

お悩み
人から出っ歯出っ歯って言われてからかわれる。
年齢
23歳
性別
女性
治療に用いた装置
インビザライン
治療期間
2年4か月
治療にかかった費用
66万円
治療詳細

上顎前歯が飛び出しています。

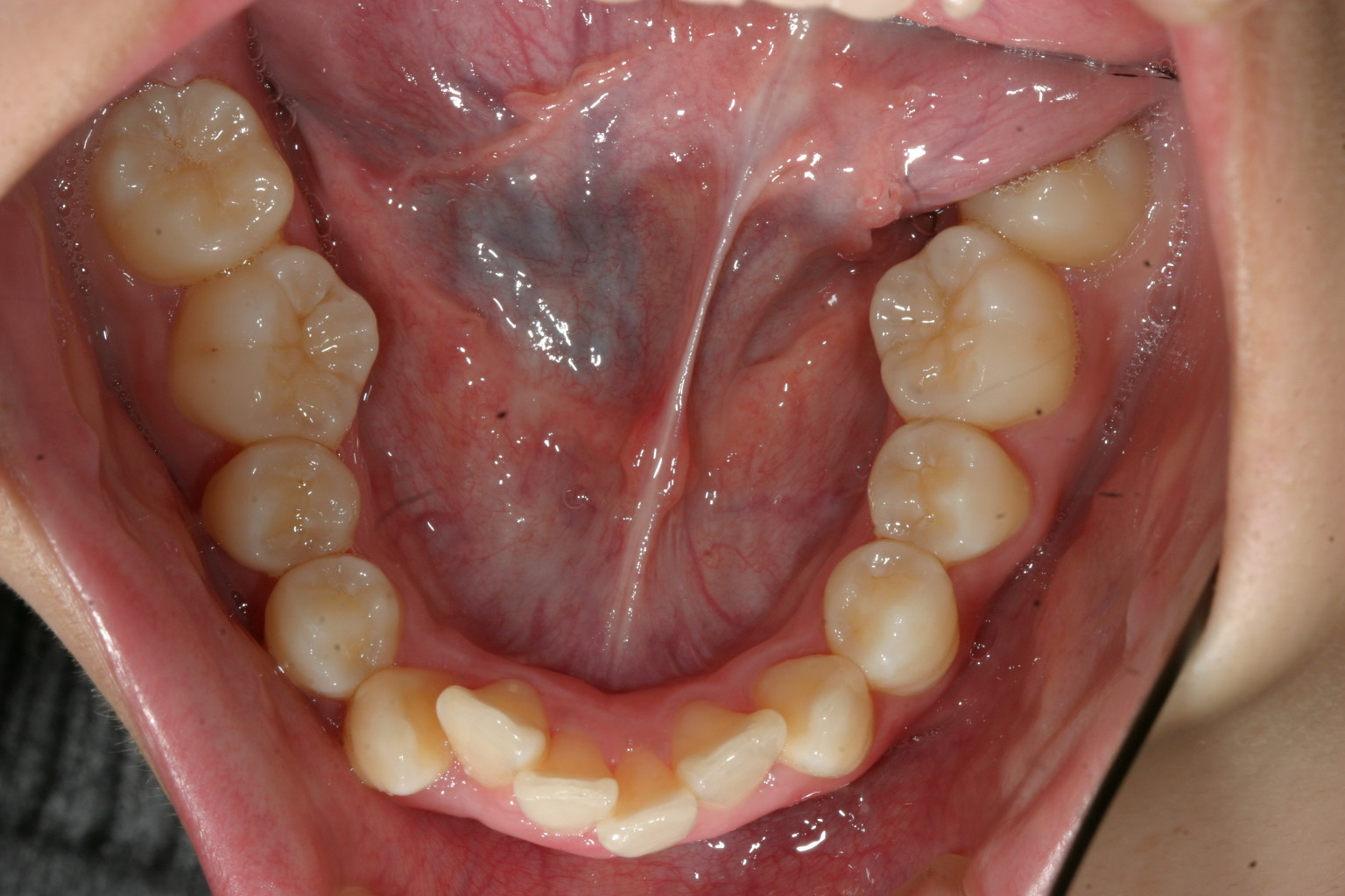
下顎もかなり乱れています。

横から見た出加減です。

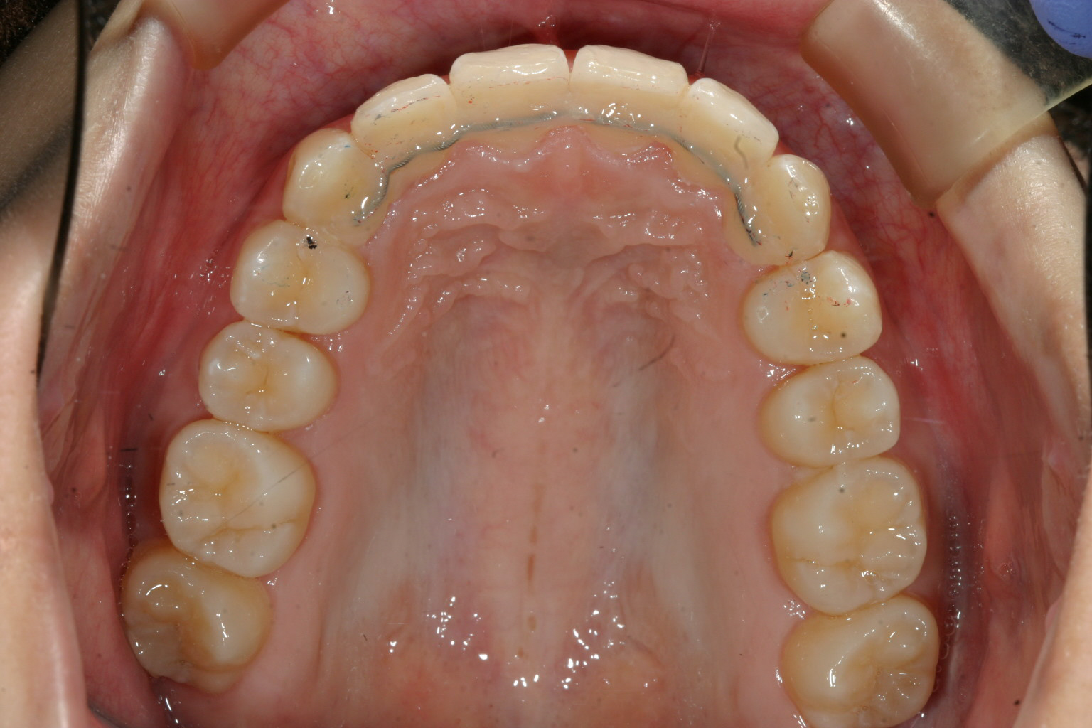
上顎きれいに並びました。 最終リテーイナーとしてワイヤーで止めています。

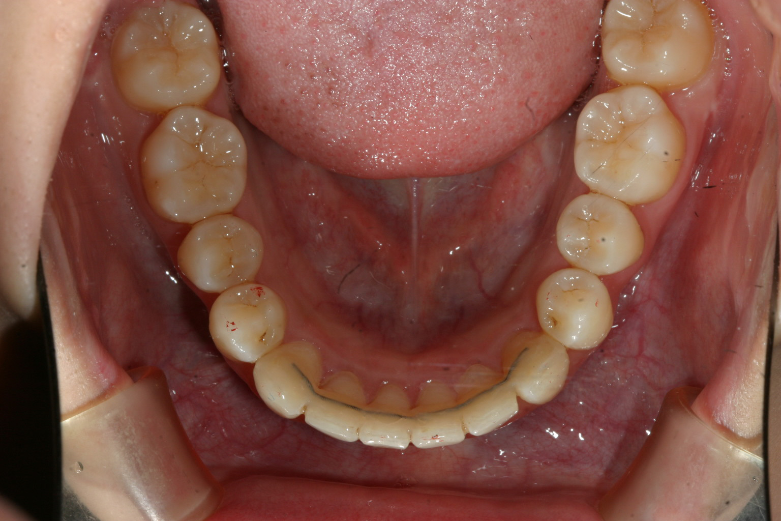
下顎もきれいに並びました。 最終リテーイナーとしてワイヤーで止めています。

術前と比較するとかなり入りましたね!
当院からのコメント
患者様の希望により抜歯する事なく、歯と歯の隙間を少しずつ削る事により全体的に上顎と下顎のバランスを合わせました。綺麗に仕上がりました。
下顎のアーチフォームもかなり悪いですがマウスピース矯正でもここまで綺麗に仕上げることが出来ます。
当医院に来られます患者様の99%はインビザラインを求めて来られます関係上、大抵どの様な症例でもインビザラインを用いて矯正を行ってます。
超難度の症例には部分的にワイヤーを用いて修正を行うことも御座います。
但しこの様な場合でも当医院ではワイヤー使用に於ける追加費用は頂いておりません。
この様な症状でお悩みでしたらいつでも遠慮無く当院にご相談下さい。

