

お悩み
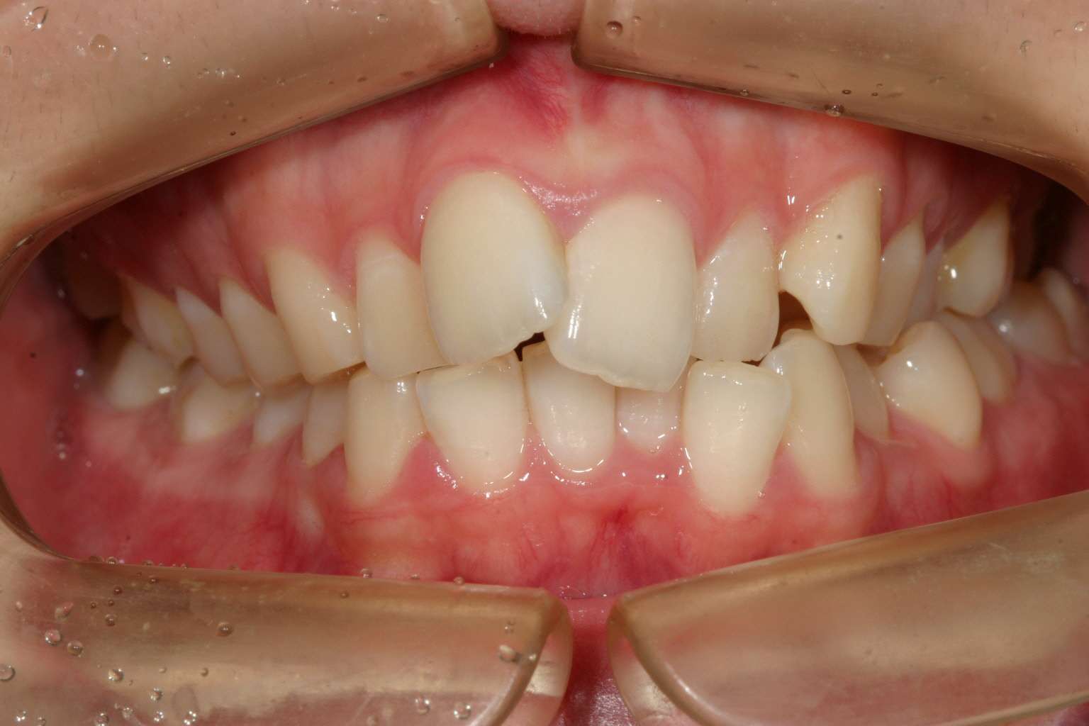
歯が前に飛び出している。
年齢
20歳
性別
女性
治療に用いた装置
インビザライン
治療期間
2年8か月
治療にかかった費用
治療詳細

