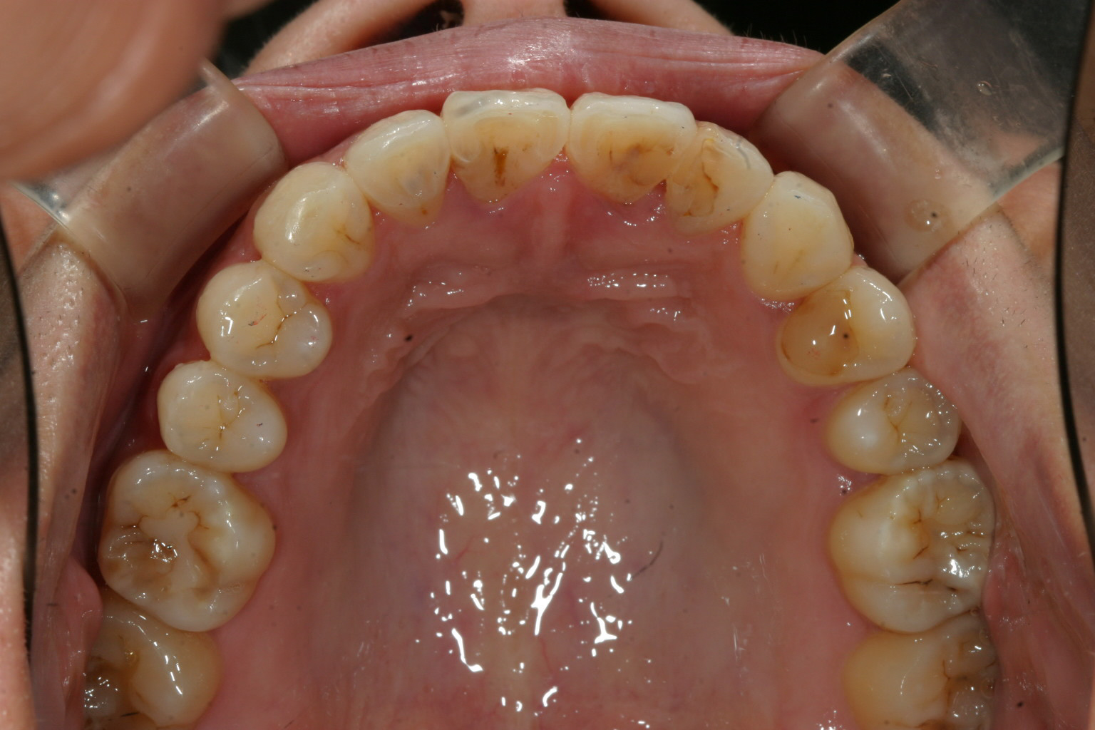
綺麗に改善してますね~ 患者様がかなり頑張ってチューイ咬んで頑張ってくれました。

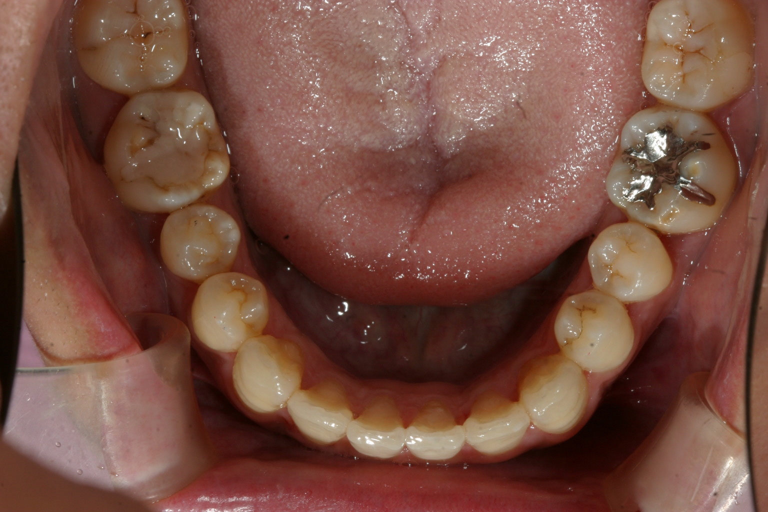
下顎もいい感じです。

前突感も最高です。
当院からのコメント
当医院ではインビザラインが日本に導入されて直ぐよりインビザライン治療を行っております。当初は日本に治療の指導者も居なかった為アメリカ、ヨーロッパの海外の先駆者の先生方のセミナーを聞くために度々海外講習に出かけました。
今となってはこの程度の翼状捻転症例の治療は何とも思いませんが、
当初は苦労した事を思い出します。
出っ歯患者様の頻度で翼状捻転は多い症例です。
この様な症状でお悩みでしたらいつでも遠慮無く当院にご相談下さい。