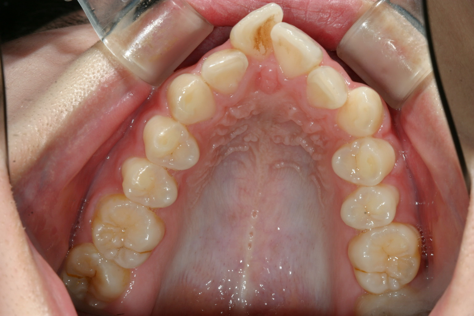
歯列がV字型になってます。

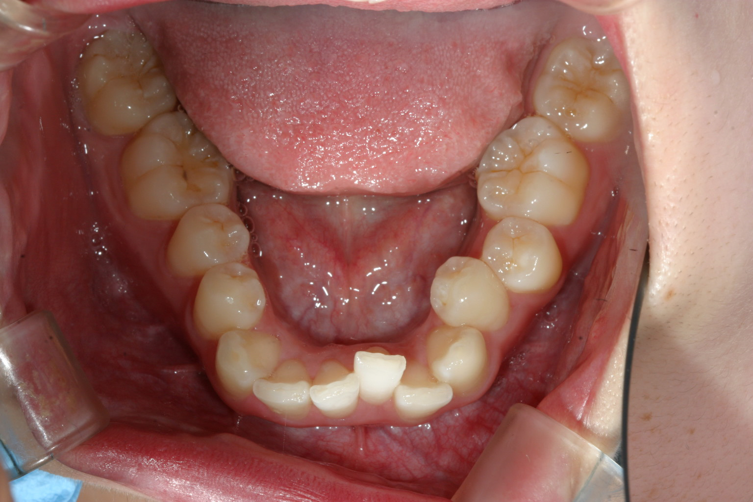
上の歯列がV字型ですから下顎もV字型です。

側面観もかなり飛び出してます。

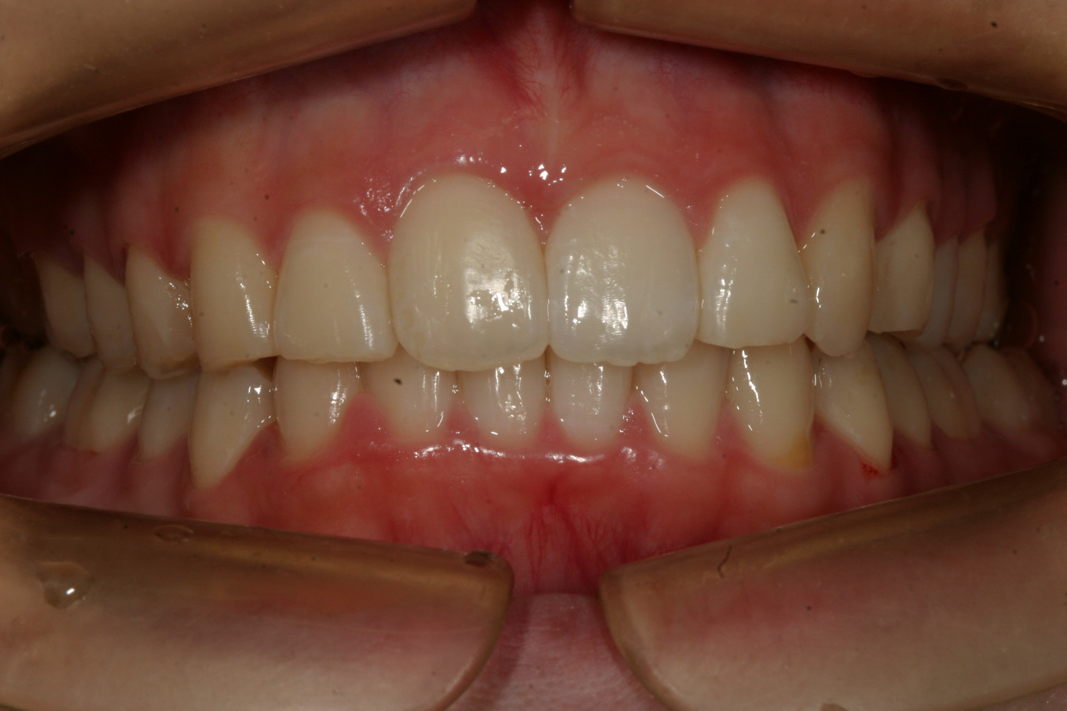
綺麗なアーチにしました。

下顎も綺麗なアーチにしないと噛めませんからね!

飛び出しも無くなりました。
当院からのコメント
この様に上下の歯列がV字になることにより口ボゴが生じてます。犬歯と犬歯の間が狭い為に前歯4本が並ぶことが出来ない為仕方なくV字の歯列になった珍しい症例です。
歯が出てますと口が開いた状態になる為、口腔内が乾燥し唾液による自浄作用が低下して虫歯、歯周病、口臭の原因になり、又何かの拍子に外傷を引き起こす原因となります。
インビザラインのみで改善しました。この症例はインビザラインが日本に導入されて最初の頃の症例でその頃のインビザラインは思うように歯が動いてくれず苦労した症例です。
でもインビザラインでもこのように歯列の形態迄改善できるんだと感激させて頂きました。
この様な症状でお悩みでしたらいつでも遠慮無く当院にご相談下さい。

